门牙活动是口腔中较为常见的现象,尤其在正畸治疗过程中,这种活动往往既是牙齿移动的必经阶段,也可能是潜在问题的信号,理解门牙活动的机制、原因及应对方法,对正畸患者和关注口腔健康的人群都至关重要。
门牙活动的本质是牙齿与牙槽骨之间的连接发生变化,正常情况下,牙齿通过牙周膜与牙槽骨紧密相连,牙周膜中含有丰富的血管、神经和胶原纤维,既起到缓冲咀嚼力的作用,也为牙齿提供一定的生理动度,这种动度通常在0.5-1毫米以内,属于正常范围,不会影响牙齿的功能和稳定性,但当牙齿受到外力、炎症或正畸矫治力时,牙周膜的改建会加速,牙齿动度可能暂时增加,甚至出现肉眼可见的松动。

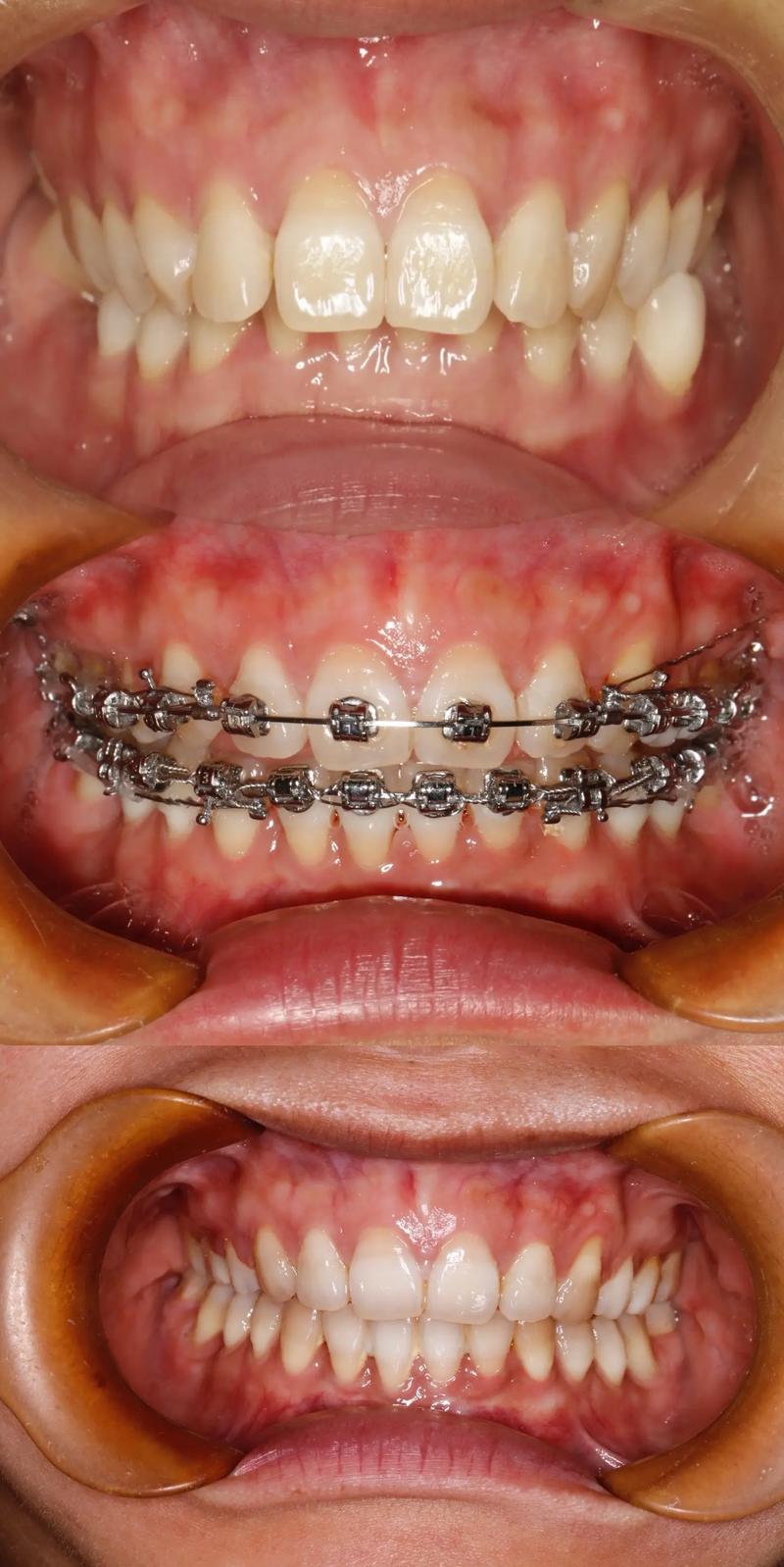
在正畸治疗中,门牙活动是牙齿移动的核心表现,正畸通过施加持续的、轻柔的矫治力,引导牙齿在牙槽骨中缓慢移动,这种力会刺激牙周膜一侧的破骨细胞活跃,吸收牙槽骨;另一侧的成骨细胞则负责形成新的牙槽骨,牙齿正是在这种“拆东墙补西墙”的改建过程中逐渐移动到目标位置,治疗初期或每次调整弓丝后,门牙出现轻微松动、酸胀感甚至轻微疼痛,通常是正常现象,一般1-2周内会逐渐缓解,随着牙齿移动到位,动度会恢复正常,但如果门牙活动过度(如晃动幅度超过2毫米)、伴随明显疼痛、牙龈红肿出血或咬合无力,则可能提示异常情况,需及时就医排查。
导致门牙活动的病理性原因主要包括牙周疾病、外力撞击和牙根吸收等,牙周炎是最常见的诱因,由于牙菌斑积累导致牙龈炎症进展,破坏牙周支持组织,牙槽骨吸收后牙齿失去稳固基础,会出现松动、移位,甚至脱落,此时若盲目进行正畸,可能加重牙周损伤,因此正畸前必须进行全面的牙周检查,确保牙周健康,外力撞击如摔倒、碰撞等,可能导致牙槽骨骨折或牙周韧带撕裂,引起门牙急性松动,需及时就医判断牙髓活力和牙周情况,牙根吸收则多与正畸矫治力过大、个体差异或遗传因素有关,表现为牙根逐渐变短,牙齿松动度增加,严重时可能影响正畸效果和牙齿长期稳定性。
以下是正畸过程中门牙正常活动与异常活动的对比分析:
| 对比项 | 正常活动 | 异常活动 |
|---|---|---|
| 活动程度 | 轻微松动(1-2毫米),无晃动感 | 明显松动(>2毫米),可感知晃动 |
| 伴随症状 | 轻微酸胀感,无疼痛,牙龈无红肿 | 持续疼痛,牙龈红肿出血,咬合时不适 |
| 发生时间 | 初戴矫治器后、每次加力后1-2周内 | 治疗全程持续存在,或突然出现加重 |
| 处理方式 | 无需特殊处理,避免咀嚼硬食,可观察 | 立即联系医生,调整矫治力或进行牙周治疗 |
对于正畸患者,日常护理对控制门牙活动至关重要,首先要保持口腔卫生,使用正畸专用牙刷、牙缝刷和冲牙器,彻底清洁牙齿和矫治器,避免牙菌斑堆积引发牙周炎,饮食上避免咬硬物(如坚果、骨头、硬糖)、啃食(如啃苹果、玉米),防止外力撞击或矫治器损坏导致牙齿异常活动,严格按照医生要求佩戴橡皮筋、保持器等辅助装置,定期复诊调整,确保矫治力在合理范围内,治疗结束后,需坚持佩戴保持器,因为牙齿在新的位置稳定需要时间,牙周膜的改建可能持续数月甚至更久,期间门牙仍可能有轻微动度,属正常现象,但若出现明显松动或移位,需及时复诊。

门牙活动是口腔健康的“晴雨表”,正畸过程中的活动需科学看待:正常活动不必焦虑,异常活动则需警惕,通过规范治疗、细致护理和定期复查,多数门牙活动问题可得到妥善处理,最终实现牙齿排列整齐与功能稳定的双重目标。
相关问答FAQs
Q1:正畸过程中门牙松动多久能恢复正常?
A:正畸初期门牙松动通常在1-2周内逐渐缓解,随着牙齿移动到位,动度会恢复至正常生理范围(0.5-1毫米),若松动持续超过2周或加重,需及时复诊排查矫治力是否过大或是否存在牙周问题。
Q2:门牙活动是否需要立即停止正畸?
A:不一定,轻微活动是正畸的正常表现,无需停止;但若伴随剧烈疼痛、牙龈流脓或牙齿明显晃动(>2毫米),可能是牙周炎、牙根吸收等异常,需立即暂停正畸,就医明确原因后再决定是否继续治疗。
