Spee曲线是正畸学中描述下颌牙弓形态的重要解剖标志,由下颌后牙(通常从第一磨牙至中切牙)的颊尖依次连接形成的凸向下的曲线,由德国解剖学家Ferdinand Spee于1890年首次系统描述,故以其命名,这条曲线的深度(即最凹点至咬合平面的垂直距离)是评估下颌牙弓、咬合关系及面部协调性的核心指标,贯穿正畸诊断与治疗的全程。
Spee曲线的正常形态与生理意义
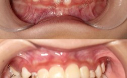
正常Spee曲线深度为1.5-2.5mm,个体差异较大,但通常不超过3mm,其生理功能主要体现在三方面:一是协调下颌运动,当下颌进行前伸、侧方咬合时,Spee曲线可引导牙齿平滑接触,避免早接触导致的咬合干扰;二是维持咬合稳定,适当的曲度使后牙牙尖与对颌牙窝形成稳定的尖窝锁结关系,分散咀嚼力;三是辅助咀嚼功能,曲度适中时,咀嚼力可沿牙弓均匀分布,提高咀嚼效率,临床中,Spee曲线常被视为“下颌牙弓的基准线”,其形态直接影响正畸方案的制定。

异常Spee曲线的类型与临床影响
异常Spee曲线主要表现为过深或过浅/反向,两者均可能引发咬合、功能及美观问题。
过深Spee曲线(深度>3mm)
临床表现:前牙深覆合(上切牙覆盖下切牙牙冠长度1/3以上)、下颌前伸、后牙区咬合干扰,部分患者伴颞下颌关节(TMJ)弹响或疼痛。
常见病因:遗传因素(如牙槽骨垂直发育过度)、不良习惯(如长期吮指、咬唇)、后牙早失(导致邻牙倾斜,牙弓长度不足,曲线代偿性加深)。
危害:深覆合可能造成前牙创伤、牙龈退缩,严重时限制下颌后退,影响面下1/3高度;过深曲线使下颌闭合时需过度前伸,增加TMJ负荷,长期可能引发TMD。
过浅/反向Spee曲线(深度≤0.5mm或呈凸向上)
临床表现:前牙开合(上下切牙无垂直接触)、后牙咬合不稳定、咀嚼效率低,伴随面部增长趋势。
常见病因:后牙伸长(如未及时修复的缺失牙、正畸中支抗失控导致后牙压低不足)、前牙牙槽骨过短(如先天缺失牙、牙周病致前牙牙槽骨吸收)、不良习惯(如吐舌、口呼吸)。
危害:开合导致前牙区无法切割食物,后牙区咬合接触面积减少,咀嚼力分散;长期开合可能影响发音及面部美观,严重时伴随面部垂直向过度发育。
Spee曲线的临床矫治原则与方法
矫治异常Spee曲线的核心是“恢复生理性深度,协调咬合关系”,具体需根据曲线类型、病因及患者年龄制定方案。

过深Spee曲线的矫治:整平曲线
目标:将曲线深度降至1.5-2.5mm,解除深覆合,建立稳定咬合。
常用方法:
- 摇椅形弓丝(Ribbon Arch):在不锈钢方丝弯制与Spee曲线相反的弧度(凸向上),通过弓丝的弹性作用,将后牙牙尖压低、前牙伸长,从而整平曲线,适用于青少年及成人轻中度过深病例,力量需温和(100-150g),避免牙根吸收。
- 平面导板(Plane Guide):制作与上颌牙弓贴合的树脂导板,厚度以解除前牙咬合为准(通常2-3mm),患者佩戴后前牙脱离接触,引导后牙伸长、前牙压低,间接改善Spee曲线,适用于伴有深覆合的II类错合病例,需配合前牙区垂直向控制。
- 垂直曲簧:在需要压低的后牙(如第一磨牙)上焊接垂直曲簧,通过施加持续轻力,精确控制后牙垂直向移动,适用于成人病例或需精细调整的情况,需定期复诊加力。
过浅/反向Spee曲线的矫治:重建曲线
目标:形成生理性凹陷,增加后牙咬合接触,改善开合。
常用方法:
- 片段弓技术:将牙弓分为前牙区和后牙区,使用片段弓伸长后牙(如第二前磨牙、第一磨牙)或压低前牙,通过“差动移动”增加Spee曲线深度,适用于后牙伸长不足导致的过浅曲线,需注意支抗保护(如种植支抗)。
- 种植支抗辅助矫治:在下颌后牙区植入微种植体,作为绝对支抗,通过牵引装置压低前牙或伸长后牙,精准调整曲线形态,适用于成人严重开合或传统支抗不足的病例,矫治效率高,可控性强。
- 咬合板治疗:对于伴有TMJ症状的过浅曲线患者,可佩戴咬合板(如 stabilization bite plate),调整咬合关系,待症状缓解后再进行曲线重建。
Spee曲线在正畸治疗中的综合应用
Spee曲线的调整并非孤立步骤,需与整体治疗目标协同,在拔牙病例中,若存在过深Spee曲线,可通过整平曲线利用拔牙间隙,避免额外拔牙;非拔牙病例中,维持正常Spee曲线有助于治疗后稳定性,数字化正畸时代,通过CBCT扫描获取牙弓数据,利用3D打印技术设计个性化弓丝,可更精准控制Spee曲线形态,提升矫治效率,Spee曲线的调整需兼顾面部软组织协调,避免因曲线改变导致唇部张力异常,影响面型美观。
正常与异常Spee曲线对比表
| 参数 | 正常Spee曲线 | 过深Spee曲线 | 过浅/反向Spee曲线 |
|---|---|---|---|
| 深度范围 | 5-2.5mm | >3mm | ≤0.5mm或凸向上 |
| 临床表现 | 咬合稳定、咀嚼效率正常 | 前牙深覆合、下颌前伸、TMJ不适 | 前牙开合、咬合不稳定、咀嚼无力 |
| 常见病因 | 生理性变异 | 遗传、不良习惯、后牙早失 | 后牙伸长不足、前牙牙槽骨过短 |
| 矫治目标 | 维持现有曲度 | 整平曲线至1.5-2.5mm | 重建生理性凹陷 |
| 常用矫治器 | 保持弓丝 | 摇椅弓、平面导板、垂直曲簧 | 片段弓、种植支抗、咬合板 |
相关问答FAQs
问题1:Spee曲线过深一定会导致颞下颌关节紊乱(TMD)吗?
解答:不一定,Spee曲线过深是TMD的潜在风险因素之一,但是否发病还与个体适应性、咬合习惯、肌肉协调性等多因素相关,部分患者可通过下颌代偿性运动适应深曲线,不出现TMD症状;但若存在长期咬合干扰、肌肉紧张(如夜磨牙),则可能诱发TMD,需及时矫治,临床中,对于过深Spee曲线患者,建议结合TMJ检查及肌电图评估,制定综合治疗方案。

问题2:成人矫治调整Spee曲线时,与青少年有何不同?
解答:成人矫治调整Spee曲线需更多考虑牙周状况、骨密度及牙根吸收风险,青少年牙周组织改建能力强,可使用较大力量(如摇椅弓)快速整平曲线;成人则需采用轻力(50-100g)、长时间矫治,避免过度压低后牙导致牙槽骨吸收,必要时结合牙周治疗(如龈下刮治、根面平整),成人常伴牙列缺损或修复体,需在调整曲线时兼顾修复设计,优先保证牙周健康及咬合功能,而非单纯追求曲线形态。
