虎牙(上颌尖牙)位于口腔口角处,是牙列中体积最大、牙根最长的牙齿,不仅承担着重要的咀嚼功能,还在维持面部丰满度、支撑口角形态中发挥关键作用,当虎牙因先天缺失、外伤脱落或因正畸需要拔除时,会导致邻牙向缺牙区倾斜、对颌牙伸长,甚至引发咬合紊乱、面部凹陷等问题,正畸治疗是解决虎牙缺失后继发问题的有效手段,通过系统性的牙齿移动,不仅能关闭缺牙间隙、恢复牙列完整性,还能重建咬合功能与面部美观,以下从虎牙缺失的影响、正畸前评估、治疗过程、正畸后效果及长期维护等方面展开详细说明。
虎牙缺失的潜在影响与正畸的必要性
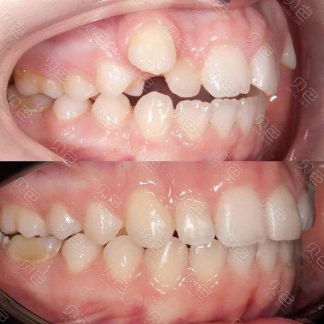
虎牙缺失后,口腔环境会发生一系列连锁反应,邻牙(侧切牙和第一前磨牙)会因失去约束向缺牙区倾斜,导致牙列拥挤度增加、咬合关系紊乱;对颌牙(下颌尖牙或第一前磨牙)会伸长,形成“超颌”,进一步干扰咬合;长期还可能引发颞下颌关节紊乱、牙周组织损伤等问题,从美观角度看,虎牙缺失会导致口角塌陷、面部丰满度下降,尤其对微笑曲线影响显著,正畸治疗通过生物力学原理移动牙齿,能在保留天然牙的前提下,解决上述问题,避免传统修复方式(如种植牙、烤瓷牙)对邻牙的损伤,同时恢复口腔功能与面部美观。

正畸前的全面评估与方案设计
虎牙缺失的正畸治疗需基于精准的评估,以确保方案合理、效果稳定。
口腔检查与影像学分析
- 临床检查:包括牙齿排列、龋坏情况、牙周健康(探诊深度、附着丧失)、咬合关系(覆颌、覆盖、中线偏斜)等,重点观察邻牙倾斜程度、对颌牙伸长情况及缺牙间隙大小。
- 影像学检查:拍摄全口曲面断层片、头颅侧位片(分析骨骼与牙齿关系)、CBCT(三维评估牙根位置、骨量及邻牙牙根吸收情况),CBCT可清晰显示侧切牙是否与缺牙区邻牙发生牙根融合,或是否存在骨量不足,为支抗设计提供依据。
- 模型分析:制取石膏模型,测量缺牙间隙实际宽度、牙齿拥挤度,预测牙齿移动方向与所需间隙。
方案制定的核心考量
正畸方案需根据患者年龄、缺牙原因、间隙大小等因素个性化设计:
- 间隙管理:若缺牙间隙小于正常尖牙宽度(约8-10mm),需通过邻牙远中移动或磨牙前移关闭间隙;若间隙过大,可能需结合修复治疗(如正畸后种植牙)。
- 支抗设计:为避免支抗丧失导致磨牙前移,常采用强支抗(如种植支抗、微种植钉),尤其对于成年患者或需要大量内收前牙的情况。
- 多学科协作:对于伴有严重骨缺损或牙周病的患者,需联合牙周科进行牙周治疗,或联合修复科评估是否需后期修复体辅助。
正畸过程中的关键技术与阶段管理
虎牙缺失的正畸治疗通常分为三个阶段,每个阶段需严格控制生物力学力值,确保牙齿安全移动。
排齐整平阶段(1-3个月)
此阶段主要解决牙齿拥挤、扭转等问题,为后续关闭间隙创造条件,常用矫治器包括传统金属托槽、陶瓷托槽或隐形矫治器,通过轻力移动牙齿(如0.8-1.0mm镍钛弓丝),避免牙根吸收或牙周损伤,对于邻牙严重倾斜者,可能需使用“推簧”开拓间隙,或通过“片段弓”技术单独移动倾斜牙。

关闭间隙阶段(6-12个月)
这是治疗的核心阶段,需将缺牙间隙完全关闭,同时重建咬合关系,常用方法包括:
- 滑动法:使用不锈钢方丝与滑动结扎技术,通过弓丝弹性将前牙整体向远中移动,适用于间隙充足、支抗控制良好的情况。
- 关闭曲法:在弓丝上制作“T型曲”或“欧米曲”,通过打开曲产生的力量移动牙齿,可精确控制牙齿移动速度,减少支抗丧失。
- 支抗增强:对于成年患者或需要大量间隙关闭者,常植入微种植钉(直径1.5-2.0mm),提供绝对支抗,避免磨牙前移,在上颌颧牙槽嵴或下颌外斜线植入种植钉,通过牵引钩与前牙连接,实现前牙高效内收。
精细调整阶段(3-6个月)
间隙关闭后,需进行咬合精细调整,确保牙齿接触关系、尖窝关系稳定,通过更换细弓丝(如0.017英寸镍钛丝)或进行“颌间牵引”(如III类牵引、垂直牵引),纠正中线偏斜、调整覆颌覆盖,同时磨改高点,避免咬合创伤。
不同矫治器的选择对比
| 矫治器类型 | 美观度 | 舒适度 | 价格(元) | 清洁难度 | 适用情况 |
|------------------|--------|--------|------------|----------|------------------------------|
| 传统金属托槽 | 低 | 一般 | 8000-15000 | 较高 | 复杂错颌、需强支抗者 |
| 陶瓷托槽 | 中 | 较好 | 12000-20000 | 较高 | 对美观有要求、中度错颌 |
| 隐形矫治器 | 高 | 高 | 25000-45000 | 低 | 轻中度错颌、依从性好者 |
正畸后的效果体现与长期维护
效果评估维度
- 功能恢复:咀嚼效率提升(可通过咀嚼效能测试评估),咬合稳定无早接触,颞下颌关节无弹响或疼痛。
- 美观改善:牙齿排列整齐,微笑曲线自然,面部丰满度恢复,口角无塌陷。
- 牙周健康:牙龈无红肿、出血,牙周袋深度≤3mm,牙槽骨高度稳定(通过复查X片确认)。
长期维护措施
正畸治疗结束后,牙齿仍处于改建期,需严格维护以防止复发:
- 保持器佩戴:首选透明压膜保持器(全天佩戴3个月,之后夜间长期佩戴)或 Hawley 保持器,尤其对于成年患者或存在牙周支持不足者,需终身佩戴保持器。
- 口腔卫生维护:使用巴氏刷牙法,配合牙线、冲牙器清洁邻面,定期进行牙周洁治(每3-6个月一次)。
- 定期复查:正畸结束后第1年每3个月复查1次,之后每6个月复查1次,监测牙齿稳定性与牙周健康状况。
相关问答FAQs
问题1:虎牙缺失正畸后为什么会出现牙齿复发?如何预防?
解答:复发主要与以下因素有关:① 保持器佩戴不足(尤其是夜间佩戴时间不够或过早停戴);② 牙周组织改建未完成(正畸后牙槽骨改建需1-2年,过早停止保持会导致牙齿反弹);③ 不良习惯(如咬唇、吐舌、夜间磨牙);④ 邻牙未完全稳定(如缺牙间隙关闭后未进行精细调整),预防措施:严格按医嘱佩戴保持器(至少前2年夜间长期佩戴),保持口腔卫生,纠正不良习惯,定期复查(每3-6个月),一旦发现牙齿移位及时调整。
问题2:成年人与青少年虎牙缺失正畸的主要区别是什么?
解答:① 骨改建能力:青少年处于生长发育期,骨代谢活跃,牙齿移动速度快,治疗时间短(通常1-2年);成年人生长发育停止,骨密度高,牙齿移动速度慢,治疗时间延长(1.5-3年),且可能需更强支抗(如微种植钉)。② 牙周条件:成年患者常伴有牙周炎、牙槽骨吸收等问题,需先进行牙周治疗,待炎症控制后再开始正畸;青少年牙周健康,可直接进入正畸阶段。③ 治疗目标:青少年更注重功能与面部发育引导,成年患者可能更侧重美观与咬合稳定,部分需结合修复治疗(如正畸后种植牙)。
