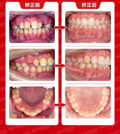
龅牙在医学上常表现为上颌前突或双颌前突,不仅影响面部美观,还可能造成咬合功能障碍、发音问题等心理和生理困扰,杭州作为新一线城市,医疗资源丰富,尤其在口腔正畸领域,快速正畸技术已相当成熟,为众多龅牙患者提供了高效、美观的解决方案,本文将围绕杭州龅牙快速正畸的技术选择、机构优势、流程细节及注意事项展开,帮助患者全面了解这一矫正方式。
龅牙快速正畸的核心在于“精准”与“高效”,需通过数字化技术缩短矫正周期,同时确保牙齿移动的稳定性和美观度,传统正畸通常需要1.5-2年,而快速正畸借助先进技术可将周期缩短至6-12个月,尤其适合对时间有较高需求的成年患者,但需注意,“快速”并非盲目求快,而是基于患者口腔条件的个性化方案设计,并非所有龅牙都适合快速矫正,需经专业医生评估。

杭州龅牙快速正畸的主流技术
杭州口腔机构在快速正畸领域已形成多种技术体系,患者可根据龅牙类型(牙性/骨性)、美观需求、预算等选择合适方案。
隐形矫正:兼顾美观与效率
隐形矫正是目前快速正畸的热门选择,通过3D打印技术定制透明牙套,每副牙套可独立完成特定牙齿的移动,避免传统托槽的频繁调整,杭州地区主流品牌如隐适美(Invisalign)、时代天使(Angelalign)等,其“精雕”“儿童版”等系列针对龅牙优化了附件设计和移动路径,可缩短10%-20%的矫正时间,对于轻中度牙性龅牙,隐适美平均周期约8-10个月,复诊间隔可延长至6-8周,减少患者到院次数。
自锁托槽矫正:提速“利器”
自锁托槽托槽通过内置闭锁装置替代传统结扎丝,减少弓丝与托槽的摩擦力,牙齿移动效率提升30%以上,杭州口腔医院常用的自锁托槽包括金属自锁(如Damon Q)、陶瓷自锁(如Clarity SL),后者因托槽透明、更美观,受成年患者青睐,自锁托槽矫正周期可缩短至10-14个月,复诊间隔8-10周,尤其适合需要快速排齐和内收前牙的龅牙案例。
微种植体支抗辅助矫正:精准控制牙齿移动
针对龅牙前牙内收困难、需要强支抗的情况,微种植体支抗(支抗钉)技术可提供“绝对支抗”,避免后牙前移,显著内收上前牙,杭州多家机构已熟练掌握该技术,通过植入直径1.5-2mm的钛种植钉,精准控制牙齿移动方向和速度,使前牙内收效率提升40%以上,整体矫正周期缩短6-8个月,该技术常与自锁托槽或隐形矫正联合应用,是重度龅牙快速矫正的关键。

数字化舌侧矫正:隐形与高效的极致结合
舌侧矫正将托槽粘贴在牙齿舌侧,完全隐形,且通过数字化设计(如eBrace、WIN)实现个性化弓丝和托槽定位,牙齿移动路径更精准,效率高于传统舌侧矫正,杭州部分高端口腔机构已开展数字化舌侧矫正,其矫正周期可缩短至12-18个月,但价格较高(通常15-25万元),适合对美观和效率有极致追求的患者。
杭州龅牙快速正畸的技术对比
为更直观展示不同技术的特点,以下通过表格对比主流快速正畸方案的关键信息:
| 技术类型 | 周期(月) | 复诊间隔 | 价格范围(万元) | 优势 | 劣势 | 适合人群 |
|---|---|---|---|---|---|---|
| 隐形矫正 | 8-12 | 6-8周 | 3-8 | 隐形美观、舒适、可自行摘戴 | 价格较高、需严格佩戴(每天22小时以上) | 轻中度牙性龅牙、对美观要求高的成年人 |
| 自锁托槽矫正 | 10-14 | 8-10周 | 2-5 | 矫正速度快、复诊次数少、口腔卫生易维护 | 金属托槽可见、初期可能磨嘴 | 各类型龅牙,尤其适合需要快速排齐的患者 |
| 微种植体支抗辅助 | 6-10(联合使用) | 4-6周 | 1-3(支抗钉单独费用) | 强支抗、精准内收前牙、缩短周期 | 需植入支抗钉、有轻微创伤风险 | 重度龅牙、前牙内收困难、需要强支抗者 |
| 数字化舌侧矫正 | 12-18 | 4-6周 | 15-25 | 完全隐形、精准高效、个性化设计 | 价格极高、技术难度大、初期发音影响明显 | 对美观和效率有极致追求、预算充足的成年人 |
杭州龅牙快速正畸的流程与机构选择
标准矫正流程
杭州正规口腔机构的快速正畸流程通常包括以下环节,全程数字化操作确保精准高效:
- 初诊检查:口内检查、拍摄全景片、头颅侧位片、CBCT(必要时),分析龅牙类型(牙性/骨性)、咬合关系、面部比例。
- 方案设计:通过数字化软件(如Dexis、3Shape)模拟牙齿移动过程,预测矫正效果和周期,与患者沟通确定方案。
- 取模/口扫:采用口内扫描仪替代传统取模,5分钟获取精准牙齿数据,用于制作牙套或托槽。
- 矫治器制作:根据方案定制隐形牙套或自锁托槽,数字化加工周期约1-2周。
- 佩戴与调整:医生首次指导佩戴矫治器,讲解注意事项;后续复诊调整支抗钉、更换弓丝或牙套,监控牙齿移动进度。
- 保持期:矫正结束后佩戴保持器(透明保持器或哈雷保持器),前6个月需全天佩戴,之后夜间佩戴,防止复发。
杭州机构选择要点
杭州拥有浙江大学医学院附属口腔医院、浙江省口腔医院等公立三甲医院,以及杭州雅莱、牙博士、瑞尔等连锁口腔机构,选择时需关注:

- 医生资质:优先选择中华口腔医学会正畸专委会委员(COS)、隐适美/时代天使认证医生,案例经验丰富(尤其龅牙矫正案例)。
- 设备技术:是否配备CBCT、口内扫描仪、数字化方案设计软件,确保精准诊断和高效矫正。
- 服务体验:复诊预约便利性、术后跟踪服务、价格透明度(避免隐形消费)。
- 口碑评价:可通过大众点评、卫健委官网查询机构资质,参考患者真实案例反馈。
龅牙快速正畸的注意事项
- 适应症限制:快速正畸主要适用于牙性龅牙或轻度骨性龅牙,重度骨性龅牙可能需联合正颌手术,单纯正畸无法快速改善。
- 口腔健康要求:矫正前需治疗牙周炎、龋齿等口腔问题,确保牙齿和牙周组织健康,避免矫正中出现问题影响进度。
- 佩戴依从性:隐形矫正需严格佩戴牙套(每天22小时以上),自锁托槽需避免咬硬物,否则会延长矫正时间。
- 饮食与护理:矫正期间避免过硬、黏性食物,使用正畸牙刷、牙缝刷清洁牙齿,防止龋齿和牙龈炎。
- 保持器重要性:快速正畸牙齿移动速度较快,保持期更需重视,否则复发风险较高,需终身佩戴保持器。
相关问答FAQs
Q1:杭州龅牙快速正畸一般需要多少钱?
A:杭州龅牙快速正畸价格因技术选择、医生资质、龅牙程度差异较大,隐形矫正(如隐适美、时代天使)价格约3-8万元,自锁托槽矫正约2-5万元,微种植体支抗辅助单独费用约1-3万元,数字化舌侧矫正约15-25万元,建议选择正规机构,面诊后根据个性化方案确定具体费用,警惕低价陷阱(如低于市场均价30%的可能存在技术或材料风险)。
Q2:快速正畸会比传统正畸效果差吗?
A:并非如此,快速正畸并非单纯“求快”,而是通过数字化技术优化牙齿移动路径,提高效率,最终效果与传统正畸相当,甚至更精准,但前提是选择正规机构和专业医生,严格把控适应症和矫正细节,若盲目追求速度而忽视牙齿生理移动规律,可能导致牙根吸收、牙龈萎缩等问题,影响长期稳定性。“快速”需建立在“安全”和“有效”的基础上。
