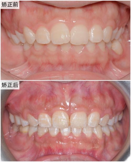
牙齿矫正本是通过移动牙齿位置、调整咬合关系来改善口腔功能和面部美观的常规治疗,但部分患者矫正后或矫正过程中出现“龅牙”表现,甚至较矫正前更明显,这种情况可能与多种因素相关,要理解这一问题,需先明确“龅牙”的医学定义——通常指上颌前突(上颌骨或牙齿向前突出),可能涉及牙性、骨性或混合因素,而牙齿矫正过程中若处理不当,确实可能加重或诱发这一表现。
牙齿矫正中“龅牙”问题的成因分析
牙齿矫正后出现龅牙,并非单一原因导致,而是诊断、方案设计、治疗执行及患者自身因素共同作用的结果。

诊断不全面:忽略骨骼与软组织因素
龅牙的成因可分为牙性(牙齿排列异常,如牙齿前倾)和骨性(上颌骨发育过度,或下颌骨发育不足),部分矫正前仅通过肉眼观察或普通口腔检查,未拍摄头颅侧位片、曲面断层片等影像,也未进行头影测量分析,误将骨性龅牙判断为牙性,上颌骨发育过度的患者,若仅通过移动牙齿内收,而非配合正颌手术矫正骨骼,可能导致牙齿代偿性前倾,矫正后龅牙表现更明显。
方案设计错误:拔牙选择不当或目标设定偏差
拔牙是矫正中常见的“去代偿”手段,通过拔除部分牙齿为前突牙齿提供内收空间,但若本应拔牙的病例(如牙列严重拥挤、前突量较大)未拔牙,或拔牙位置选择错误(如应拔前磨牙却拔了切牙),可能导致前牙无法充分内收,矫正后仍显龅牙,相反,部分无需拔牙的病例(如轻度牙性前突、骨骼正常)若过度拔牙,可能因支抗不足导致前牙反弹,出现继发性龅牙。
矫治器选择与操作不当:力控制失衡
不同矫治器(如传统金属托槽、陶瓷托槽、隐形矫正)对牙齿移动的控制力不同,若医生经验不足,使用过大的矫治力移动前牙,可能导致牙根吸收、牙齿倾斜移动而非整体平移,矫正后牙齿位置不稳定,易复发龅牙,隐形矫正中,若附件设计不合理或患者未按时佩戴牙套,也可能导致牙齿移动偏离预期,出现前突表现。
治疗中监控不足:未及时调整方案
矫正周期通常为1-3年,期间颌骨可能继续生长(尤其青少年患者),或牙齿移动速度与预期不符,若未定期拍摄X光片观察牙齿位置、骨骼变化,未及时调整矫治力或方案(如增加支抗钉、更换弓丝),可能导致矫正后期前突改善不足,或因肌肉平衡未建立(如上唇肌肉力量过弱)导致牙齿反弹。

患者自身因素:配合不良与口腔习惯
矫正效果与患者配合度密切相关,部分患者未按要求佩戴橡皮筋、头帽等辅助装置,或频繁用舌顶前牙、咬唇等不良习惯,导致牙齿持续受到向前的作用力,矫正后出现龅牙复发,牙周健康不佳(如牙槽骨吸收)也可能导致牙齿移动后稳定性下降,出现前突。
如何预防牙齿矫正后出现龅牙?
针对上述成因,预防矫正后龅牙需从诊断、方案设计、治疗执行及患者配合多环节入手。
全面诊断:明确龅牙类型与病因
矫正前必须进行详细检查,包括:临床检查(牙齿排列、咬合关系、面部对称性)、影像学检查(头颅侧位片、曲面断层片)、模型分析及口腔功能评估(肌肉、关节),通过头影测量分析判断是牙性还是骨性龅牙,测量上颌突度、下颌位置、牙齿倾斜度等关键数据,为方案设计提供依据。
个性化方案设计:精准制定矫正目标
根据诊断结果制定方案:牙性龅牙可通过拔牙(如拔除4颗第一前磨牙)、扩弓、推磨牙向远中等方式为前牙内收提供空间;骨性龅牙需联合正畸-正颌治疗,先通过矫正去代偿,再通过手术调整骨骼位置,方案中需明确支抗设计(如种植支抗钉增强支抗)、牙齿移动顺序(先排齐再内收)、预期效果(内收量、面部改善度),并预留复发缓冲空间(如过矫正1-2mm)。

规范治疗操作:严格控制牙齿移动
选择合适的矫治器(如自锁托槽减少摩擦力,隐形矫正精准控制移动轨迹),医生需掌握生物力学原理,使用轻力矫治(如镍钛圆丝排齐,方丝内收),避免牙齿倾斜移动,治疗中定期复诊(4-6周/次),通过口内检查、X光片监控牙齿位置、牙根吸收情况,及时调整方案(如增加支抗、更换弓丝)。
加强患者教育与配合管理
矫正前向患者详细说明治疗流程、配合要点(如佩戴橡皮牙套时间、避免不良习惯),提供书面指导;治疗中提醒患者保持口腔卫生(避免牙周炎影响稳定性),定期检查橡皮筋佩戴情况;矫正结束后强调保持器佩戴的重要性(全天佩戴6个月,之后夜间长期佩戴),防止复发。
矫正后出现龅牙的修复方法
若矫正后已出现龅牙,需根据原因选择修复方案:
- 轻度复发或牙性前突:可通过二次矫正,配合拔牙、支抗钉增强内收,或使用隐形矫正精细调整牙齿位置。
- 骨性因素明显:需联合正颌手术(如上颌骨Lefort I型截骨术后退下颌),矫正后效果稳定。
- 牙齿美观问题:若仅为前牙形态或位置轻微异常,可通过贴面、冠修复改善外观,无需再次矫正。
相关问答FAQs
Q1:矫正后出现龅牙一定是医生的问题吗?
A:不一定,龅牙矫正效果受多因素影响,若诊断全面、方案合理、操作规范,但仍出现复发,可能与患者自身因素(如骨骼继续生长、不良习惯未纠正、保持器佩戴不当)有关,建议及时复查,通过X光片明确复发原因,再针对性处理。
Q2:成年后矫正龅牙复发,还能改善吗?
A:可以,成年后骨骼已停止发育,复发多因牙齿位置不稳定或肌肉平衡未建立,可通过二次矫正(配合支抗钉内收)、正颌手术(针对骨性复发)或修复治疗(贴面、冠)改善,但需注意,成年后矫正周期较长,复发风险相对较高,需严格佩戴保持器。
