正畸治疗中,“打开咬合”是针对异常咬合关系(如深覆合、深覆盖、反颌等)的核心矫治目标之一,通过牙齿、颌骨及肌肉的调整,建立上下牙列稳定的尖窝交错关系,这一过程不仅涉及牙齿的移动,还需兼顾面部美观与咀嚼功能,而相关图片则直观展现了治疗前后的变化及矫治机制,帮助患者理解治疗进程。
咬合异常的定义与危害
正常咬合状态下,上前牙切缘覆盖下前牙唇面约1/3,上下后牙尖窝紧密相对,咀嚼时力量均匀分布,而异常咬合(如深覆合、深覆盖、反颌)会导致牙齿排列紊乱、牙槽骨吸收、咀嚼效率降低,甚至引发颞下颌关节紊乱(TMD)及面部形态异常(如深覆合伴下颌后缩显得“没下巴”,反颌伴“地包天”影响侧貌),打开咬合即通过矫治力,压低上前牙、伸长后牙,或前移下颌,使上下牙列恢复正常的覆合覆盖关系。

打开咬合的矫治方法与图片解析
打开咬合需根据患者年龄、错合类型(骨性或牙性)及严重程度选择方案,不同方法的图片可清晰展示牙齿移动轨迹及组织变化。
固定矫治技术(传统托槽矫治)
原理:通过方丝弓或直丝弓托槽与弓丝的配合,施加持续、可控的力,压低上前牙、伸长后牙或调整颌骨位置。
图片特征:
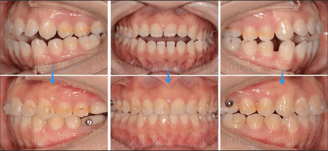
- 治疗前:X光片显示上前牙牙根位置过低,牙槽骨垂直高度不足;口内照可见上前牙明显盖过下前牙(深覆合),下颌后缩,后牙无接触。
- 治疗中:弓丝弯制“摇椅形”(后牙段下沉、前牙段抬升),结合颌间牵引(橡皮筋连接上下牙),口内照可见上前牙逐渐压低,下前牙轻微唇倾,后牙逐渐伸长并建立接触;侧貌X光片显示下颌骨顺时针旋转,面部侧貌改善。
- 治疗后:口内照上下前牙覆合正常(覆盖1/3),后牙尖窝对位良好;曲面断层片显示牙槽骨改建完成,牙根平行。
功能性矫治器(青少年骨性错合)
原理:利用肌肉力量及颌骨生长潜力,引导颌骨位置调整,适用于生长发育期患者(如替牙期或恒牙早期)。
图片特征:
- 常用矫治器:肌激动器(Activator)、上颌前方牵引器。
- 治疗前后对比:治疗前侧貌照显示上颌发育不足、下颌后缩;戴用功能性矫治器3-6个月后,X光片显示上颌骨向前生长,下颌骨顺时针旋转,口内照上前牙压低、下颌前移,深覆盖改善。
隐形矫治(无托槽矫治)
原理:通过3D模拟设计一系列透明牙套,精准控制牙齿移动,附件辅助压低上前牙、伸长后牙。
图片特征:

- 治疗计划可视化:3D动画展示每副牙套作用下,上前牙逐渐压低、后牙伸长的过程,患者可直观看到“咬合打开”的模拟效果。
- 实际效果:治疗中口内照可见牙套在前牙区域附着“压低附件”,上前牙缓慢移动;治疗后对比照显示覆合覆盖正常,牙列整齐。
微种植支抗(增强支抗控制)
原理:在牙槽骨植入微型种植钉(支抗钉),提供稳定的“绝对支抗”,避免其他牙齿干扰,精准压低上前牙。
图片特征:
- 植入与加力:X光片显示支抗钉植入上颌后牙区牙槽骨,弓丝通过橡皮筋连接支抗钉与前牙,施加压低力;口内照可见上前牙在支抗钉作用下明显压低,下颌平面角调整。
不同咬合问题的图片特征对比
| 错合类型 | 治疗前图片特征 | 治疗中图片特征 | 治疗后图片特征 |
|---|---|---|---|
| 深覆合 | 上前牙盖下前牙超过2/3,下颌后缩,后牙无接触 | 上前牙压低,下颌前移,后牙逐渐伸长建立咬合 | 上下前牙覆合1/3,面部侧貌协调,后牙尖窝对位 |
| 反颌(地包天) | 下前牙位于上前牙唇侧,上颌发育不足,凹面型 | 上颌前移,下颌后退,后牙分离解除,反覆合打开 | 上下前牙对刃或正常覆合,面部中份突出改善 |
| 开颌 | 上下前牙无法咬合,后牙可能接触,面部显长 | 后牙压低,前牙伸长,咬合平面调整 | 前牙正常咬合,后牙分离解除,面部比例协调 |
打开咬合的注意事项
- 保持器佩戴:治疗后需佩戴保持器(至少2年夜间),防止复发,尤其是骨性因素未完全纠正者。
- 口腔卫生:矫治期间托槽、弓丝易存食物残渣,需使用正畸牙刷、牙线、冲牙器,预防龋坏和牙周炎。
- 饮食调整:避免过硬、黏性食物(如坚果、口香糖),防止托槽脱落或弓丝变形,影响矫治效率。
- 定期复诊:每4-6周复诊调整,医生检查牙齿移动进度及咬合关系,必要时调整方案。
相关问答FAQs
Q1:打开咬合过程中会有疼痛吗?如何缓解?
A:初期(加力后3-5天)可能出现牙齿酸胀、咀嚼无力,属正常现象(牙齿移动引发牙周组织改建),可通过温盐水漱口、吃软食(如粥、面条)、遵医嘱服用非甾体抗炎药(如布洛芬)缓解,疼痛会随时间逐渐减轻,若持续加剧或出现刺痛,需及时复诊检查。
Q2:打开咬合后容易复发吗?如何预防?
A:有一定复发风险,尤其骨性错合(如下颌后缩)未完全纠正、保持不当或不良习惯(如咬唇、吐舌)未纠正者,预防措施:①严格佩戴保持器(夜间至少2年,长期更佳);②避免咬硬物(如咬笔、开酒瓶);③定期复查(每6个月1次),医生监测牙齿位置;④纠正口腔不良习惯,必要时配合肌功能训练(如唇肌训练)。
