虎牙作为口腔中较为突出的牙齿,常因拥挤、前突等问题影响美观与咬合功能,而隐形牙齿矫正凭借其美观、舒适、便捷的优势,成为虎牙矫正的热门选择,许多人在矫正前会通过“虎牙隐形牙齿矫正图片”直观了解效果,这类图片不仅展示了矫正前后的对比,更记录了牙齿移动的动态过程,帮助患者建立矫正信心,本文将从虎牙矫正的必要性、隐形矫正的优势、矫正流程中的图片变化、注意事项及案例效果等方面,结合图片信息详细解析虎牙隐形矫正的全过程。
虎牙矫正的必要性:为何虎牙问题需及时干预?
虎牙(专业称“尖牙”)是口腔中牙根最长的牙齿,对维持面部饱满度和咬合功能至关重要,但当虎牙因颌骨空间不足、乳牙早失、不良习惯(如吮指、咬唇)等因素导致萌出异常时,可能出现拥挤、唇向错位、低位阻生等问题,这些问题不仅影响微笑时的美观(如“凸嘴”“牙齿排列不齐”),还可能导致:

- 咬合功能障碍:虎牙无法与对颌牙正常接触,长期可能引发颞下颌关节紊乱;
- 口腔健康风险:错位的虎牙清洁困难,易堆积食物残渣,导致龋齿、牙周炎;
- 心理影响:牙齿问题可能降低社交自信,尤其对青少年和成人而言,美观需求更为迫切。
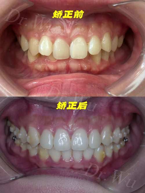
通过矫正图片可见,未矫正的虎牙常表现为“门牙旁的小尖牙突出”,而矫正后的牙齿排列整齐,微笑弧线自然,直观体现了矫正的价值。
隐形矫正的优势:为何虎牙矫正更适合选择隐形方式?
与传统金属托槽矫正相比,隐形矫正通过透明牙套逐步移动牙齿,其优势在虎牙矫正中尤为突出,这也是许多人通过图片关注隐形矫正的原因:
| 对比维度 | 传统矫正 | 隐形矫正 |
|---|---|---|
| 美观性 | 金属托槽明显,影响社交 | 牙套透明,佩戴时不易察觉 |
| 舒适度 | 托槽可能刮伤口腔,异物感强 | 无托槽边缘光滑,贴合牙齿 |
| 口腔清洁 | 需特殊工具清洁死角 | 可自行摘戴,正常刷牙漱口 |
| 饮食限制 | 避免硬、黏食物 | 无需忌口,摘下牙套即可进食 |
| 复诊频率 | 4-6周复诊一次,调整弓丝 | 6-8周复诊一次,医生监控进度 |
通过矫正图片对比可见,隐形矫正的牙套几乎“隐形”,尤其适合对美观要求高的患者(如职场人士、学生),而矫正后的效果与传统矫正一致,甚至能通过3D模拟提前预览,让患者更安心。
虎牙隐形矫正流程:从图片看牙齿移动的“蜕变之旅”
虎牙隐形矫正通常需12-18个月,期间每一步变化都能通过图片记录,帮助患者直观了解矫正进度,以下是典型流程及对应图片内容:

初诊检查:用图片“定格”虎牙问题
矫正前,医生会通过口腔检查、拍片(X光片、CBCT)和取模(或口扫)获取牙齿数据,此时拍摄的“矫正前图片”包括:
- 口内照:清晰显示虎牙唇向突出、与邻牙的拥挤程度,以及咬合关系(如深覆合、深覆盖);
- 面部微笑照:记录虎牙对微笑曲线的影响,如“露龈笑”“两侧不对称”;
- X光片:判断牙根位置、颌骨空间,排除埋伏牙等问题。
这些图片是医生制定方案的基础,也是后期对比效果的“原始档案”。
方案设计:3D模拟图预览矫正效果
通过计算机软件,医生将牙齿数据转化为3D模型,模拟虎牙移动的每一步:
- 初始模型:显示虎牙的原始位置及需移动的距离;
- 动态模拟图:分阶段展示虎牙如何逐步“后退”“旋转”“压低”,最终排入牙列;
- 最终效果预测图:模拟矫正后的牙齿排列、咬合关系及微笑效果。
患者可通过这些模拟图与医生沟通,调整方案(如矫正速度、美学细节),确保效果符合预期。

佩戴矫正器:阶段性图片记录虎牙“移动轨迹”
根据方案,患者每1-2周更换一副牙套,每副牙套对虎牙施加特定的力,不同阶段的图片变化如下:
| 矫正阶段 | 时间节点 | 牙齿变化(通过图片可见) | 图片重点 |
|---|---|---|---|
| 初期排齐 | 1-3个月 | 虎牙轻微松动,邻牙开始移动,拥挤缝隙缩小 | 牙列缝隙变化、虎牙倾斜度调整 |
| 中期移动 | 4-9个月 | 虎牙逐渐向牙列中央移动,咬合关系改善 | 虎牙位置变化、与对颌牙接触情况 |
| 后期精细调整 | 10-15个月 | 虎牙完全排齐,牙根平行,咬合功能稳定 | 牙齿排列整齐度、微笑曲线自然度 |
患者需定期拍摄“阶段性复诊图片”,医生通过对比监控牙齿移动是否按计划进行,必要时调整方案,若虎牙移动缓慢,可能需增加附件(牙面上的“小凸点”,辅助牙套施力)或延长佩戴时间。
保持阶段:巩固效果的“关键图片”
矫正结束后,需佩戴保持器(隐形保持器或传统保持器)防止虎牙复发,此时拍摄的“矫正后图片”包括:
- 口内照:虎牙稳定在牙列中,与邻牙接触紧密;
- 咬合照:上下牙咬合正常,无早接触点;
- 微笑对比照:与矫正前对比,微笑弧线自然,面部比例协调。
这些图片是矫正成功的见证,也是医生评估长期效果的依据。
虎牙隐形矫正的注意事项:确保图片效果“落地”
通过图片看到理想效果的同时,需注意以下事项,避免矫正失败:
- 佩戴时间:每天需佩戴牙套20-22小时,仅进食、刷牙时摘下,否则牙齿移动不足,影响进度(可通过“佩戴记录图片”监控时长);
- 口腔清洁:摘下牙套后需刷牙、漱口,避免食物残渣残留导致牙套染色、牙齿龋坏(定期拍摄“清洁后图片”确保卫生);
- 饮食禁忌:佩戴牙套时避免饮用热水、碳酸饮料(可能变形牙套),避免食用硬、黏食物(如坚果、口香糖,可能损坏牙套);
- 复诊配合:按时复诊,携带阶段性图片,便于医生及时调整方案。
案例图片解析:从“虎牙突出”到“微笑自信”
以“25岁女性虎牙拥挤矫正”为例,通过图片对比可见:
- 矫正前:口内照显示右侧虎牙唇向突出,与侧切牙重叠,微笑时“尖牙”明显,影响美观;
- 矫正中(6个月):阶段性图片显示虎牙已向中间移动1/2,牙列缝隙缩小;
- 矫正后(12个月):虎牙完全排入牙列,与邻牙接触紧密,微笑照显示牙齿整齐,嘴角自然上扬,面部线条更柔和。
这类真实案例图片是隐形矫正效果的“活广告”,也让更多患者对虎牙矫正充满信心。
相关问答FAQs
Q1:虎牙隐形矫正需要拔牙吗?拔牙会影响脸型吗?
A:是否拔牙需根据虎牙拥挤程度、颌骨空间等综合判断,若轻度拥挤,可通过扩大牙弓、磨改牙齿邻面获得空间;若中度以上拥挤,可能需拔除前磨牙(如第一前磨牙)为虎牙移动提供空间,拔牙后,牙齿会向内调整,改善“凸嘴”问题,反而可能使面部线条更协调,而非“凹陷”,医生可通过3D模拟图展示拔牙与不拔牙的效果差异,患者可根据自身需求选择。
Q2:虎牙矫正过程中,牙套戴久了会有异味吗?如何避免?
A:牙套本身无异味,若佩戴时口腔清洁不到位,食物残渣残留可能产生异味,避免方法:① 摘下牙套后立即刷牙、漱口,使用牙线清洁牙缝;② 定期用义齿清洁剂浸泡牙套(每周1-2次);③ 避免食用有色食物(如咖啡、咖喱),减少牙套染色,若仍有异味,可及时复诊检查,医生会通过口腔图片判断是否与清洁不足或龋齿有关。
