牙齿正畸是通过外力装置调整牙齿及颌骨位置,改善咬合功能和面部美观的口腔治疗技术,在正畸过程中,医生常使用各种辅助工具实现精准牙齿移动,支抗钉”(又称微种植钉、骨钉)是重要的支抗控制手段,而“取钉”则是支抗钉完成使命后的必要步骤,本文将围绕牙齿正畸中支抗钉的作用、取钉的时机与流程、术后护理及注意事项展开详细说明。
支抗钉:正畸中的“隐形助手”
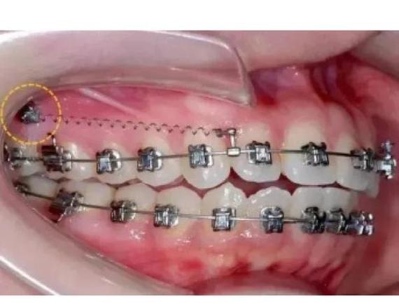
支抗钉是直径1.5-3mm、长度6-12mm的钛合金或不锈钢螺钉,通过微创手术植入牙槽骨内,为牙齿移动提供稳定的“支抗点”,传统正畸中,牙齿移动常依赖相邻牙齿或颌骨作为支抗,但支抗能力有限,可能导致非目标牙齿移位(如支抗牙前倾),支抗钉的优势在于其独立于牙列的稳定性,可精准控制牙齿移动方向,解决复杂问题:如内收前牙关闭拔牙间隙、压低伸长的牙齿、纠正中线偏斜、辅助磨牙远移等,根据植入位置,支抗钉可分为骨内钉(植入牙槽骨)和骨膜下钉(植入骨膜与骨之间),前者应用更广泛,稳定性更高。

取钉的时机:何时需要“卸下助手”?
支抗钉并非长期植入,其使用周期需根据正畸方案灵活调整,取钉时机主要取决于以下因素:
- 牙齿移动目标完成:当支抗钉协助完成的牙齿移动(如前牙内收到位、后牙压低完成)后,其支抗作用即结束。
- 正畸阶段转换:如从主动矫正期进入保持器佩戴期,或需更换矫治器类型时,为避免影响后续操作,需提前取钉。
- 支抗钉相关问题:若出现支抗钉松动、周围软组织红肿、感染或影响口腔清洁等异常情况,需及时取钉。
- 患者需求:部分患者因心理因素或生活不便(如担心误吞、影响运动),在医生评估可行后可提前取钉。
支抗钉植入时间为3-12个月,具体时长由正畸医生通过临床检查(牙齿移动度、咬合关系)及影像学评估(X光片观察牙根位置)综合判断。
取钉流程:简单高效的“微创操作”
取钉是支抗钉植入的逆操作,流程简单、创伤小,通常在门诊完成,无需住院,具体步骤如下:
- 术前评估:医生检查支抗钉周围软组织是否愈合良好,确认无红肿、渗出等感染迹象;对松动明显的支抗钉,无需麻醉即可取出;对稳固的支抗钉,需局部麻醉(利多卡因等)以减轻不适。
- 器械准备:使用专用取钉器械(如取钉扳手、旋转钻头),常规消毒铺巾。
- 取出操作:
- 松动钉:用止血钳夹住支抗钉头部,轻轻旋转并拔出,过程中无明显疼痛。
- 稳固钉:将取钉扳手套在支抗钉头部,逆时针缓慢旋转(约3-5圈),当钉体与骨组织分离后,顺势拔出;若遇阻力,可配合轻微晃动,避免强行用力导致骨组织损伤。
- 创口处理:取出后,用棉球压迫止血1-2分钟,观察无活动性出血即可;若创口较大,可涂抹碘伏或缝合1针(无需拆线,可吸收线)。
- 术后医嘱:告知患者注意事项,发放漱口水(如氯己定漱口液),指导口腔清洁方法。
整个过程仅需5-10分钟,多数患者表示“轻微酸胀感”,疼痛程度远低于拔牙。

取钉后护理:促进愈合,避免并发症
取钉后创口需1-2周完全愈合,正确的护理可降低感染、出血等风险:
- 饮食注意:24小时内避免过热、过硬、辛辣食物,建议温凉流质或半流质饮食(如粥、酸奶),用健侧咀嚼。
- 口腔卫生:刷牙时轻柔避开创口,使用软毛牙刷,避免触碰支抗钉植入部位;术后可配合漱口水(餐后及睡前各1次,每次30秒),持续3-5天。
- 避免刺激:1周内勿用舌头、手触碰或吮吸创口,不吸烟、不饮酒,减少对黏膜的刺激。
- 观察异常:若出现创口持续出血(24小时内渗血不止)、剧烈疼痛、红肿加剧或流脓,需及时复诊;轻微肿胀可冷敷(术后24小时内,每次15分钟,每天2-3次)。
- 保持器佩戴:若正畸治疗尚未结束,取钉后需继续佩戴矫治器;若进入保持期,需按医生要求佩戴保持器,防止牙齿复发移位。
支抗钉类型与适用场景对比
| 分类依据 | 类型 | 特点 | 适用场景 |
|---|---|---|---|
| 植入位置 | 骨内钉 | 植入牙槽骨内,稳定性高,成功率>95% | 需强支抗的牙齿移动(如前牙内收、磨牙压低) |
| 骨膜下钉 | 植入骨膜与骨之间,创伤更小,但稳定性略低 | 短期支抗需求或牙槽骨较薄者 | |
| 形状与结构 | 钉形钉 | 表面光滑或带螺纹,植入简便 | 常规支抗需求 |
| 帽形钉 | 带有平台状钉帽,便于结扎固定 | 需多方向施力或复杂牙齿移动 | |
| 功能 | 移动牙齿类钉 | 协助目标牙齿移动(如尖牙远移、前牙内收) | 牙列拥挤、龅牙、深覆盖等 |
| 支抗加强类钉 | 固定非目标牙齿,防止其移位 | 拔牙病例、支抗不足的矫正 |
相关问答FAQs
Q1:正畸取钉后创口多久能完全愈合?需要注意什么?
A:取钉后黏膜创面通常1-2周内愈合(肉眼可见红肿消失、黏膜平整),完全骨愈合需1-3个月,愈合期间需注意:① 避免咀嚼过硬食物,防止创口裂开;② 保持口腔卫生,饭后漱口,刷牙时轻柔绕开创口;③ 若创口出现白色假膜(正常愈合表现),勿撕扯;④ 若愈合后仍有凹陷感,是正常骨组织修复表现,会逐渐平整。
Q2:取钉后牙齿会松动或反弹吗?需要额外佩戴保持器吗?
A:取钉本身不会导致牙齿松动,因支抗钉仅提供临时支抗,不直接参与牙齿固定,但正畸后牙齿位置尚未稳定,若未佩戴保持器,任何阶段(包括取钉后)均可能复发反弹,取钉后若仍在矫正期,需继续佩戴矫治器;若治疗结束,必须严格佩戴保持器(至少全天佩戴1年,之后夜间长期佩戴),以维持矫正效果,防止牙齿移位。

