正畸治疗是一个漫长且需要耐心配合的过程,当牙套最终摘下,露出整齐的牙齿和自信的笑容时,拍摄一组高质量的正畸结束后照片,不仅是对治疗成果的珍贵记录,更是对未来口腔健康维护的重要参考,这些照片不仅是患者个人美好回忆的载体,更是医生评估治疗效果、调整维护方案的关键依据,其意义远超简单的“留影”。
正畸结束后照片的核心价值
正畸治疗的终极目标是实现牙齿、颌骨与面部软组织的协调统一,既改善牙齿排列和咬合功能,又提升面部美观度,治疗结束后,通过照片可以客观、全面地记录这一成果,从患者角度而言,照片是“蜕变”的直接证明,能增强对治疗效果的认同感和自信心,尤其对于曾因牙齿问题产生自卑心理的人来说,这份视觉记录具有强大的心理疗愈作用,从医生角度而言,照片是疗效评估的核心工具:通过对比治疗前的原始资料(如初诊照片、X光片),可以精准判断牙齿移动是否达到预期目标,如拥挤是否解除、间隙是否关闭、中线是否对齐、咬合关系是否稳定等,同时也能及时发现潜在问题,如牙根吸收、牙槽骨高度变化等,为后续保持器佩戴方案的设计提供依据,这些照片还可作为医疗档案的一部分,用于学术交流或病例讨论,推动正畸技术的发展。

照片拍摄的具体内容与角度
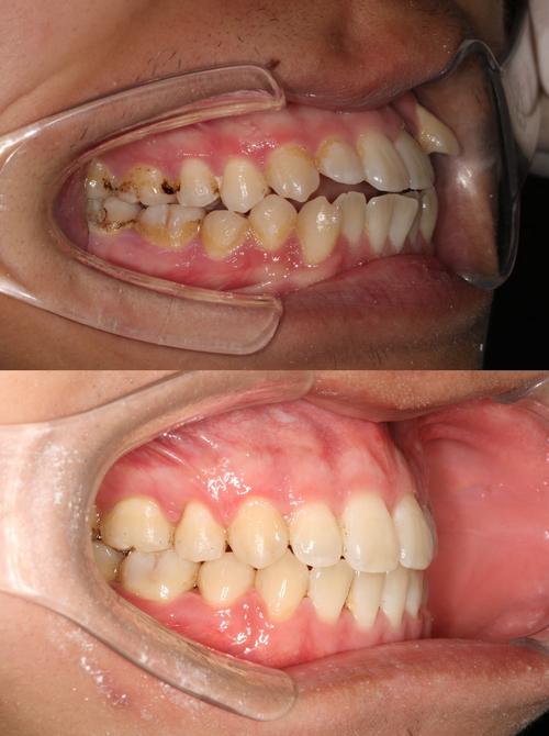
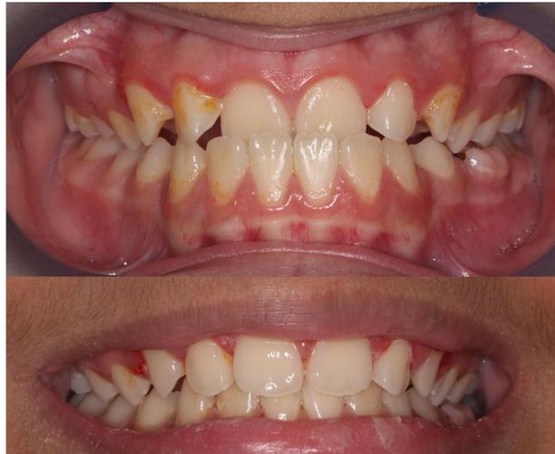
一组完整的正畸结束后照片应包含面部与口内两大类,涵盖多个角度,确保全面反映牙齿、咬合及面部的变化,拍摄时需注意光线均匀、背景简洁、表情自然,避免因光线过强或角度偏差导致失真,以下是具体拍摄内容及要求:
| 照片类型 | 拍摄目的 | 注意事项 | |
|---|---|---|---|
| 面部正面照 | 自然站立,面部正对镜头,双眼平视,嘴唇自然放松(不露齿)及自然微笑(露齿) | 记录面部对称性、微笑曲线、唇部形态变化,评估侧貌突度改善情况 | 保持头部正直,避免歪头或仰头;微笑时避免刻意咧嘴,展现自然状态 |
| 面部侧面照 | 头部侧转,耳屏与肩峰对齐,嘴唇自然放松及自然微笑(分别拍摄左右侧) | 观察侧貌轮廓变化,如下巴前翘程度、鼻唇颏关系协调性,判断软组织侧貌是否改善 | 确保相机镜头与面部矢状面平行,避免因角度偏差导致侧貌失真;左右侧均需拍摄 |
| 口内正面照 | 张口充分,舌尖轻抵上颚,牙齿完全暴露,拍摄时镜头与咬合平面平行 | 检查牙齿排列整齐度、牙龈形态是否对称、牙冠颜色是否均匀、有无龋坏或修复体 | 使用口镜辅助拉开嘴角,确保后牙区清晰可见;光线充足,避免阴影遮挡 |
| 口内侧面照 | 分别拍摄左右侧,嘱患者做正中咬合,镜头与牙齿长轴平行 | 观察牙齿邻接关系、咬合接触点、覆颌覆盖情况、牙弓形态是否对称 | 嘱患者咬合稳定后再拍摄,避免牙齿移动;清晰显示尖窝交错关系 |
| 微笑照 | 自然微笑,暴露上前牙及前磨牙,拍摄正面及左右侧面 | 评估微笑时牙齿暴露量、牙龈曲线(牙龈缘连线形态)、微笑对称性 | 引导患者回忆“最开心时的微笑”,避免因紧张导致笑容僵硬;重点记录上颌前牙区美学效果 |
| 咬合关系照 | 正中咬合位,拍摄上下牙列咬合情况;前伸咬合位,观察前牙引导及后牙干扰 | 判断咬合是否稳定、有无早接触点、颞下颌关节功能是否正常 | 嘱患者缓慢咬合,拍摄动态咬合过程;必要时拍摄不同咬合位,全面评估功能 |
前后对比:见证牙齿与面部的蜕变
正畸结束后照片的最大价值在于与治疗前后的对比分析,通过对比初诊、治疗中(如排齐期、关闭间隙期)和结束时的照片,可以直观呈现治疗带来的改变:
- 牙齿排列与咬合功能:治疗前常见的牙齿拥挤、扭转、间隙过大等问题,在结束后照片中应表现为牙齿排列整齐、邻接紧密;咬合方面,深覆颌(上牙过度覆盖下牙)、深覆盖(“龅牙”)、反颌(“地包天”)等错颌畸形应得到纠正,上下牙尖窝交错关系稳定,咀嚼功能恢复。
- 面部美观与软组织协调:牙齿位置的改变会带动唇部、颊部等软组织发生相应变化,前牙内收后,“龅牙”患者的嘴唇不再前突,侧貌轮廓更柔和;反颌矫正后,下巴不再显短,面部比例更协调;微笑时,牙龈暴露量适中,牙龈曲线呈自然的“抛物线”,笑容更具感染力。
- 口腔健康与长期稳定性:通过对比治疗前后X光片(如全景片、头颅侧位片)与口内照片,医生还可评估牙根吸收情况、牙槽骨密度是否改善,以及牙龈健康状态(如牙龈是否萎缩、牙周袋深度是否正常),这些指标直接关系到治疗效果的长期稳定性。
照片的规范保存与科学管理
正畸结束后照片不仅是“纪念品”,更是长期口腔管理的“档案”,患者应主动向医生索取完整的电子版或纸质版照片,并妥善保存:建议建立专门的文件夹,按“正畸治疗前-治疗中-结束后”分类命名,方便后续对比;电子版可备份至云端或移动硬盘,避免设备损坏导致丢失;纸质版可装入相册,定期翻阅回顾,在佩戴保持器期间,若出现牙齿轻微移位、咬合不适等问题,可结合当前照片与结束时的原始照片进行自我初步判断,并及时复诊,由医生评估是否需要调整保持器方案或进行短期微调。
照片在后续维护中的指导意义
正畸治疗并非“一劳永逸”,摘下牙套后进入保持期是巩固疗效的关键阶段,结束时的照片可作为“基准参照”,帮助患者和医生更好地进行长期维护:

- 保持器佩戴指导:通过对比结束时的牙齿排列与当前照片,可判断保持器是否贴合,若发现牙齿出现倾斜或移位,医生可结合照片分析原因(如保持器佩戴时间不足、夜间磨牙等),并调整佩戴方案或制作新的保持器。
- 口腔清洁重点提示:结束时的口内照片可清晰显示牙齿邻接关系、牙龈形态等,若存在牙龈轻微红肿或邻面清洁死角,医生可针对性指导患者使用牙线、冲牙器等工具,重点清洁易滞留食物的部位,预防牙周疾病。
- 长期美学管理:对于关注微笑美观的患者,结束时的微笑照可作为“美学模板”,若未来因牙齿磨损、牙龈萎缩等问题导致微笑形态改变,可参考该照片进行修复治疗(如贴面、冠修复),维持理想的美学效果。
相关问答FAQs
Q1:正畸结束后多久需要拍摄第一组照片?是否需要定期复拍?
A:正畸结束后通常在拆除牙套的当天或1周内拍摄第一组“结束照片”,此时牙齿位置稳定,牙龈炎症(若治疗中存在)已基本消退,能真实反映治疗效果,进入保持期后,建议在佩戴保持器1个月、3个月、6个月及1年时定期复诊,医生会根据牙齿稳定性决定是否需要补充拍摄照片,若期间出现牙齿明显移位、咬合不适或牙龈异常,应及时复诊并拍摄照片,以便医生快速评估问题。
Q2:如果对正畸效果不满意,仅凭结束时的照片能判断是否需要二次矫治吗?
A:结束时的照片是评估效果的重要参考,但并非唯一依据,若患者对效果存在疑问(如认为牙齿排列不够整齐、咬合仍有轻微不适),需结合临床检查(如口腔视诊、模型分析、X光片)综合判断,照片可能显示牙齿排列整齐,但X光片提示存在牙根吸收或牙槽骨吸收,这种情况可能需要进一步治疗;而单纯的轻微美学问题(如牙龈微笑曲线稍不对称),可通过修复治疗或调整保持器改善,不一定需要二次矫治,建议及时与主治医生沟通,通过“照片+临床检查”共同制定解决方案。

