苏州作为江南文化名城,近年来在口腔医疗领域发展迅速,尤其是隐形口腔正畸技术,凭借其美观、舒适、便捷等优势,成为越来越多牙齿矫正患者的首选,隐形正畸通过一系列透明、可摘戴的牙套,逐步将牙齿移动至理想位置,既避免了传统“钢牙”的尴尬,又能精准控制矫正效果,尤其适合对美观有较高需求的成年人及青少年群体。
苏州隐形口腔正畸的核心优势
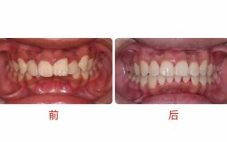
与传统金属托槽矫正相比,苏州隐形口腔正畸在多个维度展现出独特优势,这也是其受到市场青睐的关键原因。

美观性是隐形正畸最突出的特点,牙套采用医用级高分子材料制成,厚度通常小于0.5mm,透明度高,佩戴后不易被察觉,被称为“隐形”矫正,对于职场人士、教师、演员等需要频繁社交的人群,可在不影响正常工作和生活的前提下完成牙齿矫正,避免了传统矫正“张嘴见钢”的困扰。
舒适度方面,隐形牙套表面光滑,无金属结扎丝或托槽刮伤口腔黏膜的风险,且牙套边缘经过精细打磨,贴合牙齿曲线,异物感较弱,矫正过程中,牙齿移动力度由医生通过数字化方案精准控制,每副牙套的移动量通常为0.1-0.2mm,力度轻柔,可显著降低传统矫正中常见的疼痛、酸胀感。
便捷性同样不容忽视,隐形牙套可自由摘戴,患者在进食、刷牙时无需取下,避免了传统矫正中食物嵌塞、清洁困难的问题,有效降低龋齿、牙周炎等并发症风险,复诊周期相对灵活,一般每6-8周复诊一次,医生通过数字化模型监控矫正进度,对方案进行微调,尤其适合工作繁忙或居住在外地的患者。
精准性与个性化是隐形正畸的技术核心,依托3D数字化口扫技术,医生可快速获取患者口腔内的精准数据,通过AI算法模拟牙齿移动的全过程,提前预见矫正效果,并制定个性化方案,部分高端品牌还支持“方案预览”功能,患者可在矫正前直观看到牙齿排齐后的效果,增强治疗信心。

苏州隐形正畸的适用人群与禁忌症
并非所有牙齿问题都适合隐形矫正,需结合具体口腔状况判断。
适用人群主要包括:
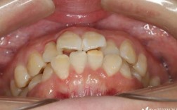
- 牙齿排列不齐:如牙列拥挤、牙齿稀疏(牙缝过大),可通过隐形牙套集中间隙、排齐牙齿;
- 咬合异常:如深覆合(上牙覆盖下牙过多)、深覆盖(龅牙)、反颌(地包天)、开颌(上下牙无法咬合)等,通过逐步调整牙齿位置改善咬合功能;
- 轻度骨性畸形:对于非严重的骨性龅牙、下颌后缩等,隐形矫正可结合微种植钉等辅助手段,实现牙齿与颌骨的协同移动;
- 美学需求人群:如演员、主持人、模特等,或对矫正美观度有较高要求的成年人及青少年;
- 口腔卫生维护困难者:如佩戴传统矫正器后易患龋齿、牙周炎的患者,隐形牙套的可摘戴特性便于清洁。
禁忌症则相对有限,主要包括:
- 严重的骨性错颌畸形,需配合正颌手术;
- 多颗牙齿缺失(需先种植或修复);
- 口腔卫生极差,矫正前需先进行牙周治疗;
- 有夜磨牙习惯者(可能影响牙套佩戴效果,需佩戴夜磨牙垫)。
苏州隐形正畸的完整流程
隐形矫正需经历严格的检查、设计、制作及佩戴流程,确保矫正效果与安全。
-
初诊检查与评估
患者首次就诊时,医生会通过口腔检查、拍摄全景片、头颅侧位片、CBCT(三维影像)等,全面评估牙齿、牙根、颌骨及牙周状况,判断是否适合隐形矫正,记录患者的矫正诉求(如美观、功能改善等)。 -
数字化数据采集
传统取模(咬牙模)易引发恶心不适,苏州正规机构普遍采用3D口扫技术(如iTero、隐适美扫描仪),5分钟即可获取高精度的口腔数字模型,数据误差小于0.05mm,为后续方案设计奠定基础。 -
方案设计与沟通
医生通过专业软件(如Insignia、OrthoInsight)模拟牙齿移动路径,生成多套矫正方案,包括每副牙套的移动量、总治疗周期(通常为1-2年)及最终效果,患者可与医生共同讨论方案细节,调整至满意后确定最终方案。 -
牙套制作与试戴
方案确认后,数据会传输至专业加工厂,采用热压成型或3D打印技术制作牙套(每副牙套均有独立编号,对应特定矫正阶段),患者收到牙套后,首次试戴由医生指导,确保牙套与牙齿完全贴合,无压痛感。 -
矫正佩戴与复诊
患者需每天佩戴牙套20-22小时,仅进食、刷牙时取下,每副牙套佩戴1-2周后更换下一副,期间每6-8周复诊一次,医生检查牙齿移动进度,调整方案(如添加附件、使用皮筋等),确保矫正方向正确。 -
保持器佩戴
矫正结束后,需佩戴保持器防止牙齿复发,通常前6个月全天佩戴,之后逐渐过渡至夜间佩戴,至少持续1-2年,保持器同样为透明材质,美观且舒适。
苏州隐形正畸的价格与影响因素
苏州隐形正畸的价格因品牌、矫正难度、机构等级及医生经验差异较大,整体区间如下:
| 品牌类型 | 价格区间(元) | 特点 |
|---|---|---|
| 进口高端品牌 | 35000-60000 | 如隐适美(Invisalign)、Spark,材料韧性强、适配度高,案例数据丰富,适合复杂病例 |
| 进口中端品牌 | 25000-40000 | 如时代天使(Angelalign)、正雅,性价比高,本土化方案设计更贴合国人牙型 |
| 国产新兴品牌 | 15000-25000 | 如正雅、美立刻,价格亲民,适合简单错颌畸形,但案例积累较少 |
价格影响因素包括:
- 矫正难度:简单排齐(如牙列拥挤)价格较低,复杂病例(如骨性畸形、需拔牙)价格上浮20%-50%;
- 医生经验:资深正畸医生(10年以上经验)的诊疗费比普通医生高30%-50%;
- 附加治疗:如拔牙、骨钉植入、牙周治疗等,需额外增加5000-15000元费用;
- 机构等级:三甲医院口腔科、高端连锁口腔诊所(如瑞尔、拜博)价格较高,普通私立诊所价格相对亲民。
苏州隐形正畸机构选择与注意事项
选择正规机构和专业医生是矫正成功的关键,建议从以下维度综合考量:
机构资质:优先选择具备《医疗机构执业许可证》的正规口腔医院或诊所,重点关注其是否设有独立的正畸科室,是否配备数字化口扫、CBCT等先进设备。
医生资质:正畸医生需持有《医师资格证书》及《医师执业证书》,且具备正畸专业培训背景(如中华口腔医学会正畸专业委员会(COS)认证会员),可要求医生展示过往隐形矫正案例,尤其是与自身情况相似的案例。
服务流程:正规机构会提供详细的术前检查、方案沟通及术后跟踪服务,避免“一次性收费”或过度推销,签订矫正协议时,需明确治疗周期、费用构成、复诊次数及售后保障条款。
患者反馈:可通过大众点评、知乎等平台查看机构真实评价,重点关注医生技术、服务态度及矫正效果,但需警惕虚假宣传。
注意事项:
- 矫正期间避免食用过硬、过黏食物(如坚果、口香糖),防止牙套损坏;
- 每日佩戴时间需达标,否则延长矫正周期;
- 保持口腔卫生,饭后用清水冲洗牙套,使用软毛牙刷轻刷牙套内侧,避免咖啡、茶渍染色;
- 如出现牙套破损、剧烈疼痛等异常,需及时复诊。
相关问答FAQs
Q1:隐形牙套可以自行更换吗?中途更换牙套需要复诊吗?
A:隐形牙套需按顺序佩戴,不可自行随意更换,每副牙套的移动量均基于医生设计的数字化方案,提前或延后更换均可能影响牙齿移动精度,导致矫正偏差,通常每2周更换一副牙套,更换前无需复诊,但需在复诊时(每6-8周)向医生汇报佩戴情况,确保方案执行无误,若牙套丢失或损坏,需及时联系医生,根据矫正进度补制新牙套,避免影响整体进度。
Q2:隐形正畸一定会拔牙吗?拔牙后矫正会影响面部美观吗?
A:是否拔牙需根据牙齿拥挤程度、骨型及面部美学设计综合判断,对于轻度拥挤,可通过扩大牙弓、邻面去釉(磨除少量牙釉质)等非拔牙方式解决;中重度拥挤(如拥挤量超过5mm)或存在严重骨性问题时,拔牙(通常拔除第一前磨牙)可为牙齿移动提供空间,改善咬合功能及面部轮廓,拔牙后,牙齿会向拔牙间隙移动,若医生方案设计合理,不仅不会导致“凹陷脸”,反而可通过改善龅牙、突度等问题,使面部线条更协调,苏州正规机构会在矫正前通过3D模拟预测拔牙后的面部效果,患者可提前确认。
