冠修复后正畸治疗是指患者已完成牙冠修复(如全瓷冠、金属冠、烤瓷冠等),但后续出现牙齿排列异常、咬合紊乱或修复体相关问题,通过正畸手段调整牙齿位置、咬合关系,同时兼顾修复体稳定性的综合治疗模式,这种治疗打破了传统“先正畸后修复”的固定顺序,为部分因修复后出现口腔问题或需优化修复效果的患者提供了更灵活的解决方案,尤其在解决复杂咬合、邻牙倾斜及美观协调等方面具有独特优势。
冠修复后正畸治疗的适应症
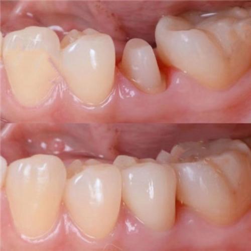
并非所有冠修复后都需要正畸,需严格评估适应症,主要包括以下情况:

| 适应情况 | 具体表现 | 治疗目标 |
|---|---|---|
| 牙齿排列异常 | 冠修复后出现牙齿拥挤、扭转、间隙过大或过小,邻牙移位导致修复体边缘不密合 | 调整牙齿位置,恢复正常排列间隙,确保修复体与邻牙的接触关系稳定 |
| 咬合紊乱 | 深覆合、深覆盖、反合(地包天)、锁合等,导致咀嚼功能下降或颞下颌关节不适 | 纠正咬合平面,建立稳定的尖窝关系,改善咀嚼效率,缓解关节症状 |
| 修复空间不足 | 邻牙倾斜使冠修复时预备量不足,或修复后因缺牙导致邻牙倾斜,影响新修复体设计 | 通过正畸移动开辟或调整修复空间,避免过度预备牙体或修复体悬突 |
| 美学与功能协同需求 | 冠修复后牙齿位置影响微笑线、面部对称性,或修复体与邻牙颜色、形态不协调 | 优化牙齿整体排列,使修复体与自然牙在位置、比例上协调,兼顾美观与功能 |
| 为后续治疗创造条件 | 需种植牙但邻牙倾斜导致种植间隙不足,或需多颗冠修复但牙列排列不齐 | 通过正畸调整牙轴和位置,为种植、修复提供理想的骨条件和间隙 |
冠修复后正畸治疗的核心流程
冠修复后正畸需兼顾正畸力学与修复体稳定性,治疗流程需精细化设计,主要分为以下阶段:
术前全面评估
- 口腔检查:重点评估冠的粘固情况(边缘密合度、有无继发龋)、牙周健康(探诊出血、附着丧失)、牙根形态(通过X线片观察有无根尖病变、牙根吸收)。
- 影像学分析:拍摄CBCT观察牙根位置、骨量情况,曲面断层片评估全口牙列关系,必要时行颞下颌关节MRI检查。
- 模型与咬合分析:制取石膏模型,进行模型测量(如牙冠高度、牙齿倾斜度)、咬合记录(确定正中颌、侧方颌干扰点),分析修复体与咬合的匹配度。
治疗计划制定
- 目标设定:明确正畸核心目标(如解除拥挤、纠正咬合、开辟间隙),与修复医生共同评估是否需调整或拆除现有冠(如冠边缘渗漏、牙体继发龋需先拆除治疗)。
- 方案设计:根据牙齿移动难度选择矫治器(固定矫治器、隐形矫治器、舌侧矫治器),设计牙齿移动路径,避免对冠施加过大扭力(如使用轻力矫治技术,镍钛丝序列排齐)。
- 多学科协作:正畸医生与修复医生沟通,确定治疗中冠的保护措施(如是否在冠上附加附件、调整咬合板),以及正畸结束后的修复方案(如是否需重做冠以匹配新位置)。
矫治过程实施
- 矫治器粘接:优先选择粘接面积大的托槽(如金属托槽),若为全瓷冠需使用硅模辅助定位,避免酸蚀剂损伤冠表面;隐形矫治器需在冠上设计附件增强固位力。
- 轻力矫治:初始阶段使用0.012-0.016英寸镍钛丝进行排齐,避免力量过大导致冠松动或牙根吸收;每4-6周复诊调整,检查冠边缘有无渗漏、脱落。
- 咬合调整:每阶段需调磨早接触点,避免正畸力集中于冠导致折裂;对存在咬合紊乱的患者,可佩戴咬合板辅助稳定颌位。
治疗结束与保持
- 拆除矫治器:待牙齿排列、咬合稳定后拆除矫治器,制取保持器模型( Hawley保持器或透明保持器)。
- 修复体最终调整:若正畸后冠的位置、形态与邻牙不协调,需与修复医生沟通重做冠(如修改牙冠长度、邻接点形态),确保功能与美观统一。
- 长期维护:佩戴保持器至少1年,期间每3个月复查冠的边缘密合度、牙周情况,避免继发龋或牙周炎影响远期效果。
治疗中的关键注意事项
- 冠的稳定性保护:正畸前需确认冠的粘固剂强度(玻璃离子水门汀优于磷酸锌水门汀),治疗中避免使用过大正畸力(如避免“摇椅弓”过度压低冠修复牙),防止冠脱落或边缘微渗漏。
- 牙周健康维护:冠修复后牙龈缘可能存在炎症(如冠边缘悬突刺激),正畸前需完成牙周治疗(洁治、刮治),治疗中加强口腔卫生指导(使用牙间刷、冲牙器),避免托槽周围食物滞留导致牙周病。
- 修复体材料适配:全瓷冠生物相容性好,但脆性较高,需避免咬硬物;金属冠需注意是否影响磁共振检查(如镍铬冠),若患者需行影像学检查,提前告知医生。
- 患者沟通管理:明确告知治疗风险(如冠脱落、牙根吸收)、周期(可能比普通正畸延长0.5-1年),强调口腔卫生配合的重要性,提高治疗依从性。
优势与挑战
优势
- 保留现有修复体:对于质量良好的冠(如全瓷冠、贵金属冠),避免拆除重做,节省经济和时间成本。
- 解决复杂问题:可同时处理牙齿排列、咬合、修复空间等多重问题,尤其适用于“正畸-修复联合治疗”的复杂病例。
- 美学与功能兼顾:通过正畸优化牙齿位置,使修复体与自然牙在微笑线、面部协调性上更匹配,提升整体治疗效果。
挑战
- 治疗难度增加:需平衡正畸力与修复体稳定性,对医生技术要求高(需掌握正畸力学与修复工艺)。
- 风险控制复杂:冠脱落、继发龋、牙根吸收等风险较普通正畸高,需密切监测并及时调整方案。
- 周期与成本:多学科协作可能延长治疗周期,且需承担正畸与修复的双重费用,患者经济负担较重。
相关问答FAQs
问题1:冠修复后正畸会导致牙冠脱落吗?如何降低风险?
解答:冠修复后正畸存在脱落风险,主要与冠的粘固质量、正畸力大小及口腔卫生相关,降低风险的方法包括:①治疗前评估冠的粘固情况,若边缘渗漏或粘固剂老化需先拆除重做;②采用轻力矫治技术,避免使用过大力量(如初始阶段选用细丝轻力排齐);③治疗中定期复查(每4周1次),检查冠有无松动,发现异常及时粘固或调整力值;④加强口腔卫生维护,避免牙龈炎导致冠边缘继发龋,若冠脱落,需评估牙体情况,若牙体完好可重新粘固后继续正畸,若牙体缺损则需先修复再治疗。
问题2:冠修复后正畸的治疗时间比普通正畸长吗?具体多久?
解答:通常比普通正畸略长,普通正畸平均治疗时间为1.5-2年,而冠修复后正畸需额外兼顾修复体的调整与保护,时间可能延长0.5-1年,总周期约2-3年,具体时长取决于牙齿移动难度(如是否需开辟间隙、纠正复杂咬合)、冠的数量(单冠修复较易,多冠修复需协调移动)及患者配合度(如是否按时复诊、保持口腔卫生),单纯冠修复后牙齿轻度拥挤,可能仅需1.5-2年;若需纠正反合并调整多颗冠的位置,治疗时间可能延长至3年,治疗中医生会通过阶段性调整方案优化效率,尽量缩短周期。

