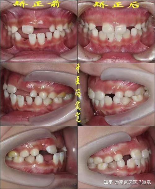
反颌,俗称“地包天”,是一种常见的错颌畸形,表现为上前牙咬合时位于下前牙舌侧,或上下前牙交叉咬合,不仅影响咀嚼功能和面部美观,还可能对心理健康造成困扰,正畸治疗是矫正反颌的主要手段,其过程需通过系统化的方案设计和精细化的操作,逐步引导牙齿、颌骨恢复到正常位置。
反颌正畸的完整过程
全面检查与方案设计
反颌矫正的第一步是进行全面口腔检查,明确反颌的类型(牙性、功能性或骨性)、严重程度及病因,检查内容包括:

- 临床检查:观察牙齿排列、咬合关系、面部对称性(如下颌是否前突、面部中份是否凹陷),检查颞下颌关节及口腔黏膜健康状况。
- 影像学检查:拍摄全景片(观察全口牙根、牙槽骨及颌骨形态)、头颅侧位片(分析颌骨大小、位置关系及面部软组织轮廓)、CBCT(三维评估骨量及牙根位置,复杂病例必备)。
- 模型分析:取制牙齿石膏模型,测量牙齿拥挤度、Spee曲线深度等数据,辅助设计牙齿移动方案。
医生结合检查结果,判断是否需要拔牙、扩弓或配合正颌手术,制定个性化矫正方案,并向患者详细说明治疗周期、预期效果及风险。
治疗前准备
方案确定后,需进行必要的预处理:
- 牙周治疗:若存在牙龈炎、牙周炎,需先进行洁治(洗牙)、刮治等牙周基础治疗,确保牙周健康后再开始矫正,避免牙齿移动过程中出现骨吸收。
- 拔牙(如需):对于中度以上拥挤或需要大量内收前牙的病例,通常需拔除4颗前磨牙(上下左右各1颗),为牙齿排齐和咬合调整创造空间,拔牙后需等待1-2周,待伤口愈合再进入下一阶段。
- 分牙:在粘接矫正器前,用分牙圈或分牙橡皮套在待移动的牙齿邻间,使牙齿产生微小间隙,便于托槽准确就位,一般持续1-2周。
主动矫正阶段
这是反颌治疗的核心,通过施加持续、轻柔的力,引导牙齿、牙槽骨改建,逐步纠正反颌关系,根据矫正器类型,可分为传统托槽矫正和隐形矫正,具体操作如下:
粘接矫正器
- 传统托槽矫正:医生用酸蚀剂处理牙齿表面,涂布粘接剂,将金属/陶瓷托槽固定在牙齿唇面/舌侧,再通过弓丝与托槽结扎固定,传递矫正力。
- 隐形矫正:通过口扫获取牙齿数据,设计3D移动方案,定制一系列透明牙套,患者需每天佩戴20小时以上,每1-2周更换一副新牙套,逐步实现牙齿移动。
牙齿移动的阶段性目标

- 排齐整平期(1-6个月):解决牙齿拥挤、扭转,将弓丝纳入托槽槽沟,利用镍钛丝的弹性将牙齿排齐,整平Spee曲线。
- 关闭拔牙间隙/调整咬合期(6-18个月):通过滑动法或关闭曲法内收前牙,纠正反颌关系,同时调整磨牙咬合,建立中性咬合(上颌第一磨牙近中颊尖咬在下颌第一磨牙颊沟)。
- 精细调整期(1-3个月):使用细弓丝(如0.016英寸不锈钢丝)微调牙齿位置,确保上下牙尖窝相对,接触点紧密,避免咬合创伤。
常见矫正器类型对比
| 类型 | 优点 | 缺点 | 适用情况 |
|----------------|---------------------------|---------------------------|-----------------------------|
| 金属托槽 | 矫正力度强,价格低廉 | 美观性差,易刮伤口腔 | 复杂反颌、需大量牙齿移动 |
| 陶瓷托槽 | 美观性较好,接近牙齿颜色 | 硬度较高,可能磨损牙齿 | 对美观要求较高的患者 |
| 隐形矫正 | 完全透明,可摘戴,舒适 | 价格高,依赖患者配合 | 轻中度反颌、成人患者 |
| 舌侧矫正 | 完全隐蔽,不影响美观 | 价格昂贵,清洁难度大 | 对美观要求极高的成人患者 |
精细调整与保持
主动矫正结束后,牙齿位置尚未稳定,需进入保持阶段:
- 拆除矫正器:医生去除托槽或牙套,清洁牙齿表面,取模制作保持器。
- 佩戴保持器:常用保持器包括透明压膜保持器(覆盖整个牙列,美观舒适)和Hawley保持器(含金属卡环和基托,耐用且可微调),前6个月需全天佩戴(进食、刷牙时取下),之后逐渐过渡到夜间长期佩戴,防止复发。
- 定期复查:保持期间每3-6个月复查一次,检查牙齿稳定情况及保持器适配度,必要时进行调整。
注意事项
- 口腔卫生:矫正期间食物易嵌塞,需使用软毛牙刷、牙线、冲牙器彻底清洁,避免托槽周围龋坏。
- 饮食控制:避免啃硬物(骨头、坚果)、黏性食物(口香糖、奶糖),防止托槽脱落或弓丝变形。
- 复诊时间:传统矫正每4-6周复诊一次,隐形矫正每6-8周复诊,延迟复诊可能导致牙齿移动异常,延长治疗时间。
相关FAQs
Q1:反颌矫正一定要拔牙吗?
A:不一定,是否拔牙取决于反颌类型、牙齿拥挤程度及面部突度,轻度牙性反颌且无拥挤,可通过推磨牙向后、扩大牙弓等方式解决;若存在中度以上拥挤或骨性反颌(如下颌前突、上颌发育不足),拔牙可为牙齿内收提供空间,改善面部侧貌,具体需医生通过检查综合判断。
Q2:成年后反颌矫正效果比青少年差吗?
A:不一定,成年人颌骨已停止发育,牙槽骨改建速度较慢,矫正时间可能比青少年长(通常2-3年),但只要牙周健康,同样能达到良好的咬合功能和美观效果,对于严重的骨性反颌,成年患者可能需配合正颌手术(先正畸排齐牙齿,再手术调整颌骨位置),才能从根本上改善面部形态。

