开颌是指上下颌牙弓及颌骨在垂直关系上的异常表现,具体指在正中咬合及非正中咬合时,上下颌部分牙齿在垂直方向无接触,可能涉及前牙、后牙或全牙列,这种畸形不仅影响咀嚼功能、发音清晰度,还可能导致面部比例失调(如下颌后缩、面下1/3过长等),甚至引发颞下颌关节紊乱,正畸治疗是纠正开颌的主要手段,通过牙齿移动、颌骨改建及肌肉功能调整,最终实现咬合功能与面部美观的协同改善,而治疗前后图片对比,作为直观疗效评估的重要依据,能清晰展示牙齿排列、咬合关系、面部软组织轮廓的变化,为医患沟通及疗效总结提供有力支持。
开颌正畸的核心目标与治疗原则
正畸治疗开颌的核心目标包括:建立稳定的咬合接触(消除垂直向间隙)、恢复牙齿正常的覆颌覆盖关系、改善面下1/3高度与唇齿关系、纠正不良口腔习惯(如吐舌、口呼吸、咬唇等)及协调颌骨与肌肉功能,治疗原则需根据开颌类型(牙性、功能性、骨性)及患者年龄(生长发育期 vs 成人)制定:青少年患者可能优先利用生长潜力,通过功能矫治器(如肌激动器、FRⅢ型矫治器)引导颌骨发育;成人患者则以牙齿代偿性移动为主,严重骨性开颌需联合正颌手术;不良习惯的纠正贯穿治疗全程,是防止复发的关键。

图片对比的核心观察维度
治疗前后图片对比需从多维度进行综合评估,以全面反映疗效:
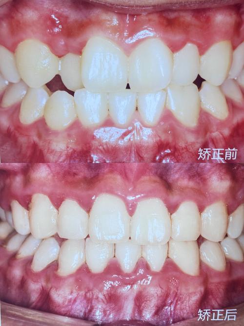
牙齿排列与咬合关系
- 牙齿位置:观察治疗前牙齿是否有拥挤、扭转、间隙,治疗后是否整齐排列,牙轴倾斜度是否正常。
- 咬合接触:重点对比开颌间隙的变化——治疗前前牙或后牙无接触的垂直距离(如前牙开颌3mm指上下中切牙垂直分离3mm),治疗后是否建立紧密咬合;后牙咬合是否从“开颌”变为“尖窝交错”,前牙覆颌覆盖是否恢复正常(正常覆颌为上前牙覆盖下前牙牙冠长度1/3-1/2,覆盖为上前牙切缘至下前牙唇面的水平距离)。
- 中线对齐:上下颌牙弓中线是否与面部中线一致,治疗后偏移是否纠正。
面部软组织轮廓
- 面下1/3高度:开颌患者常因后牙无支撑导致面下1/3过长,治疗后通过后牙咬合重建,面下1/3高度应趋于协调(可通过鼻唇颏 points 测量评估)。
- 唇齿关系:自然状态下,上唇下缘与下前牙切缘的关系(正常上唇下缘轻触下前牙切缘1/2-1/3),治疗后开颌导致的“露龈笑”或“开唇露齿”是否改善。
- 颏部与下颌形态:骨性开颌患者可能伴下颌后缩,治疗后通过颌骨改建或牙齿代偿,颏部前突度及下颌角形态是否更自然。
口腔功能与习惯纠正
- 咀嚼效率:通过患者主观反馈及临床咬合检查,对比治疗后咀嚼是否有力,食物嵌塞是否减少。
- 发音功能:治疗前因开颌可能导致发音不清(如“s”“z”音),治疗后舌位调整后是否恢复正常。
- 不良习惯:如吐舌习惯是否纠正(可通过舌位图片对比观察),口呼吸患者是否转为鼻呼吸(唇部肌肉张力改善)。
典型病例图片对比分析(表格形式)
以下通过不同类型开颌病例的治疗前后对比,直观展示正畸疗效:
| 病例类型 | 治疗前表现 | 治疗方法 | 治疗后表现 | 图片对比要点 |
|---|---|---|---|---|
| 前牙牙性开颌 | 上下前牙垂直开颌4mm,无接触;后牙咬合正常;轻度牙列拥挤;微笑时露牙龈过多。 | 固定矫治器(直丝弓技术)+ 垂直牵引橡皮圈;排齐牙齿,关闭前牙间隙,纠正开颌。 | 前牙覆覆盖正常,紧密咬合;牙齿排列整齐;微笑时牙龈暴露减少,唇部形态自然。 | 正面观:前牙闭合时无间隙,牙龈缘位置对称;侧面观:上唇下缘与下前牙关系协调,面下1/3高度适中。 |
| 后牙功能性开颌 | 后牙区开颌5mm,前牙深覆颌Ⅲ°;口呼吸习惯,伴上牙弓狭窄;面下1/3过长,颏部后缩。 | 扩弓矫治器(上颌螺旋扩弓)+ 功能矫治器(肌激动器)+ 固定矫治器;纠正口呼吸,扩宽牙弓,引导后牙咬合建立。 | 后牙咬合紧密,前牙覆颌转为Ⅰ°;牙弓宽度协调;面部口周肌肉张力改善,颏部轻度前突。 | 咬合片:治疗后后牙尖窝交错;侧面观:面下1/3高度缩短,颏部形态改善;口周照片:唇部闭合自然。 |
| 成人骨性开颌 | 全牙列开颌,前牙开颌3mm,后牙开颌2mm;下颌平面角过大(32°),伴轻度下颌后缩;无不良习惯。 | 正畸-正颌联合治疗:术前正畸(去代偿、排齐牙齿)+ 下颌前移术+ 术后正畸(精细调整咬合)。 | 全牙列咬合稳定,覆覆盖正常;下颌平面角减小至26°,面部比例协调,颏部前突度改善。 | 头颅侧位片:治疗后下颌骨位置前移,平面角减小;面部照片:鼻唇颏关系协调,侧面轮廓更流畅。 |
正畸后注意事项与复发预防
开颌正畸治疗后,复发风险较高,需严格遵循医嘱以维持疗效:
- 保持阶段:拆除矫治器后需立即佩戴保持器,首选 Hawley 保持器(附唇弓和腭托)或透明压膜保持器,前3-6个月全天佩戴,之后夜间佩戴至少2年;对于严重骨性开颌或伴有不良习惯的患者,可能需延长佩戴时间。
- 习惯纠正:彻底纠正吐舌、口呼吸、咬唇等不良习惯,可通过肌功能训练(如舌位训练、唇肌训练)辅助,必要时可联合行为干预。
- 定期复查:治疗后1年内每3-6个月复查1次,检查保持器佩戴情况、咬合稳定性及口腔习惯;1年后每年复查1次,长期监测防止复发。
相关问答(FAQs)
问题1:开颌正畸后多久能看到明显的效果?
解答:疗效显现时间因开颌类型、治疗方法及患者年龄而异,牙性开颌患者(如前牙开颌)在固定矫治器佩戴3-6个月后,前牙间隙可逐渐关闭,咬合关系开始改善;功能性开颌患者(如口呼吸导致)在纠正习惯并使用功能矫治器2-4个月后,后牙咬合支撑可逐步建立,面下1/3高度变化明显;成人骨性开颌需通过正畸-正颌联合治疗,术后1-2年面部形态和咬合功能可达到稳定改善,总体而言,青少年患者因生长潜力,疗效显现较快;成人患者需更精细的牙齿移动,时间相对延长。

问题2:开颌正畸后为什么会复发?如何避免?
解答:复发的主要原因包括:① 不良习惯未纠正:如吐舌、口呼吸等持续存在,会再次推上前牙或压低下后牙,导致开颌;② 保持不当:未按要求佩戴保持器,或过早停戴,牙齿周围组织改建未稳定,易退回原始位置;③ 骨性因素:成人骨性开颌患者若未通过手术纠正颌骨异常,单纯正畸牙齿代偿可能无法长期稳定;④ 咬合平衡未建立:治疗后咬合干扰、牙齿早接触等,可能导致咀嚼时牙齿移位。
避免复发的关键措施:① 彻底纠正不良习惯,必要时进行肌功能训练;② 严格佩戴保持器,遵医嘱逐步调整佩戴时间;③ 骨性开颌患者需联合正颌手术,从根本上纠正颌骨关系;④ 治疗后定期复查,及时处理咬合异常,确保咬合稳定。

