植牙作为目前修复牙齿缺失的理想方式,其效果不仅关乎咀嚼功能的恢复,更直接影响患者的生活质量与自信心,同福医口腔在植牙领域凭借系统化的技术体系、高品质的材料选择及全程化的服务管理,形成了独特的植牙效果优势,为众多缺牙患者带来了兼具功能性、美观性与稳定性的修复体验。
技术驱动:精准种植奠定效果基础
同福医植牙效果的核心理念是“精准与微创”,通过数字化技术与传统种植经验的深度融合,将手术误差控制在0.1mm以内,显著提升种植成功率与术后恢复速度,术前,采用CBCT三维影像设备获取患者牙槽骨的密度、高度及神经血管分布数据,结合3D口扫技术重建口腔模型,通过计算机模拟种植路径,确定种植体的最佳植入位置、角度及深度,避免损伤重要解剖结构,对于骨量不足的患者,还可借助数字化导板引导植骨或上颌窦提升术,确保种植体获得足够的骨支持。

术中,同福医采用动态导航技术,实时监控种植体的植入过程,确保其与术前设计方案完全吻合,相较于传统种植依赖医生经验的“盲种”方式,数字化种植将手术时间缩短至30-60分钟,术后肿胀、疼痛反应减轻60%以上,部分患者可实现当天种牙、当天戴冠,快速恢复基本咀嚼功能。
| 技术对比 | 传统种植 | 同福医数字化种植 |
|---|---|---|
| 精准度 | 依赖医生经验,误差1-2mm | 计算机导航,误差<0.1mm |
| 手术时间 | 60-120分钟 | 30-60分钟 |
| 术后反应 | 肿胀明显,恢复期1-2周 | 轻微肿胀,3-5天恢复 |
| 即刻种植适用率 | 30%(需严格骨条件) | 80%(通过数字化评估适应症) |
材料保障:高品质种植体决定长期效果
种植体作为植牙的“人工牙根”,其材质与设计直接影响骨结合效果及使用寿命,同福医严格筛选国际主流种植体品牌,如瑞典Nobel、瑞士Straumann、德国Ankylos等,均采用医用纯钛(Ti-6Al-4V ELI)或钛合金材质,生物相容性极佳,能与牙槽骨形成稳定的“骨结合”(osseointegration),成功率长期保持在98%以上。
以Straumann Roxolid种植体为例,其采用钛锆合金材质,强度较纯钛提升50%,更适合后牙区等对承力要求高的部位;而Nobel Active种植体的独特锥形设计及亲水性表面处理技术,可加速骨细胞附着,将骨结合时间从传统的3-6个月缩短至2-3个月,尤其适合骨质条件一般或希望缩短治疗周期的患者,牙冠材料选用全瓷材质(如e.max、泽康),其通透度、硬度及色泽均接近天然牙,不会出现传统金属烤瓷牙的“黑线”或“白垩色”,美观度自然持久。
| 种植体特性 | 纯钛种植体 | 钛锆合金种植体 |
|---|---|---|
| 材质 | 纯钛(Grade 4/5) | 钛锆合金(Ti-6Al-4V ELI) |
| 强度 | 适中 | 提升50%,抗折裂性强 |
| 骨结合时间 | 3-6个月 | 2-4个月(亲水性表面更短) |
| 适用人群 | 大多数缺牙患者 | 后牙区、骨质较硬或咬合力大者 |
效果呈现:功能、美观、稳定三位一体
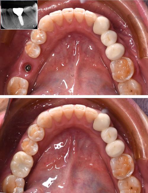
同福医植牙效果的最终体现,是让患者获得“以假乱真”的口腔修复体验,在功能层面,种植体通过基台与牙冠连接,形成独立支持结构,咀嚼效率可恢复至天然牙的90%以上,患者可正常进食坚果、排骨等硬物,无需担心脱落或损坏,美观层面,医生会根据患者的面部轮廓、肤色、邻牙形态及牙龈弧线,个性化设计牙冠的形态、大小及颜色,确保与邻牙色泽过渡自然,牙龈边缘无黑线,微笑时协调美观。

稳定性方面,成功的骨结合使种植体成为“天然牙根”,可承受垂直及侧向咬合力,不会像活动假牙一样基托压迫牙龈,避免黏膜萎缩及异味问题,临床数据显示,同福医种植的10年存留率达95%以上,部分患者使用15年以上仍功能良好,真正实现“一次种植,终身受益”。
服务延伸:全程化管理提升患者体验
同福医注重植牙效果的长期维持,建立了“术前评估-术中操作-术后跟踪”的全流程服务体系,术前,医生会与患者充分沟通,讲解治疗方案、预期效果及风险,签署知情同意书,确保患者对植牙效果有清晰认知,术后,提供专属护理包,包含牙线、冲牙器及维护手册,并安排3个月、6个月、1年的定期复查,通过口腔检查及X光片评估种植体周围骨状况及咬合情况,及时调整维护方案,对于长期维护的患者,还建立口腔健康档案,提供终身免费咨询服务,让植牙效果得以长期稳定。
相关问答FAQs
问题1:同福医植牙效果能维持多久?需要定期维护吗?
解答:同福医植牙的长期效果与患者口腔维护及身体状况密切相关,在规范使用和定期维护的前提下,高品质种植体的10年成功率可达95%以上,部分患者甚至能维持20-30年,术后需注意口腔卫生,每天使用牙线、冲牙器清洁种植体周围,避免咬硬物(如冰块、螃蟹壳),同时每6个月进行1次专业洁牙和口腔检查,及时发现并处理种植体周围炎等问题,对于患有糖尿病、骨质疏松等全身性疾病的患者,需积极控制原发病,以确保种植体长期稳定。
问题2:哪些人群适合选择同福医植牙?有没有禁忌症?
解答:同福医植牙适用于大多数牙齿缺失患者,包括单颗、多颗牙齿缺失,全口/半口无牙颌患者;牙槽骨条件良好者可通过常规种植即刻修复,骨量不足者可通过植骨、上颌窦提升等技术解决;部分戴用活动假牙不适或希望提升生活质量的患者,也是种植牙的适应人群,禁忌症主要包括:严重未控制的全身性疾病(如心脏病、凝血功能障碍、未控制的糖尿病)、口腔内有急性炎症(如牙周炎、根尖周炎未治疗)、颌骨骨髓炎、严重磨牙症(夜磨牙)、以及对种植体材料过敏者,需通过术前全面检查,由医生评估后确定是否适合种植。

