医大附属口腔正畸作为依托医科大学科研与教学资源的专业诊疗领域,始终以“功能与美学协同”为核心,结合前沿技术与个性化方案,为不同年龄段患者提供牙齿排列、咬合关系及面部轮廓的系统性矫正服务,其专业优势不仅体现在技术设备的先进性,更在于多学科协作的诊疗模式,正畸医师团队常与颌面外科、修复科、牙周科等专家联合会诊,针对复杂病例制定综合性治疗方案,确保矫正效果兼具稳定性与美观度。
在核心技术方面,医大附属口腔正畸全面覆盖传统与现代矫正技术,传统金属托槽矫正以其性价比高、适应症广的特点,成为复杂错颌畸形的首选;陶瓷托槽则通过半透明材质兼顾美观,适合对形象要求较高的青少年及成人患者;自锁托槽技术通过降低摩擦力,缩短矫正周期约20%-30%,同时减少复诊次数;隐形矫正依托3D数字化口扫技术,实现牙齿移动的精准模拟,患者可自行摘戴,方便清洁与饮食,尤其适合职场人群及轻度错颌患者,为提升诊疗精准度,机构引入AI辅助设计系统,通过大数据分析患者骨骼发育趋势、面部软组织形态,结合患者美学需求生成个性化矫正方案,术前即可通过数字化模拟直观呈现矫正效果。

针对不同年龄段人群,医大附属口腔正畸提供差异化服务,儿童及青少年患者(6-14岁)注重早期干预,针对“地包天”“龅牙”“牙列拥挤”等问题,通过功能性矫治器(如MRC、罗慕)引导颌骨正常发育,降低后期正畸难度;成人患者则更关注咬合功能与面部协调性,对伴有牙周病、颞下颌关节紊乱的患者,需先进行牙周治疗或关节调理,再启动正畸程序,确保治疗安全;老年患者以修复前正畸为主,通过少量牙齿移动为种植义齿、修复体创造空间,改善咬合功能。
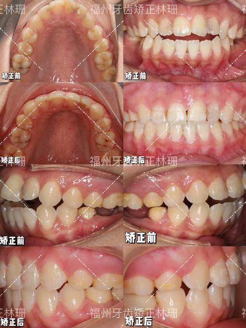
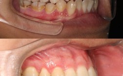
矫正治疗流程标准化且注重患者体验,初诊阶段,通过口腔检查、CBCT影像分析、面部美学测量及数字化口扫获取全面数据,结合患者主诉制定初步方案;方案沟通环节,医师通过3D动画演示牙齿移动路径、治疗周期及预期效果,确保患者充分知情同意;治疗中,每4-6周复诊调整一次,实时监控牙齿移动情况,必要时联合多学科专家会诊;矫正结束后,需佩戴保持器1-2年,前6个月夜间佩戴,之后逐渐减少频率,同时定期复查以防复发。
不同矫治器特点对比:
| 矫治器类型 | 美观度 | 舒适度 | 价格区间(元) | 适用人群 |
|---|---|---|---|---|
| 金属托槽 | 低 | 一般 | 8000-15000 | 复杂错颌 |
| 陶瓷托槽 | 中 | 较好 | 15000-25000 | 青少年/成人 |
| 自锁托槽 | 中 | 好 | 20000-30000 | 周期敏感者 |
| 隐形矫正 | 高 | 好 | 25000-50000 | 轻中度错颌/成人 |
注意事项方面,矫正期间需严格避免食用过硬(坚果、骨头)、过黏(口香糖、年糕)食物,以防托槽脱落;每日使用正畸专用牙刷、牙线间隙刷清洁牙齿,预防龋齿和牙周炎;若出现疼痛加剧、托槽脱落等情况,需及时联系医师处理,切勿自行调整,保持器佩戴是防止复发的关键,患者需严格遵医嘱,定期复查保持效果。

相关问答FAQs
Q1:成年人矫正牙齿有年龄限制吗?会不会比青少年效果差?
A1:成年人矫正无绝对年龄限制,只要牙周健康、无严重骨性畸形均可进行,成年人生长发育已停止,牙槽骨改建速度较青少年慢,因此矫正周期可能延长(通常比青少年多3-6个月),但最终效果与青少年无异,对于严重骨性错颌(如下颌后缩、上颌前突),需通过正畸-正颌联合治疗才能达到理想效果。
Q2:矫正过程中牙齿疼痛正常吗?如何缓解?
A2:矫正初期及每次复诊加力后3-5天,牙齿可能出现轻微酸胀、咀嚼无力,属于正常生理反应,通常可自行缓解,若疼痛剧烈或持续超过一周,可能是托槽摩擦黏膜或牙齿移动异常,可使用正畸蜡覆盖托槽尖锐部位,并及时就诊调整,期间建议食用温凉、软质食物,避免冷热刺激加重不适。

