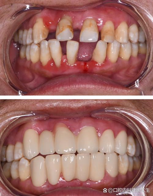
做了烤瓷牙后是否还能进行正畸,是许多有牙齿修复史的人关心的问题,这并非绝对禁忌,但需要结合烤瓷牙的类型、位置、口腔状况以及正畸目标综合评估,具体可行性需由专业正畸医生和修复医生共同判断。
烤瓷牙与正畸的可行性分析
烤瓷牙是一种常见的牙齿修复方式,通过金属内冠(如镍铬、钴铬)或全瓷材料外覆瓷层,恢复牙齿的形态、功能及美观,正畸则是通过矫治器施加力量,移动牙齿位置、调整咬合关系,两者的核心矛盾在于:烤瓷牙作为“外来修复体”,能否承受正畸过程中的移动力量,以及移动是否会影响其稳定性。

单颗烤瓷牙:通常可行,需满足条件
如果烤瓷牙是单颗修复(如前牙缺损或变色修复),且粘接在健康的真牙上,正畸通常是可行的,烤瓷牙会随其下方的真牙一同移动,因为正畸力通过矫治器传递到牙齿,再通过牙槽骨改建实现牙齿位移,但需满足:
- 烤瓷牙粘接良好:无松动、边缘渗漏或继发龋,否则正畸中可能脱落;
- 基牙健康:烤瓷牙下方的真牙牙根稳固、牙周健康,能承受移动力量;
- 位置合理:若烤瓷牙位于需要移动的牙列区域,需设计精确的施力方向,避免对烤瓷牙产生过大扭力。
烤瓷桥:需谨慎评估,多数需拆除
烤瓷桥是两颗及以上烤瓷牙相连的修复体,中间桥体无牙根支撑,依赖两侧基牙固定,这种情况下正畸风险较高:
- 基牙负担过重:正畸移动基牙时,桥体无法随之移动,可能导致基牙松动、脱落;
- 力量传导异常:桥体可能干扰牙齿整体移动,影响正畸效果;
- 修复体损坏:桥体连接处受力易折裂,或粘接剂失效导致桥体脱落。
若存在烤瓷桥,通常建议先拆除桥体,待正畸结束后再根据新的牙列位置重新制作修复体。
多颗烤瓷牙或复杂修复:需个体化方案
若口腔内有多颗烤瓷牙(如前后牙均有修复),或烤瓷牙与种植牙、贴面等修复体并存,需全面评估:
- 移动优先级:明确哪些牙齿需要移动,哪些烤瓷牙可保留(如无需移动的后牙烤瓷牙);
- 生物力学 compatibility:不同修复材料的弹性模量差异可能影响牙齿移动效率,需调整矫治力;
- 咬合协调:正畸后需确保烤瓷牙与邻牙的咬合关系稳定,避免早接触或创伤。
正畸前的关键注意事项
- 全面口腔检查:拍摄X光片(曲面断层片、根尖片)评估牙根情况、牙槽骨密度;用牙周探针检查牙龈深度,判断是否存在牙周炎(牙周炎未控制前禁止正畸)。
- 修复体评估:检查烤瓷牙的边缘密合度、瓷层完整性,必要时进行脱敏处理或重新粘接。
- 方案沟通:与正畸医生明确目标(如排齐、内收、改善咬合),告知修复史,制定“先正畸后修复”或“保留部分修复体”的方案。
- 矫治器选择:隐形牙套(如隐形矫正)力量柔和、易于清洁,可能更适合烤瓷牙患者;传统金属/陶瓷托槽需注意避免烤瓷牙边缘托槽脱落。
不同烤瓷牙类型的正畸处理建议
| 烤瓷牙类型 | 正畸可行性 | 注意事项 | 处理建议 |
|---|---|---|---|
| 单颗烤瓷牙(基牙健康) | 可行 | 监测粘接剂稳定性,避免过大扭力 | 定期复查,调整矫治力方向 |
| 烤瓷桥 | 不可行(多数) | 基牙松动风险高,桥体易损坏 | 拆除桥体,正畸后重新修复 |
| 多颗烤瓷牙(分散分布) | 部分可行 | 明确移动牙齿,保留无需移动的烤瓷牙 | 个体化方案,分区移动,精细调整 |
| 烤瓷牙+牙周病 | 禁止 | 牙周病会加速牙槽骨吸收,正畸加重损伤 | 先治疗牙周病,控制炎症后再正畸 |
相关问答FAQs
Q1:烤瓷牙正畸过程中会脱落吗?如何预防?
A:烤瓷牙脱落的风险与粘接质量、受力大小有关,若烤瓷牙粘接时边缘封闭良好、无继发龋,且正畸中避免咬硬物(如坚果、骨头),脱落概率较低,预防措施包括:正畸前检查烤瓷牙状态,必要时重新粘接;选择隐形牙套减少外力;定期复诊,医生会及时调整矫治器,避免力量集中在烤瓷牙上。

Q2:做了烤瓷牙后正畸,时间会比普通人长吗?
A:可能稍长,烤瓷牙作为修复体,移动速度可能较真牙慢(尤其是金属烤瓷牙的金属内冠会影响牙槽骨改建),且需额外调整咬合关系,确保烤瓷牙与邻牙的接触点紧密,医生通常会延长复诊间隔(如6-8周一次),并延长总治疗时间(可能比普通正畸多3-6个月),以保证效果稳定。

