随着人们对口腔健康和美观需求的提升,成人正畸已不再是青少年的“专利”,越来越多成年人通过矫正牙齿改善口腔问题、提升颜值,成人正畸效果究竟怎么样?矫正效果并非单一因素决定,而是受口腔状况、矫正方案、患者配合度等多重因素影响,总体而言,在专业操作和良好配合下,成人正畸可达到显著的功能改善与美学提升,但需理性看待不同情况下的效果差异。
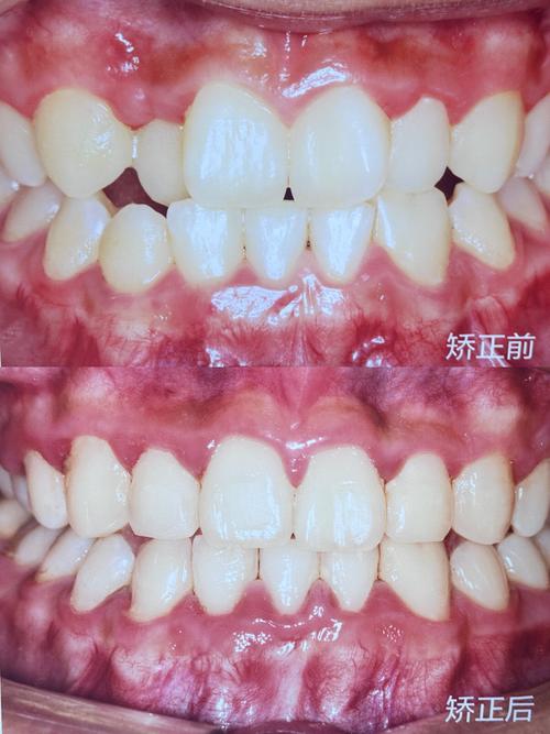
从美观角度看,成人正畸最直观的效果是牙齿排列的整齐化,无论是牙齿拥挤、稀疏,还是龅牙、地包天等问题,通过矫正都能使牙齿排列在牙弓上,形成自然弧度,改善“笑露牙龈”“牙齿外凸”等尴尬情况,对于伴有面部轮廓异常的人群,如因龅牙导致嘴唇前凸、地包天伴随下巴后缩,矫正还能通过牙齿位置的调整间接改善面部侧貌,让笑容更自然自信,面部比例更协调,功能改善是成人正畸的核心价值之一,许多成年人存在咬合紊乱问题,如深覆合(上牙过度覆盖下牙)、深覆盖(龅牙)、反合(地包天)等,这些问题会导致咀嚼效率下降、颞下颌关节(TMJ)负担加重,甚至引发关节弹响、疼痛,矫正通过调整上下牙弓的对应关系,建立稳定的咬合平衡,不仅能提升咀嚼功能,还能缓解关节压力,预防相关疾病,健康层面,牙齿排列整齐后,口腔清洁难度降低,食物残渣不易嵌塞,能有效减少龋齿(蛀牙)和牙周病的发生风险,对于已经存在牙周问题的患者,矫正过程中通过移动牙齿,还能分散咬合力,改善牙周组织受力情况,促进牙周健康恢复。

成人正畸效果的好坏,首先取决于口腔基础条件,成年人的颌骨已停止发育,牙槽骨改建速度较青少年慢,因此对牙周健康要求更高——若存在牙周炎、牙槽骨吸收等问题,需先进行系统牙周治疗,待炎症控制、骨条件稳定后才能启动矫正,否则可能加重牙周损伤,矫正方案的设计至关重要,医生需通过X光片、模型、口扫等全面检查,结合患者的年龄、职业、美观需求等,制定个性化方案,对于轻度拥挤,可通过扩大牙弓或少量磨牙解决;对于严重拥挤或骨性畸形,可能需要拔除部分牙齿为前牙提供空间,或联合正颌手术进行骨性调整,矫正方式的选择也会影响效果和体验:传统金属托槽矫正力度大、适用范围广,但美观性较差;陶瓷托槽兼顾美观与强度;隐形矫正可自行摘戴、方便清洁,但依赖患者配合,且对复杂病例效果有限,患者配合度是决定效果的“隐形关键”,成年人需严格遵循医嘱佩戴矫正器(如隐形矫正的每日22小时以上)、避免啃咬硬物、定期复诊调整,同时加强口腔卫生,使用正畸专用牙刷、牙线等清洁牙面,否则可能引发“龋齿”“牙龈炎”甚至“牙釉质脱矿”,影响矫正进程和最终效果,医生的技术水平和经验不可忽视——精准的方案设计、细致的力控制、对并发症的及时处理,都是保证效果的重要前提。
不同错颌类型的矫正效果存在差异,具体如下(表1):
表1 常见错颌类型的成人正畸效果
| 错颌类型 | 典型表现 | 矫正目标 | 预期效果 |
|----------------|-----------------------------------|-----------------------------------|-----------------------------------|
| 牙列拥挤 | 牙齿排列不齐、重叠、扭转 | 排齐牙齿,建立正常覆合覆盖 | 牙齿整齐,口腔清洁难度降低,咀嚼功能改善 |
| 龅牙(上颌前突) | 上牙前凸,嘴唇闭合困难,侧面观呈“凸面型” | 内收上前牙,改善牙齿突度 | 牙齿位置后移,嘴唇自然闭合,侧貌更协调 |
| 地包天(反合) | 下牙覆盖上牙,可能伴随下巴前伸或后缩 | 纠正上下牙位置关系,建立正常咬合 | 咬合功能恢复,面部侧貌改善(如下巴前缩者可能更显突出) |
| 深覆合 | 上牙过度覆盖下牙,甚至下牙咬伤上牙龈 | 打开咬合,解除牙齿创伤 | 上下牙接触点调整,避免牙龈损伤,咀嚼更舒适 |
| 开合 | 上下牙无法咬合,存在垂直间隙 | 关闭间隙,建立咬合平面 | 改善发音,咀嚼效率提升 |
注:对于严重的骨性错颌(如下颌后缩、上颌前突),单纯正畸效果有限,需联合正颌手术进行骨性调整,才能达到理想的美学与功能效果。
成人正畸要想达到理想效果,需注意以下几点:一是术前全面评估,除了常规口腔检查,还需拍摄曲面断层片、头颅侧位片等,排查颞下颌关节问题、埋伏牙等潜在风险,必要时进行牙周治疗或根管治疗;二是矫正过程中保持耐心,成人矫正周期通常为1.5-3年,比青少年略长,需定期复诊(一般4-6周一次),医生会根据牙齿移动情况调整矫正力度;三是重视口腔卫生,矫正期间牙面易附着食物残渣,若清洁不当会导致“白斑”(牙釉质脱矿)甚至龋齿,建议使用正畸专用牙刷、冲牙器,配合牙线清洁牙缝;四是矫正结束后严格保持,牙齿有回归原位的趋势,需全天佩戴保持器6-12个月,之后夜间长期佩戴,避免复发。

相关问答FAQs
Q1:成年人矫正牙齿会比青少年慢很多吗?
A:成年人矫正周期通常比青少年略长,主要原因是成年人的牙槽骨改建速度较慢,牙齿移动效率相对较低,且可能存在牙周健康、口腔习惯等问题,需要额外时间处理,但若口腔条件良好、配合度高,矫正周期与青少年差异不大(一般1.5-3年),且成年人配合度更高,能更好地执行医嘱,反而有利于效果的稳定。
Q2:矫正后牙齿会反弹吗?如何避免?
A:牙齿矫正后存在反弹风险,尤其是矫正结束后未佩戴保持器、口腔卫生不良、新习惯(如咬唇、吐舌)未纠正等,为避免反弹,需做到:①严格佩戴保持器(遵医嘱全天或夜间佩戴,至少6-12个月,之后长期夜间佩戴);②保持良好口腔卫生,避免牙龈炎、牙周炎导致牙齿移位;③纠正不良口腔习惯,如咬硬物、咬唇等;④定期复查,医生会通过检查判断牙齿稳定性,及时调整保持方案。

