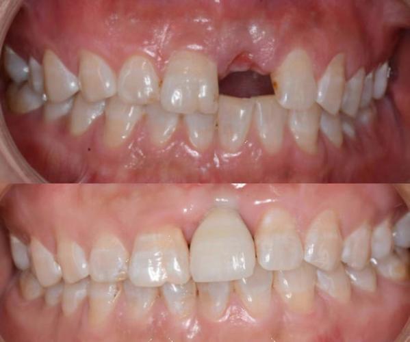
尖牙(犬齿)先天缺失是较为常见的牙齿发育异常问题,位于口腔中非常重要的位置(口角处),对咀嚼、发音和面部美观都有显著影响。正畸治疗后进行种植修复是处理尖牙缺失最理想、最功能化的方案之一。 这种综合治疗需要正畸医生和种植医生紧密协作。
以下是关于“尖牙先天缺失正畸后种植”的详细说明:

🦷 一、为什么尖牙缺失需要积极处理?
- 美观影响: 尖牙位于口角处,是支撑口角轮廓、维持“年轻面容”的关键牙齿,缺失后会导致口角塌陷、面中部显老、笑容不自然。
- 功能影响: 尖牙具有强大的撕裂和穿刺食物的能力,在咀嚼中扮演重要角色,缺失会影响咀嚼效率。
- 邻牙移位: 缺失间隙会导致邻牙(侧切牙和第一前磨牙)向缺隙倾斜、移位,造成咬合紊乱、牙列不齐。
- 对颌牙伸长: 下颌对应位置的尖牙(如果存在)会无约束地向伸长,导致咬合干扰、创伤、颞下颌关节问题。
- 牙周健康风险: 邻牙移位后,容易形成食物嵌塞,增加邻牙患龋和牙周病的风险。
⚙️ 二、治疗的核心思路:正畸 + 种植
🦷 (一) 正畸治疗阶段的目标
- 关闭间隙或为种植创造理想空间:
- 方案一(关闭间隙): 这是最常见的方案,通过正畸移动邻牙(侧切牙和第一前磨牙)向中间靠拢,完全关闭尖牙缺失的间隙,这需要邻牙有足够的移动空间和牙根条件。
- 优点: 避免了种植手术,减少了治疗环节和费用。
- 缺点: 侧切牙需要替代尖牙的功能和形态,可能需要后续修复(如贴面、冠)来改善美观和功能;邻牙移动可能较慢;需要评估邻牙牙根形态是否适合替代尖牙位置。
- 方案二(保留间隙,为种植做准备): 这是为种植修复做准备的方案,正畸的目标是:
- 集中间隙: 将缺失尖牙的间隙集中到理想位置(通常在侧切牙和第一前磨牙之间)。
- 间隙大小: 间隙大小应与计划种植的尖牙牙冠的近远中径相匹配(通常需要7-8mm左右,具体需由种植医生评估)。
- 间隙位置: 间隙应位于牙弓的弧线上,位置合适,便于种植体植入和后期修复。
- 牙轴控制: 确保缺隙两侧的牙齿(侧切牙和第一前磨牙)牙根直立,没有过度倾斜或扭转,为种植体植入创造良好的骨条件和空间。
- 排齐整平: 确保所有牙齿排列整齐,咬合关系稳定。
- 压低伸长的对颌牙(如果需要): 如果下颌尖牙伸长,需要将其压低至与上颌牙列有合适的咬合关系。
- 方案一(关闭间隙): 这是最常见的方案,通过正畸移动邻牙(侧切牙和第一前磨牙)向中间靠拢,完全关闭尖牙缺失的间隙,这需要邻牙有足够的移动空间和牙根条件。
🦷 (二) 种植修复阶段
- 时机选择:
- 关键: 必须在骨骼发育完全后进行,通常建议女性>18岁,男性>20岁,过早种植可能影响颌骨发育,导致种植体位置异常或失败。
- 正畸稳定后: 在正畸治疗结束,保持器佩戴一段时间(通常3-6个月或更长,具体由正畸医生评估)后,确保牙齿位置稳定,再进行种植手术,这有助于评估最终间隙的稳定性和位置。
- 种植手术:
- 评估: 种植医生会通过临床检查、CBCT(锥形束CT)等详细评估缺牙区的骨量(宽度、高度、密度)、骨皮质厚度、邻牙牙根位置、神经血管位置等。
- 骨增量(如需要): 如果骨量不足(宽度或高度不够),可能需要进行骨增量手术,如引导骨再生、骨劈开、骨移植等,为种植体提供足够的骨支持,这是尖牙种植中常见的步骤。
- 种植体植入: 在精确规划的位点、角度和深度植入种植体(人工牙根),尖牙位置对种植体的三维位置要求很高。
- 愈合与骨结合:
种植体植入后需要3-6个月的时间(有时更长,尤其涉及骨增量时),让种植体与周围的牙槽骨紧密结合(骨结合)。
- 修复阶段:
- 基台连接: 骨结合完成后,连接愈合基台或取模基台。
- 牙冠制作与戴入: 制作并戴入个性化的全瓷或烤瓷牙冠,形态、颜色、大小需与邻牙协调,特别是要模拟尖牙的“牙尖”形态,以恢复功能和美观。
📌 三、治疗流程总结
- 全面评估: 正畸医生和种植医生共同会诊,检查模型、X光片(全景片、头颅侧位片、CBCT),分析尖牙缺失的原因、间隙情况、邻牙牙根、骨条件、咬合关系、面部美观等,确定治疗方案(关闭间隙 vs. 种植)。
- 正畸治疗:
- 方案一(关闭间隙):进行全面的固定矫治,移动邻牙关闭间隙,可能需要后期修复改善侧切牙形态。
- 方案二(为种植准备):进行全面的固定矫治,集中并控制间隙,排齐整平牙列,稳定咬合。
- 保持阶段: 正畸结束后佩戴保持器,维持牙齿位置稳定。
- 种植前评估: 种植医生再次评估(尤其CBCT),确认骨条件、间隙位置是否满足种植要求。
- 种植手术(如需要骨增量则先进行): 植入种植体。
- 骨结合期: 等待骨结合完成(3-6个月或更长)。
- 修复: 连接基台,制作并戴入牙冠。
- 长期维护: 定期复查(种植体周围炎预防)、专业洁牙、良好口腔卫生维护。
⚠ 四、关键注意事项和挑战
- 多学科协作至关重要: 正畸医生和种植医生需要密切沟通,制定整体计划,并在治疗过程中不断协调。
- 骨条件是关键: 尖牙区骨量不足是常见问题,骨增量手术的成功率和技术要求较高,需由经验丰富的医生操作。
- 邻牙牙根位置: 正畸阶段需精确控制邻牙牙根,避免其进入计划种植的区域,否则会阻挡种植体植入或增加风险。
- 美学要求极高: 尖牙位于“美学区”,牙冠的颜色、形态、位置、牙龈形态的美学修复要求非常高,需要技术精湛的修复医生和技师。
- 治疗周期长: 整个正畸+种植的过程通常需要2-4年甚至更长时间,患者需要有充分的耐心和依从性。
- 费用较高: 正畸、种植、骨增量、修复等环节费用不菲。
- 长期维护: 种植体周围炎是种植修复失败的主要原因,需要患者终身维护良好的口腔卫生,并定期进行专业复查和维护。
对于尖牙先天缺失的患者,正畸治疗后进行种植修复是恢复最佳功能和美观效果的金标准方案,虽然治疗周期长、费用高、技术要求高,但能够最大程度地模拟天然尖牙的功能和外观,避免邻牙移位和对颌牙伸长带来的系列问题,为患者提供长期稳定的咀嚼功能和自信的笑容。
强烈建议寻求经验丰富的正畸医生和种植医生进行联合会诊,制定个性化的治疗方案。 在治疗过程中,患者的配合(尤其是保持口腔卫生、按时复诊)是治疗成功的重要保障。💪🏻

