种牙后出现牙肿是临床上较为常见的术后反应,多数情况下属于身体对创伤的正常应激反应,但也可能是感染、创伤或其他异常情况的信号,需结合肿胀程度、伴随症状及发生时间综合判断。
种牙后肿胀的常见原因及应对措施
正常术后反应:组织创伤修复的生理过程
种植牙手术需切开牙龈、剥离骨膜、在牙槽骨内制备窝洞并植入植体,这一过程会对软硬组织造成创伤,引发局部炎症反应,表现为轻微肿胀、疼痛、淤青等。

- 发生时间:通常术后1-3小时内开始出现,24-72小时达到高峰,5-7天逐渐消退。
- 症状特点:肿胀局限在手术区域,皮肤温度略高,无剧烈疼痛(或遵医嘱服用止痛药后可缓解),无脓性分泌物或全身发热。
- 处理方法:
- 冷敷:术后24小时内用冰袋(包裹毛巾)冷敷术区面部,每次15-20分钟,间隔1-2小时,可收缩血管减少渗出。
- 热敷:术后72小时后改为热敷,促进局部血液循环,加速肿胀消退。
- 药物辅助:遵医嘱服用非甾体抗炎药(如布洛芬)或抗生素(预防感染),避免擅自用药。
- 饮食护理:术后24小时内进食温凉流质(如酸奶、米汤),避免过热、辛辣食物,减少对术区的刺激。
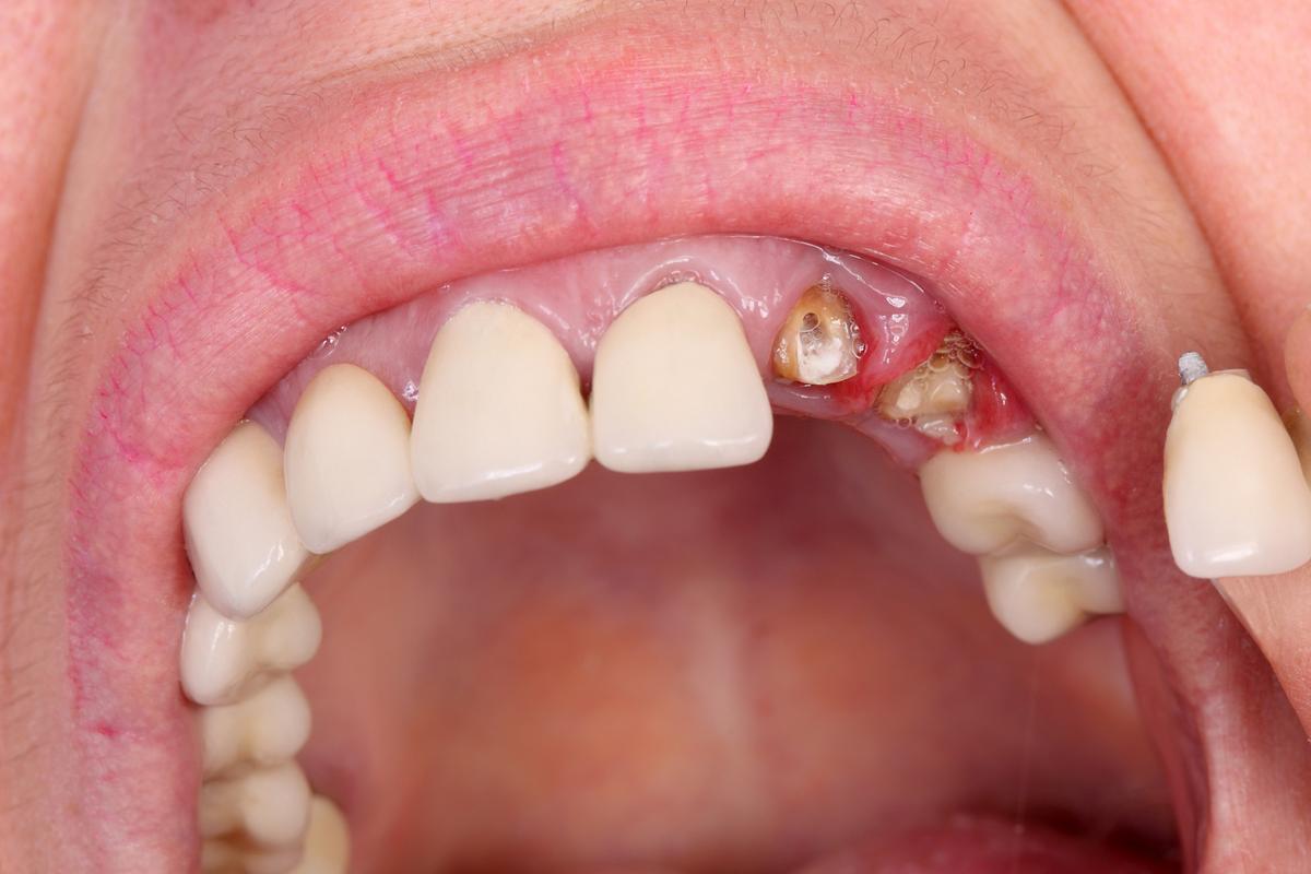
感染相关因素:需警惕的异常信号
若肿胀持续加重或出现伴随症状,可能与感染有关,常见原因包括术中无菌操作不严格、术后口腔卫生不佳、植体污染或自身免疫力低下等。
- 发生时间:术后3-5天仍无缓解,或肿胀消退后再次出现。
- 症状特点:肿胀范围扩大,皮肤发红、皮温升高,出现搏动性疼痛(跳痛),口腔内有脓性分泌物,伴口臭、发热、张口受限等全身症状。
- 处理方法:
- 及时复诊:医生会通过临床检查(探诊、叩诊)及影像学检查(如X光片)判断感染程度,必要时进行分泌物细菌培养。
- 抗感染治疗:根据感染类型选择敏感抗生素(如阿莫西林、甲硝唑),若形成脓肿需切开引流。
- 口腔卫生强化:使用含氯己定的漱口水(如复方氯己定含漱液)每日3-5次,避免刷牙触碰术区,防止细菌扩散。
创伤性因素:手术操作或术后护理不当
手术过程中若器械使用不当(如钻头转速过高、产热过多)、植体植入位置不佳,或术后过早用患侧咀嚼、咬硬物,可能导致局部软组织挫伤或植体周围创伤,引发肿胀。
- 症状特点:肿胀伴明显咬合痛,植体可能有轻微松动,张口时疼痛加剧。
- 处理方法:
- 调整咬合:医生会调改咬合高点,避免患侧过早受力,必要时暂时佩戴临时修复体。
- 药物干预:遵医嘱服用消肿、止痛药物(如地奥司明片、塞来昔布),减少炎症反应。
- 避免创伤:术后1个月内勿用患侧咀嚼,避免吸烟、饮酒等刺激性行为。
牙槽骨问题:植体与骨结合不良
若患者牙槽骨条件较差(如骨量不足、骨质疏松),或植体植入时对骨组织损伤过大,可能导致植体周围骨吸收或炎症反应,表现为长期肿胀、咀嚼无力。
- 症状特点:肿胀持续时间超过2周,植体稳定性下降,X光片可见植体周围透射影(骨破坏)。
- 处理方法:
- 影像学评估:通过CBCT(锥形束CT)检查植体周围骨情况,判断是否需要植骨或调整植体位置。
- 修复方案调整:若骨结合不良,可能需取出植体,待骨愈合后重新种植。
正常肿胀与异常肿胀的鉴别要点
为帮助患者自我判断,可通过下表对比正常术后反应与异常肿胀的区别:

| 鉴别指标 | 正常术后反应 | 异常肿胀(需警惕) |
|---|---|---|
| 发生时间 | 术后1-3天出现,5-7天消退 | 术后3天无缓解,或消退后再次肿胀 |
| 肿胀程度 | 轻度至中度,局限术区 | 重度,范围扩散至面部其他区域 |
| 疼痛性质 | 轻微胀痛,止痛药可缓解 | 剧烈跳痛,止痛药效果不佳 |
| 伴随症状 | 皮肤微温,无分泌物或发热 | 皮肤发红、发热,脓性分泌物、发热 |
| 处理效果 | 冷敷、热敷后逐渐减轻 | 局部护理后无改善或加重 |
相关问答FAQs
问题1:种牙后肿胀一直不消退,超过10天了,正常吗?
解答:正常情况下,种牙后肿胀应在7-10天内逐渐消退,若超过10天仍无缓解,或肿胀消退后再次出现,需警惕感染、植体周围炎或牙槽骨问题,建议及时复诊,医生通过临床检查和影像学检查(如X光片、CBCT)明确原因,可能需要进行抗感染治疗、调整咬合或二次手术(如植骨)。
问题2:种牙后肿胀可以热敷吗?什么时候开始热敷合适?
解答:热敷需根据术后时间判断:术后24小时内应冷敷,可收缩血管减少渗出;24小时后若无感染迹象(如无红、肿、热、痛加剧),可改为热敷,促进局部血液循环,帮助消肿,热敷时用温热毛巾(40-50℃)敷于术区面部,每次20-30分钟,每天3-4次,避免温度过高烫伤皮肤,若肿胀伴发热、跳痛等感染症状,需先就医,避免热敷加重炎症扩散。

