牙齿拥挤是口腔中常见的牙齿排列问题,主要指牙弓内牙齿数量过多或牙弓空间不足,导致牙齿错位、重叠、扭转等情况,不仅影响美观,还可能引发一系列口腔健康问题,面对牙齿拥挤,很多人会纠结是否需要矫正,其实这需要结合拥挤程度、对口腔功能及健康的影响综合判断。
牙齿拥挤的形成通常与多种因素有关,遗传因素是主要原因之一,如果父母存在牙齿拥挤,子女出现的概率会显著增加,替牙期障碍也可能导致拥挤,例如乳牙早失、乳牙滞留或恒牙萌出顺序异常,都会造成牙弓空间不足,使得恒牙没有足够位置正常排列,不良口腔习惯,如长期吮指、咬唇、口呼吸等,也会影响颌骨发育,导致牙弓狭窄或长度不足,进而引发牙齿拥挤。

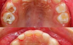
牙齿拥挤的危害不容忽视,从美观角度看,拥挤的牙齿会影响面部笑容,甚至可能导致面部肌肉紧张,影响整体气质,从口腔健康角度分析,拥挤的牙齿排列不齐,清洁难度大,容易形成卫生死角,食物残渣和细菌堆积,久而久之可能引发龋齿、牙龈炎、牙周炎等问题,长期严重的拥挤还可能导致咬合紊乱,使咀嚼效率下降,增加颞下颌关节负担,引发关节疼痛、弹响等不适,甚至影响消化功能。
牙齿拥挤是否需要矫正呢?这需要根据具体情况判断,轻度拥挤若不影响口腔功能、美观及健康,可通过定期口腔检查、保持良好口腔习惯观察;但中重度拥挤,或已出现龋齿、牙周病、咬合问题等情况时,牙齿矫正则是必要的治疗手段。
牙齿矫正的技术已相当成熟,主要方法包括传统金属托槽矫正、陶瓷托槽矫正、自锁托槽矫正以及隐形矫正等,不同方法各有优缺点,适合不同人群的需求,传统金属托槽矫正性价比高,适用范围广,但美观性较差;陶瓷托槽颜色接近牙齿,美观度提升,但强度相对较低;自锁托槽摩擦力小,可缩短矫正时间,复诊间隔延长,舒适度较高;隐形矫正则完全透明,可自行摘戴,美观度和便捷性最佳,但对患者的自律性要求较高,且适用于轻度至中度拥挤。
以下是常见矫正方法的对比:

| 矫正方法 | 优点 | 缺点 | 适合人群 |
|---|---|---|---|
| 传统金属托槽 | 性价比高,适用范围广 | 美观性差,易刮嘴 | 各类拥挤患者,尤其是青少年 |
| 陶瓷托槽 | 美观度高,强度适中 | 价格较高,易染色 | 对美观有要求的患者 |
| 自锁托槽 | 摩擦力小,矫正时间短,舒适度高 | 价格较高,技术要求高 | 时间紧张,追求舒适度的患者 |
| 隐形矫正 | 完全透明,可摘戴,美观便捷 | 价格高,需自律,适用范围有限 | 轻中度拥挤,成年人及青少年 |
牙齿矫正的流程通常包括初诊检查、方案设计、戴牙套、定期复诊、保持器佩戴等阶段,初诊时,医生会通过口腔检查、X光片、取模等方式评估拥挤程度及口腔状况,制定个性化矫正方案,戴牙套后,需定期复诊调整力度,确保牙齿按计划移动,矫正完成后,需佩戴保持器2年以上,部分患者甚至需终身佩戴,以防止复发。
需要注意的是,牙齿矫正并非一蹴而就的过程,通常需要1-3年时间,期间需保持良好的口腔卫生,避免食用过硬、黏性食物,并严格遵循医生指导,对于成年人而言,矫正效果与青少年无异,但骨改建速度较慢,矫正时间可能稍长,且需关注牙周健康状况,确保在安全的前提下进行矫正。
牙齿拥挤是否需要矫正,需结合拥挤程度、对口腔功能及健康的影响综合判断,中重度拥挤或已出现相关问题时,应及时进行矫正,以改善口腔健康、提升生活质量,选择合适的矫正方法,配合医生治疗,才能达到理想的矫正效果。
相关问答FAQs

Q:牙齿拥挤不矫正,只是注意清洁,会有什么后果?
A:轻度拥挤若未影响咬合和口腔健康,注意清洁可暂时观察,但中重度拥挤仅靠清洁无法解决根本问题,拥挤会导致刷牙死角增多,食物残渣易堆积,即使认真清洁也难以彻底清洁,长期可能引发龋齿、牙龈炎、牙周炎;咬合紊乱可能加重颞下颌关节负担,导致关节疼痛、弹响,甚至影响咀嚼功能和消化健康,若拥挤已引发这些问题,矫正仍是必要的。
Q:成年人矫正牙齿,会不会有年龄限制?效果比青少年差吗?
A:成年人矫正没有绝对年龄限制,只要牙周健康、无严重骨性畸形即可进行,成年人的骨改建速度较青少年慢,矫正时间可能稍长(通常1.5-3年),但只要方案设计合理、配合治疗,矫正效果与青少年无异,成年患者自律性较高,对美观需求更明确,反而可能获得更稳定的矫正效果,若存在牙周炎等牙周问题,需先控制牙周炎症再开始矫正。
