牙齿色素沉积是指牙齿表面或牙体组织内出现的外源性或内源性色素异常沉着,表现为牙齿局部或整体出现黄色、棕色、黑色等颜色改变,不仅影响美观,还可能伴随口腔卫生问题,而正畸治疗(俗称“戴牙套”)过程中,由于牙齿移动、附件粘贴及口腔环境变化,牙齿色素沉积的风险显著增加,成为正畸患者常见的口腔问题之一,本文将详细分析牙齿色素沉积与正畸的关系、成因、预防措施及处理方法,帮助正畸患者更好地维护口腔健康与美观。
牙齿色素沉积的成因:正畸患者的“双重风险”
牙齿色素沉积可分为外源性与内源性两大类,而正畸治疗主要通过影响外源性色素沉积,间接增加内源性风险(如牙釉质脱矿后色素更容易渗透)。

(一)外源性色素沉积:正畸的“催化剂”
外源性色素主要来自饮食、吸烟、口腔卫生习惯等,正畸过程中,以下因素会显著加剧色素沉积:
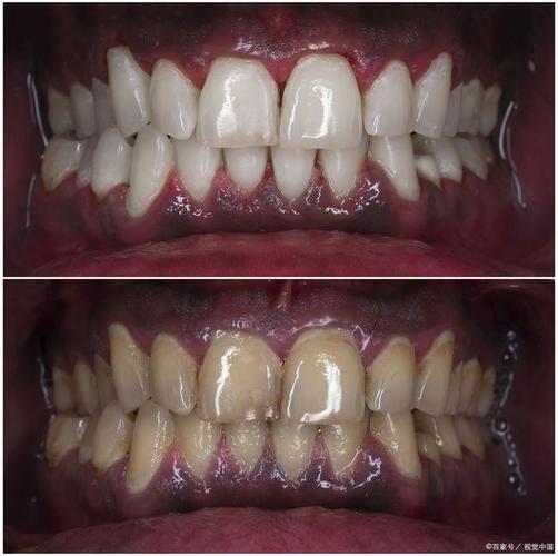
- 托槽附件的“清洁盲区”:正畸托槽、弓丝等附件粘贴在牙齿表面,会形成“托槽-牙齿”“弓丝-托槽”等清洁死角,食物残渣、软垢容易在此堆积,进而形成菌斑生物膜,色素(如茶渍、咖啡渍、酱油中的鞣质、茶多酚等)会吸附在菌斑表面,逐渐钙化沉积,形成难以清除的色素斑块,研究显示,正畸患者托槽周围色素沉积发生率可达40%-60%,显著高于非正畸人群。
- 口腔卫生维护难度增加:戴牙套后,普通牙刷难以彻底清洁牙齿表面及邻面,部分患者因清洁不便而减少刷牙次数或时间,导致菌斑堆积,为色素沉积提供“温床”。
- 饮食结构与频率改变:正畸期间,患者常选择较软、易咀嚼的食物(如粥、面条、甜食),这些食物易黏附在牙齿表面;部分患者因口腔不适而频繁进食(如喝酸性饮料、吃零食),延长了食物与牙齿的接触时间,增加色素附着风险。
- 附件材质的吸附作用:金属托槽、结扎丝(尤其是钢丝)的表面可能存在微小孔隙,易吸附色素;陶瓷托槽虽美观,但质地较脆,若表面粗糙,也可能增加色素黏附。
(二)内源性色素沉积:正畸的“间接影响”
内源性色素沉积多与牙体结构异常或系统性疾病有关,正畸治疗本身不直接导致内源性色素,但可能通过以下方式间接增加风险:
- 牙釉质脱矿后色素渗透:正畸过程中,若口腔卫生不佳,菌斑产酸会腐蚀牙釉质,形成“白斑”(早期龋齿),脱矿的牙釉质表面多孔,更容易吸收外源性色素,久而久之白斑变为褐色或棕色,形成“色素性脱矿斑”。
- 牙根吸收后的牙本质暴露:部分正畸患者存在牙根吸收(尤其是移动幅度较大的牙齿),牙本质小管暴露,而牙本质对色素的渗透性高于牙釉质,可能导致牙齿内部色素沉着(如四环素牙、氟斑牙患者正畸后色素加重)。
正畸患者牙齿色素沉积的预防:关键在于“阻断链条”
正畸期间预防色素沉积,需围绕“减少菌斑、控制饮食、强化清洁”三大核心,具体措施如下:
(一)口腔清洁:从“被动清洁”到“主动维护”
-
工具升级:选择正畸专用清洁工具
(图片来源网络,侵删)- 正畸牙刷:选用V形或U形刷毛的牙刷,刷毛中间凹槽可贴合托槽,两端刷毛能清洁牙齿表面及邻面;
- 牙缝刷/冲牙器:牙缝刷可清洁托槽与牙龈之间的缝隙,冲牙器通过高压水流冲走食物残渣,建议每日使用1-2次(餐后);
- 正畸蜡:若托槽、弓丝刮伤口腔黏膜,可使用正畸蜡覆盖附件,减少刺激的同时避免局部清洁死角。
-
清洁方法:掌握“巴氏刷牙法+细节强化”
- 每日刷牙至少3次(三餐后),每次3分钟,采用巴氏刷牙法(刷毛与牙齿呈45°角,小幅度水平震颤);
- 清洁托槽周围时,将刷毛对准托槽与牙齿的边缘,轻柔上下刷动,避免用力过猛损伤牙釉质;
- 邻面清洁使用牙线或牙线棒,穿过弓丝下方,紧贴牙齿侧面“C”形刮擦,去除邻面菌斑。
(二)饮食控制:减少“色素源+酸性刺激”
- 限制高色素食物:避免咖啡、浓茶、红酒、酱油、咖喱、巧克力等易染色的食物,若食用需及时漱口或刷牙;
- 减少高糖、酸性食物:碳酸饮料、果汁、糖果等易产酸,腐蚀牙釉质,增加脱矿风险,建议用吸管饮用,并减少食用频率;
- 增加“自洁”食物:如苹果、胡萝卜、芹菜等富含纤维的食物,咀嚼时可摩擦牙齿表面,减少色素堆积。
(三)定期专业维护:正畸患者的“口腔体检”
- 定期洁治(洗牙):正畸期间每3-6个月进行一次专业洁治,通过超声波洁治、喷砂等方式清除托槽周围的菌斑与色素沉积(注意:正畸洁治需使用专用器械,避免损伤托槽及牙釉质);
- 脱矿早期干预:若发现牙釉质白斑,可遵医嘱使用含氟牙膏(如含氟化钠、氟化亚锡)、氟保护漆等,促进再矿化,阻止色素渗透。
(四)正畸附件选择:兼顾功能与美观
- 优先选择光滑度高的陶瓷托槽或自锁托槽(减少菌斑附着);金属托槽可选择表面光滑的进口材质,降低色素吸附风险;
- 避免使用易染色的结扎圈(如彩色橡皮圈),改用金属结扎丝或自锁托槽的夹子。
正畸后牙齿色素沉积的处理:分级管理,科学改善
若正畸结束后已出现色素沉积,需根据沉积程度选择合适处理方法,以下是常见方法的对比与适用情况:
| 处理方法 | 适用情况 | 优点 | 缺点/注意事项 |
|---|---|---|---|
| 洁治+喷砂 | 轻度外源性色素沉积(表面茶渍、烟渍) | 无创、快速恢复牙齿光泽,保护牙釉质 | 对深层色素(如脱矿斑渗透)效果有限 |
| 冷光美白 | 中度色素沉积,整体牙齿发黄 | 见效快(1次治疗30-60分钟),美白效果显著 | 可能导致牙齿敏感(术后需脱敏),需避免美白后立即摄入色素食物 |
| 家庭美白 | 轻中度色素,维持冷光美白效果 | 便捷(可在家自行佩戴牙套),价格较低 | 疗程长(需2-4周),效果较冷光慢 |
| 树脂修复 | 重度色素沉积或伴随牙釉质缺损 | 可精确修复形态与颜色,遮盖效果强 | 需磨除少量牙体,可能脱落,需定期更换 |
| 微研磨 | 表层轻微色素、釉质粗糙 | 无创,改善牙齿光滑度,减少色素附着 | 仅适用于釉质完整者,过度使用损伤牙釉质 |
(一)轻度沉积:首选无创清洁
对于托槽周围残留的少量色素,或牙齿表面整体轻微发黄,可通过专业洁治(超声波洁治)+喷砂(用碳酸钠粉高压喷洗)去除,此方法不损伤牙釉质,适合正畸刚结束、牙体较敏感的患者。
(二)中度沉积:美白+脱矿干预
若色素已渗透至牙釉质深层(如白斑变为褐色),或牙齿整体颜色发黄,需结合冷光美白与脱矿治疗,冷光美白通过过氧化氢等美白剂渗透牙釉质,分解色素分子;同时使用含氟牙膏修复脱矿,防止色素再次沉积,注意:美白后需严格避免饮食色素,并使用抗敏感牙膏。

(三)重度沉积:修复+美学重建
对于大面积色素沉积、牙釉质缺损或伴随牙体形态异常(如托槽周围龋坏),需进行树脂修复:磨除色素及缺损部分,用树脂材料恢复牙齿形态与颜色,必要时配合全瓷贴面(对于前牙美学要求高者)。
正畸与色素沉积,“防”大于“治”
牙齿色素沉积是正畸治疗中常见的并发症,但通过科学的口腔清洁、饮食控制、定期专业维护及合理的附件选择,可有效降低风险,正畸患者需树立“预防为主”的理念,将口腔护理融入日常生活,避免因小失大——一旦出现色素沉积,应及时就医,根据具体情况选择合适的处理方法,才能在拥有整齐牙齿的同时,拥有一口健康洁白的笑容。
相关问答FAQs
Q1:正畸结束后牙齿上有白斑和褐色斑点,是色素沉积吗?需要处理吗?
A:正畸后的白斑多为早期釉质脱矿(牙釉质脱钙),若未及时干预,色素会渗入脱矿区域形成褐色斑点,属于“色素性脱矿”,轻度白斑可通过含氟牙膏、氟保护漆再矿化;若已形成褐色斑点,需进行冷光美白或树脂修复,同时加强口腔清洁,阻止进一步发展。
Q2:正畸期间可以用美白牙膏吗?会不会损伤托槽?
A:正畸期间可使用含美白成分(如硅石、HAP)的美白牙膏,但需选择温和型(避免颗粒粗糙),且需配合正确刷牙方法(避免用力摩擦托槽),美白牙膏主要针对表面色素,对深层沉积效果有限,且无法替代专业洁治与美白,若托槽为陶瓷材质,需避免含过氧化物的高效美白牙膏(可能腐蚀托槽表面),建议咨询正畸医生后选择。
