去年春天,我因为一次意外磕掉了右下颌的第一磨牙,当时想着“反正后面还有牙”,就一直拖着没管,结果半年后,不仅邻牙开始松动,连吃饭都成了问题——稍微硬一点的坚果、排骨咬下去就疼,有时候还会塞牙,漱口时能看到血丝,直到被朋友拉着去看牙医,才被告知“缺牙处牙槽骨已经开始吸收,再拖下去可能要影响旁边的健康牙”,那一刻我才意识到,这颗牙非种不可。
种牙前的“纠结”:从恐惧到下定决心
其实我对种牙一直很害怕,总在网上看到有人说“种牙疼”“恢复慢”,甚至有人把种牙形容成“在牙槽骨上打钢钉”,第一次面诊时,我紧张得手心冒汗,攥着病历本的手都在抖,接诊的王医生很耐心,先让我拍了CBCT(三维口腔CT),屏幕上清晰地看到缺牙处的牙槽骨高度和密度,然后拿出牙齿模型给我讲解:“你的骨量还可以,不需要植骨,种植体选亲水表面的,愈合速度能快一些,手术大概40分钟,打麻药后基本没感觉,术后吃三天消炎药就行。”

回家后我纠结了整整一周,又查了很多资料,还加了几个种牙患者的群,群里有个姐姐说:“我种了三颗牙,现在啃苹果、吃火锅都没问题,早种早享受,别像我一样拖到牙槽骨萎缩才后悔。”这句话让我下定决心——与其每天小心翼翼吃饭,不如勇敢一次。
种牙当天:原来“打钢钉”没那么可怕
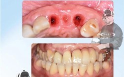
手术那天,我提前半小时到了医院,护士先让我漱口,然后在手背上扎留置针(方便术中输液),王医生和助手再次确认了方案,给我打麻药时,针头刚扎进去我就紧张地闭上了眼,结果医生笑着说:“还没打呢,这是酒精消毒。”麻药是慢推的,能感觉到嘴唇和脸颊慢慢发木,但全程真的不疼,只听到医生和助手在说“钻头深度够了”“种植体植入顺利”,偶尔能闻到一点骨屑的味道(像刚钻木头时的味道),手术比我想象中快得多,大概40分钟就结束了,医生让我照镜子,看到缺牙的地方多了一个小小的“螺帽”,牙龈上还有个缝线的小口,但完全不肿。
术后护士给我拿了冰袋,教我怎么敷(每次15分钟,间隔10分钟),还开了消炎药和止痛药,叮嘱我24小时内不能刷牙、不能漱口,怕把血块冲掉;第二天开始用温盐水轻轻漱口,吃温凉的食物,比如粥、酸奶、蒸蛋;一周后拆线,回家的路上,麻药劲儿过了,有点轻微的胀痛,但能忍受,吃了止痛药睡了一觉,醒来就好多了。
种牙后:从“小心翼翼”到“放心大吃”
拆线后,就进入了“骨结合期”——种植体要和牙槽骨长在一起,医生说这个阶段最关键,要戒烟戒酒(我不抽烟,只是偶尔喝酒,那段时间完全没碰),别吃太硬的东西,避免种植体受力过大,大概等了3个月,复查时拍CT看到骨结合得很好,就进入了戴牙冠的环节。

取模有点麻烦,医生往我嘴里塞了一个类似“牙套”的东西,让我咬5分钟,然后说“等模型做好再来”,第二次去试戴牙冠时,医生把牙冠装在种植体上,让我咬咬纸,调整咬合,最后用螺丝固定好,当我看到镜子里那颗和旁边牙齿一模一样的牙时,激动得差点哭出来——它不仅颜色、形状和真牙一样,摸起来也光滑细腻,完全看不出来是假的。
现在戴牙冠已经半年了,每天早上刷牙时都会特意刷刷它,用牙线清洁缝隙,吃火锅、啃排骨、嚼坚果,完全没压力,有时候甚至忘了自己种过牙,前几天去复查,医生说牙周很健康,牙冠和种植体结合得很好,让我一年后再来复查。
给想种牙的你:这几点一定要记住
这半年多的种牙经历,让我彻底改变了“种牙可怕”的印象,如果你也正在犹豫,想分享几点心得:
-
选医院和医生比选“进口/国产”更重要:我对比了三家医院,最后选了有种植资质的口腔医院,主刀医生有10年种植经验,手术时全程稳稳当当,操作很熟练,别只听信广告说“进口种植体100年寿命”,医生的技术和术后维护才是决定种牙效果的关键。
(图片来源网络,侵删) -
别怕检查,CT是“透视眼”:种牙前一定要拍CBCT,它能清晰显示牙槽骨的情况,比如骨量够不够、有没有神经血管,医生才能制定最适合你的方案,我邻床有个阿姨,因为没拍CT,直接种导致神经受损,半边脸都麻了,所以千万别省这一步。
-
术后护理比手术本身更重要:骨结合期别偷吃硬的,我有个朋友忍不住吃了口坚果,导致种植体松动,又重新手术,遭了两次罪,每天用牙线、冲牙器清洁,定期复查,才能让种牙“用得更久”。
种牙不是“一劳永逸”,但只要选对医生、好好护理,它真的能让你找回“好好吃饭”的幸福感,如果你也因为缺牙烦恼,别再犹豫了——早点种牙,早点享受美食的快乐!
相关问答FAQs
Q1:种牙真的不疼吗?我特别怕疼怎么办?
A:其实种牙的疼痛感比拔牙轻很多,手术前医生会打局部麻醉,麻醉后牙龈和牙槽骨没有痛觉,术中只会感觉到轻微的压力(比如医生在拧种植体时的紧绷感),术后麻药劲儿过了,可能会有轻微胀痛,但大部分人吃一颗止痛药就能缓解,就像拔牙后的感觉一样,如果特别怕疼,可以选择“无痛种植”技术(比如笑气镇静),整个过程会更轻松。
Q2:种牙能用多久?是不是过几年就要换?
A:种牙的使用寿命和很多因素有关,比如种植体材料、医生技术、口腔维护习惯,只要骨结合成功,术后好好刷牙、用牙线清洁,定期复查(每年1次),种植体可以用20年以上,甚至终身,我医生说,他有个患者种了30年,现在用着还和新的一样,相反,如果术后不注意清洁,导致种植体周围发炎,可能会影响使用寿命,种牙能用多久”,关键看你怎么“养”它。
