上颌第一磨牙,也就是我们常说的“上6”,是口腔中承担咀嚼功能最重要的牙齿之一,位于上颌骨后部,通常有3-4个牙根,负责研磨食物,对维持咬合关系和面部形态至关重要,但由于位置靠后、受力大,加上清洁难度较高,上6也是龋坏、牙周炎等疾病的高发区域,一旦严重损坏或缺失,不仅会影响咀嚼效率,还可能导致邻牙倾斜、对颌牙伸长等问题,进而引发颞下颌关节紊乱等连锁反应,种植牙作为目前公认的牙齿缺失最佳修复方式,因其功能、美观及长期稳定性优势,成为上6缺失后的首选方案,本文将详细解析上6种植牙的适应症、种植流程、材料选择、风险护理及费用等关键信息,帮助全面了解这一修复技术。
上6种植牙的适应症与禁忌症
并非所有牙齿缺失者都适合做上6种植牙,需结合口腔条件及全身健康状况综合判断。适应症主要包括:单颗上6因龋坏、根尖周炎或外伤导致无法保留者;多颗牙缺失但上6为关键修复位点者;上6缺失后邻牙健康,无需作为基牙进行固定桥修复者;牙槽骨条件允许(骨高度、宽度、密度达标)者;对修复效果要求较高,希望获得接近天然牙功能者,部分牙槽骨轻度不足的患者可通过植骨或骨增量技术满足种植条件。

禁忌症则需谨慎评估:严重未控制的全身性疾病,如糖尿病血糖波动大、心血管疾病未稳定、凝血功能障碍者;口腔内有急性炎症,如根尖周炎、牙周脓肿未治愈者;长期服用双膦酸盐类药物(如治疗骨质疏松)的患者,可能增加颌骨坏死风险;严重吸烟者(每日吸烟超过20支),会降低种植体骨结合成功率;牙槽骨条件过差,且无法通过植骨改善者;对种植材料过敏者。
上6种植牙的详细流程
上6种植牙手术需分阶段完成,整个周期通常为3-6个月,具体时间取决于牙槽骨条件及是否需要植骨。
术前检查与设计
这是种植成功的基础,需进行全面口腔检查:
- 临床检查:观察口腔黏膜、牙龈状况,检查邻牙及对颌牙情况,评估咬合关系。
- 影像学检查:拍摄CBCT(锥形束CT),精确测量上6牙槽骨的高度、宽度、密度,以及上颌窦(位于上6牙根上方)的位置和距离,判断是否需要植骨或上颌窦提升术;必要时拍摄全景片和根尖片辅助诊断。
- 全身健康评估:测量血压、血糖,询问病史,排除手术禁忌。
- 数字化设计:利用CBCT数据建立3D模型,模拟种植体植入位置、角度及深度,设计个性化手术方案,避开神经、血管及上颌窦等重要结构。
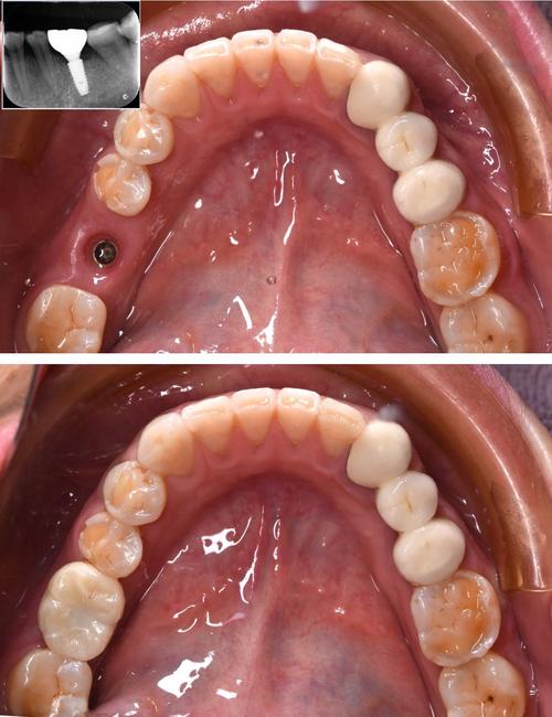
种植体植入术
手术在局部麻醉下进行,通常需要30-60分钟:

- 消毒与麻醉:口腔内消毒,局部浸润麻醉或阻滞麻醉,确保手术区域无痛。
- 切开与翻瓣:在牙龈上做切口,翻开黏骨膜瓣,暴露牙槽骨。
- 备洞与植入:根据术前设计的方向和深度,用专用钻针逐级备洞(由细到粗),避免产热损伤骨组织;将种植体(类似螺钉状)旋入牙槽骨,确保初期稳定性(种植体周围骨面有接触,无松动)。
- 缝合与愈合:冲洗术区,分层缝合牙龈,拍摄X光片确认种植体位置,术后无需住院,24小时内避免刷牙漱口,遵医嘱服用抗生素预防感染。
骨结合期
种植体植入后需与牙槽骨发生“骨结合”(osseointegration),即种植体表面与骨组织形成牢固的骨性结合,这是种植体长期稳定的关键,上6因受力大,骨结合时间通常为3-6个月:若牙槽骨条件良好,3个月左右即可;若骨量不足需植骨,则需6个月或更长时间,期间需避免种植体受力,暂不佩戴临时修复体。
基台安装与牙冠制作
骨结合完成后,进入修复阶段:
- 二期手术:若种植体植入时牙龈缝合较严密,可能需小切口暴露种植体顶部;直接安装愈合基台,引导牙龈形成袖口形态(约2周)。
- 取模与设计:用数字化扫描仪或传统硅橡胶取模,记录种植体位置及咬合关系,送技工室制作牙冠。
- 牙冠佩戴:试戴牙冠,检查颜色、形态、咬合是否合适,确认无误后用粘接剂固定完成最终修复。
上6种植牙的材料选择
种植牙的长期效果与材料密切相关,主要包括种植体和牙冠两部分。
种植体材料
目前主流种植体材料为纯钛(Grade 4或Grade 5)或钛合金(如Ti-6Al-4V),因其生物相容性好、耐腐蚀性强、能与骨组织牢固结合,品牌方面,欧美品牌(如瑞典Nobel Biocare、瑞士Straumann、德国Ankylos)临床应用时间长,技术成熟,成功率较高(10年成功率超95%),但价格较高;韩国品牌(如Osstem、Dentium)性价比高,适应性好,在国内市场占有率高,适合预算有限但骨条件正常的患者;国产品牌(如威高、百康特)近年发展迅速,价格亲民,但长期数据仍需积累。
牙冠材料
牙冠直接承担咀嚼力,需兼顾强度与美观:
- 全瓷冠:如氧化锆全瓷冠,生物相容性极佳,无金属过敏风险,颜色通透、美观度高,强度能满足上6咀嚼需求,是目前首选材料;适合对美观要求高或金属过敏者。
- 烤瓷冠:金属内冠(如镍铬合金、钴铬合金)+ 瓷层,强度较高,但金属边缘可能暴露牙龈,导致牙龈变色或过敏,且美观性略逊于全瓷冠,价格较低,但目前已逐渐被全瓷冠取代。
上6种植牙的风险与并发症
虽然种植牙技术成熟,但仍存在一定风险,需提前了解并做好预防:
- 术后感染:局部红肿、疼痛、溢脓,多因术中污染或术后护理不当导致,需及时抗感染治疗,严重时需切开引流。
- 种植体周围炎:长期口腔卫生不佳导致细菌侵入种植体与骨组织间隙,引起骨吸收,导致种植体松动,需定期洁牙,正确使用牙线、冲牙器,必要时进行牙周治疗。
- 上颌窦穿孔:上6牙槽骨上方紧邻上颌窦,若骨量不足备洞时过深,可能穿透上颌窦黏膜,导致鼻塞、鼻出血,术中CBCT精准定位可避免,发生穿孔需立即修补。
- 种植体松动或失败:初期稳定性不足、骨结合失败、咬合力过大等导致,需取出种植体,3个月后待骨组织恢复后重新植入。
- 神经损伤:下牙槽神经位于下颌骨,上6种植主要风险为上牙槽前神经损伤,可能导致唇颊麻木,多因种植体植入位置过深,通常可在数月内恢复。
术后护理与长期维护
上6种植牙的长期使用(通常10-20年,甚至更久)离不开科学的护理:
- 短期护理(术后1周):术后24小时内不刷牙不漱口,避免术区出血;饮食以温凉流食或半流食为主,避免用患侧咀嚼;遵医嘱服用抗生素、止痛药;术后1周拆线。
- 中期护理(1-3个月):骨结合期内避免咬硬物(如坚果、骨头),不吸烟(尼古丁影响骨结合);保持口腔卫生,使用软毛牙刷、冲牙器清洁种植体周围,必要时使用牙间刷。
- 长期维护:每6个月复查一次,检查种植体稳定性、牙冠磨损情况及牙周健康;正确使用牙线、冲牙器,控制牙菌斑;避免咬硬物、夜磨牙(可佩戴颌垫),防止种植体过度受力。
上6种植牙的费用构成
上6种植牙费用差异较大,主要受以下因素影响:
- 种植体品牌:欧美品牌(如Nobel)约1.5万-3万元/颗;韩国品牌(如Osstem)约8000-1.5万元/颗;国产品牌约5000-1万元/颗。
- 牙冠材料:全瓷冠(氧化锆)约3000-8000元/颗;烤瓷冠约1500-3000元/颗。
- 附加费用:若需植骨(如骨粉、骨膜),约2000-5000元;上颌窦提升术约5000-1万元;CBCT检查约500-1000元;数字化导板约2000-5000元。
以下为常见种植体品牌及费用参考表:
| 种植体品牌 | 原产地 | 特点 | 参考费用(单颗,含牙冠,元) |
|---|---|---|---|
| Nobel Biocare | 瑞典 | 纯钛,骨结合快,稳定性高 | 15000-30000 |
| Straumann | 瑞士 | 钛合金,表面处理技术先进 | 12000-25000 |
| Ankylos | 德国 | 锥形设计,抗旋转,骨保存 | 10000-20000 |
| Osstem | 韩国 | 性价比高,适应性强 | 8000-15000 |
| Dentium | 韩国 | 超亲水表面,骨结合快 | 8000-15000 |
| 威高 | 中国 | 价格亲民,本土化服务 | 5000-10000 |
上6种植牙是一项成熟的牙齿缺失修复技术,通过外科手术将种植体植入牙槽骨,再安装牙冠,可恢复接近天然牙的咀嚼功能、美观及舒适度,其成功关键在于严格的术前评估、规范的手术操作、优质的材料选择及术后长期的维护,虽然费用较高,但相比活动义齿或固定桥,种植牙不损伤邻牙、使用寿命长,长期来看具有较高的性价比,患者在选择时,应结合自身牙槽骨条件、预算及需求,在正规医疗机构专业医生的指导下制定个性化方案,以确保种植效果。
相关问答FAQs
Q1:上6种植牙能用多久?
A:上6种植牙的使用寿命受多种因素影响,如果患者口腔卫生良好、无全身性疾病、定期复查维护,且种植体与牙槽骨骨结合良好,使用寿命可达20年以上,甚至伴随终身,临床研究显示,高质量的种植体10年成功率超过95%,但若发生种植体周围炎、咬合力过大或外力撞击,可能导致种植体松动或失败,需及时处理,长期坚持口腔清洁(正确刷牙、使用牙线/冲牙器)和每6个月复查一次是延长使用寿命的关键。
Q2:上6缺失后,做种植牙和做烤瓷牙桥哪个更好?
A:种植牙和烤瓷牙桥各有优劣,需根据具体情况选择。种植牙的优势:不损伤邻牙(需磨除健康牙体),独立存在于牙槽骨中,可刺激牙槽骨避免萎缩,咀嚼功能接近天然牙,美观舒适,使用寿命长。烤瓷牙桥的优势:价格较低,修复时间短(无需等待骨结合),适合牙槽骨条件差、无法种植或预算有限者。缺点对比:烤瓷牙桥需磨除两侧邻牙作为基牙,可能损伤健康牙齿;长期使用可能导致基牙龋坏、牙周炎;桥体下方易藏食物残渣,清洁困难,且牙槽骨因缺乏刺激会逐渐萎缩,影响远期效果,综上,若牙槽骨条件允许,上6优先推荐种植牙,以保护邻牙和维持牙槽骨健康;若牙槽骨严重吸收或全身状况不适合种植,再考虑烤瓷牙桥。
