南京种牙修复是针对牙齿缺失后,通过外科手术将人工种植体植入牙槽骨内,再安装牙冠,恢复牙齿功能与美观的修复方式,作为医疗资源丰富的城市,南京的种牙技术已相当成熟,从公立三甲医院到私立口腔机构均能提供相关服务,但不同机构在技术、价格、服务等方面存在差异,市民在选择时需综合考量。
种牙修复的核心优势
相较于传统活动假牙、固定桥修复,种牙修复因“独立支撑、不损伤邻牙、咀嚼功能强”等优势,成为缺牙患者的首选,其核心价值在于:

- 保护邻牙:种植体作为“人工牙根”,单独承担咀嚼力,无需磨损健康邻牙,避免传统固定桥对邻牙的损伤。
- 恢复功能:种植体与牙槽骨结合后,稳定性接近天然牙,可正常咀嚼硬物,恢复80%-100%的咀嚼效率。
- 美观自然:牙冠可根据邻牙颜色、形态定制,仿真度高,且无基托、卡环,不影响发音和面部美观。
- 长期耐用:若维护得当,种植体使用寿命可达20年以上,部分案例甚至终身使用,远超活动假牙的5-8年更换周期。
南京种牙修复的详细流程
种牙修复需经历严格的术前评估、精准的手术操作及细致的后期维护,通常分为以下阶段:
术前检查与方案设计(1-3天)
这是种牙成功的基础,医生需通过口腔检查、CBCT(三维锥形束CT)、口腔全景片、血常规等检查,评估患者牙槽骨的厚度、密度、高度,以及是否存在炎症、全身性疾病(如糖尿病、高血压)等禁忌证,若骨量不足,可能需先进行植骨或上颌窦提升术(3-6个月后再种牙),根据检查结果,医生会结合患者需求(如美观、速度、预算)制定个性化方案,明确种植体品牌、手术方式(如传统种植、即刻种植、微创种植)及牙冠类型。
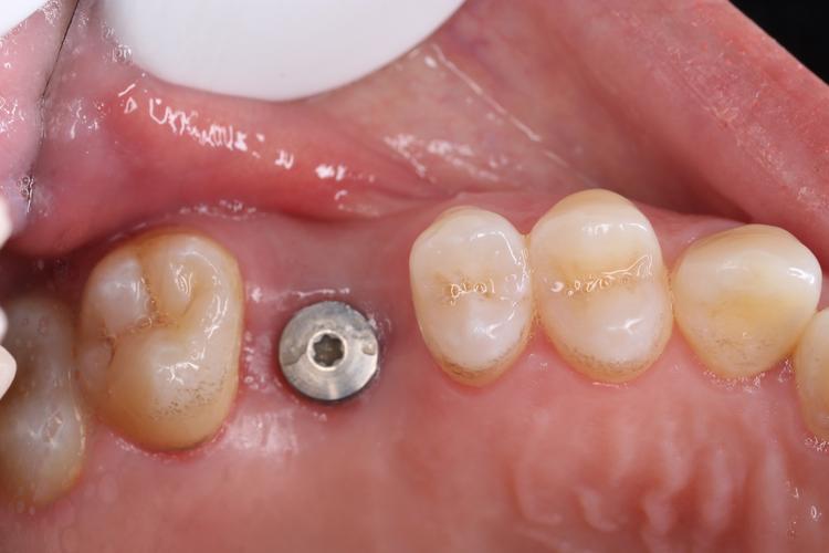
种植体植入手术(30分钟-2小时/颗)
在局部麻醉下,医生通过微创切口暴露牙槽骨,使用专用种植机逐级备洞,将种植体(纯钛或钛合金材质,生物相容性极佳)植入预定位置,手术创伤小,通常无需缝合,术后即可回家休息,若选择即刻种植(拔牙后立即植入种植体),需满足适应证(如无急性感染、骨量充足),可缩短治疗周期。
骨结合期(3-6个月)
种植体植入后,需与牙槽骨通过“骨结合”形成稳定连接,此期间需避免种植体受力,饮食以软食为主,并保持口腔卫生,骨结合速度因人而异,年轻人骨质条件好,约3个月即可;中老年人或骨量不足者可能需6个月以上。

基台安装与牙冠制作(1-3周)
骨结合完成后,医生通过二次手术(或微创方式)安装愈合基台,使牙龈形成袖口形态,1-2周后,取模(或使用口内扫描仪获取数字模型),由技工所根据模型制作牙冠(全瓷冠、烤瓷冠等),患者临时佩戴过渡牙冠。
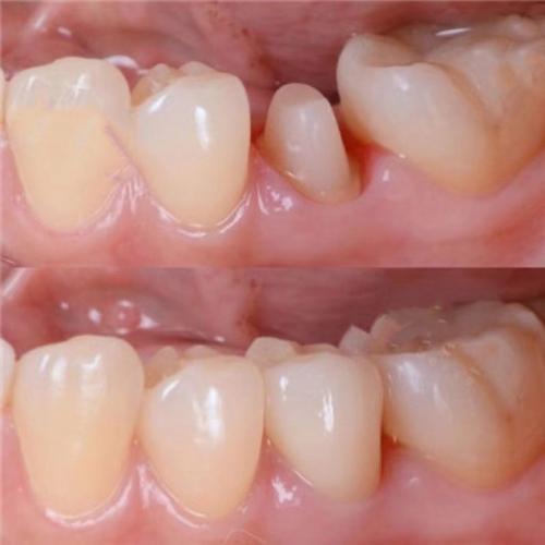
戴牙与术后复查(1-2天)
牙冠制作完成后,医生试戴调整咬合与颜色,确认无误后永久粘固,术后1周、1个月、3个月定期复查,评估种植体稳定性、牙龈状况及咬合功能,之后每年复查1次。
南京种牙修复费用构成及影响因素
种牙费用因种植体品牌、牙冠材料、医院等级、医生经验等因素差异较大,具体构成如下(以单颗种植为例):
| 项目 | 说明 | 参考价格(元) |
|---|---|---|
| 种植体 | 国产(如百康特、威高):3000-8000;进口(瑞士Straumann、瑞典Nobel、韩国Osstem):8000-20000 | 3000-20000 |
| 基台 | 纯钛基台:1000-3000;氧化锆基台:2000-5000(全瓷冠搭配更美观) | 1000-5000 |
| 牙冠 | 烤瓷冠(金属内冠):1500-3000;全瓷冠(如爱尔创、威兰德):2500-8000 | 1500-8000 |
| 手术费 | 含麻醉、无菌耗材、手术操作等,公立医院可能单独收取 | 2000-5000 |
| 检查费 | CBCT、血常规、口腔检查等 | 500-1000 |
| 总计 | 单颗种植牙总费用 | 8000-35000 |
主要影响因素:

- 种植体品牌:进口高端品牌(如NobleActive)因技术成熟、临床数据多,价格较高;国产品牌性价比高,适合预算有限者。
- 是否植骨:骨量不足者需植骨(骨粉+骨膜),费用额外增加2000-5000元。
- 医院等级:公立三甲医院医生资质权威,但排队时间长、价格较高;私立机构服务更灵活,常有优惠活动,需注意选择正规连锁品牌。
- 医生经验:资深种植医生(如种植硕士、博士)手术费用可能比普通医生高20%-30%,但能降低手术风险。
南京种牙修复选择建议
- 医院与医生资质:优先选择具备《种植牙资质证书》的机构,医生需有5年以上种植经验,可通过卫健委官网查询执业信息,南京知名公立医院如江苏省口腔医院、南京市口腔医院,技术权威但预约难;私立机构如瑞尔齿科、马泷齿科等,服务便捷,价格透明,建议实地考察设备(如CBCT、种植机)和案例。
- 技术与服务:关注是否采用数字化种植(如3D导板导航、口内扫描),可精准定位种植位置,减少创伤;术后服务是否包含质保(多数机构提供种植体终身质保,牙冠1-5年质保)及定期随访。
- 费用透明度:警惕“低价陷阱”,部分机构以“低价种牙”吸引患者,后期可能额外收取植骨、基台等费用,务必要求签订详细费用清单,明确包含项目。
术后护理与维护
种牙后维护直接影响使用寿命,需注意:
- 饮食:术后24小时温凉流食,1周内避免过硬、过热食物,骨结合期勿用种植牙咀嚼硬物(如坚果、螃蟹壳)。
- 口腔卫生:采用巴氏刷牙法,每天至少2次;使用牙线、冲牙器清洁种植牙邻面,预防种植体周围炎(主要导致种牙失败的原因)。
- 定期复查:术后1周拆线,1个月、3个月检查骨结合情况,之后每年复查1次,及时处理牙龈红肿、出血等问题。
相关问答FAQs
问题1:种牙修复能用多久?需要定期更换吗?
解答:种植体理论寿命可达40年以上,牙冠(全瓷冠)使用寿命约10-15年,若维护得当(每天刷牙、使用牙线、定期复查),种植体可终身使用;牙冠若出现磨损、崩瓷,可根据情况更换,无需重新植入种植体。
问题2:南京种牙修复有补贴政策吗?如何申请?
解答:目前南京部分区针对特定人群(如60岁以上老年人、低收入群体)推出惠民种植补贴,例如秦淮区、建邺区对单颗种植牙补贴1000-3000元(限集采种植体),申请流程一般为:携带身份证、医保卡到指定医院登记,符合条件者可直接减免费用,可通过“南京卫健委官网”或当地社区街道办查询最新补贴政策,部分私立机构也会参与集采,价格较市场低50%-70%。
