种植牙作为目前牙齿缺失修复的优选方式,其效果一直是患者关注的焦点,种植牙通过将医用纯钛种植体植入牙槽骨,模拟天然牙根的结构,再安装牙冠,实现功能与美观的双重恢复,从临床应用和患者反馈来看,种植牙的效果总体优异,但具体表现需结合多方面因素综合分析。
功能恢复:接近天然牙的咀嚼体验
种植牙的核心优势在于功能的高效恢复,由于种植体与牙槽骨形成稳定的骨结合(类似牙根与牙槽骨的连接),其咀嚼力可直接传递至牙槽骨,避免传统活动假牙的基托压迫牙龈,也无需像固定桥一样磨损邻牙,临床研究显示,种植牙的咀嚼效率可达天然牙的90%以上,而活动假牙仅为40%-60%,固定桥约为70%-80%,这意味着患者种植后可正常咀嚼坚果、肉类等较硬食物,无需担心牙冠松动或脱落,饮食范围显著扩大,种植牙的咬合力分布均匀,长期使用不会导致邻牙移位或对颌牙伸长,有助于维持口腔颌面系统的稳定。

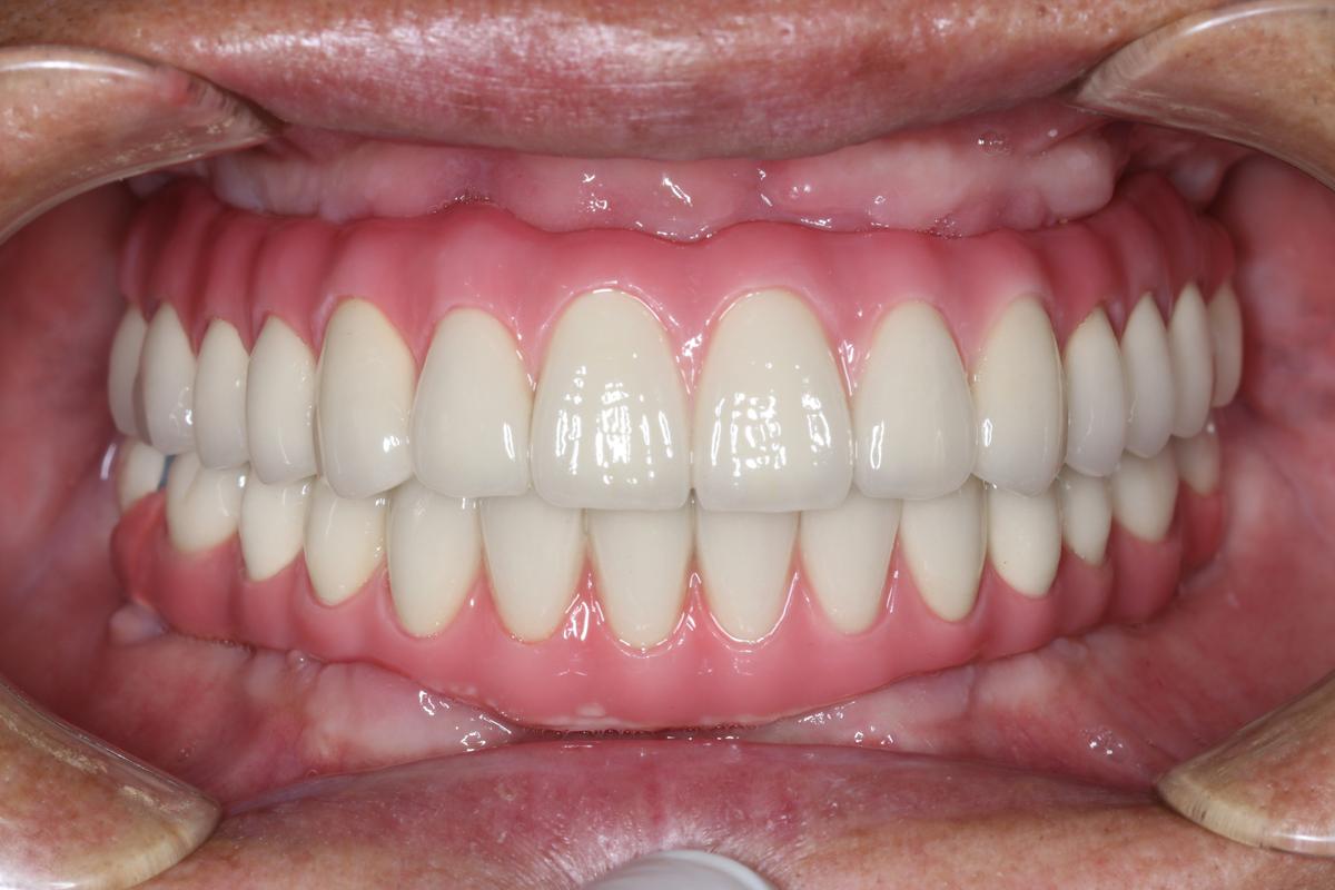
美观度:以假乱真的自然效果
在美观层面,种植牙的牙冠可根据邻牙的颜色、形态、大小定制,尤其是全瓷牙冠(如氧化锆、全瓷玻璃等),具有与天然牙相似的透明度和光泽度,牙龈边缘贴合紧密,不会出现传统金属烤瓷牙的“黑线”问题,对于前牙缺失患者,种植牙能有效恢复牙槽骨的支撑力,避免因缺牙导致的牙龈萎缩、面部塌陷,使笑容更自然、自信,部分患者还会选择“即刻种植”技术,即在拔牙后立即植入种植体,结合临时牙冠,实现“即拔即用”,缩短治疗周期的同时,快速恢复美观。
使用寿命:长期稳定,维护得当可终身使用
种植牙的寿命是患者最关心的问题之一,目前主流的种植体材料为纯钛或钛合金,其生物相容性极佳,能与牙槽骨形成牢固的骨结合(通常需要3-6个月),结合强度甚至超过天然牙根,临床数据显示,种植牙的10年成功率可达95%以上,20年成功率约为85%-90%,许多患者维护得当后可终身使用,影响寿命的关键因素包括:口腔卫生习惯(定期洗牙、使用牙线避免种植体周围炎)、医生技术(种植体植入位置、角度是否合理)、咬合调整(避免创伤性咬合)以及全身健康状况(如糖尿病、骨质疏松患者需控制病情),相比活动假牙3-5年的更换周期和固定牙10年左右的脱落风险,种植牙的长期稳定性优势明显。
安全性:技术成熟,风险可控
随着种植技术的发展,种植牙的安全性已得到充分验证,手术过程通常在局部麻醉下进行,患者几乎无疼痛感,微创技术(如数字化导板辅助)可缩小手术切口,减少出血和肿胀,术后并发症发生率较低,约1%-3%可能出现感染、种植体松动等情况,但通过规范操作和术后护理(如遵医嘱服用抗生素、保持口腔清洁)可有效避免,种植体材料的生物相容性高,极少出现排异反应,纯钛种植体已在临床使用超过50年,安全性得到广泛认可。
适用人群:多数缺牙患者均可受益
种植牙的适用人群广泛,只要患者成年(通常18岁以上,牙槽骨发育完成)、牙槽骨高度和宽度足够(可通过植骨、上颌窦提升等手段改善)、无严重全身性疾病(如未控制的糖尿病、心脏病、骨质疏松等),均可接受种植治疗,对于骨量不足的患者,现代技术可通过骨增量手术、穿颧种植、穿翼板种植等方式解决,实现“无牙颌”患者的全口重建,即使吸烟患者,若能减少或戒烟,也可获得良好的种植效果,但需注意吸烟可能影响骨结合速度,延长愈合时间。

术后效果:快速恢复,生活影响小
种植术后,患者通常在24小时内轻微肿胀或疼痛,可通过冰敷和止痛药缓解,3-5天后症状基本消失,种植体植入后3-6个月,待骨结合完成后安装牙冠,即可正常使用,相比传统修复方式,种植牙无需摘戴,维护方式与天然牙一致(刷牙、牙线、定期检查),不会影响发音或社交活动,许多患者反馈,种植后不仅饮食质量提升,自信心和心理健康也得到改善。
不同牙冠材料的效果对比
种植牙的牙冠材料直接影响美观度和耐用性,常见材料特点如下:
| 材料类型 | 美观度 | 强度 | 生物相容性 | 价格范围(元/颗) | 适用情况 |
|---|---|---|---|---|---|
| 氧化锆全瓷牙 | 高(接近天然牙) | 高 | 优 | 8000-15000 | 前牙美学区、后牙承受力大 |
| 全瓷(如e.max) | 高 | 中 | 优 | 6000-12000 | 前牙美学修复 |
| 金属烤瓷牙 | 中 | 高 | 良(金属可能过敏) | 3000-6000 | 后牙经济型修复(较少使用) |
相关问答FAQs
Q1:种植牙后能用多久?需要注意什么?
A:种植牙的寿命与天然牙类似,维护得当可终身使用,关键注意事项包括:① 保持口腔卫生,每天刷牙两次、使用牙线清洁种植体周围,每年至少1-2次专业洗牙;② 避免咬硬物(如坚果壳、螃蟹壳),减少种植体创伤;③ 定期复查(安装牙冠后每6个月1次),检查种植体稳定性及牙周健康;④ 控制全身疾病(如糖尿病、骨质疏松),避免影响骨结合。
Q2:种牙手术疼吗?恢复期多久?
A:种植手术在局部麻醉下进行,术中几乎无疼痛感,术后24小时内可能有轻微胀痛,类似拔牙后反应,可通过冰敷和止痛药缓解,通常3-5天症状消失,恢复期分为两个阶段:骨结合阶段(3-6个月,种植体与牙槽骨融合)和牙冠佩戴阶段(1-2周完成修复),整体治疗周期因人而异,简单缺牙(如单颗牙缺失)约3-4个月,全口重建可能需6-12个月。

