在广州,成年人牙齿正畸已成为越来越多30至50岁人群的关注焦点,随着口腔医疗技术进步和社会审美需求提升,不再只是青少年的“专利”,成年人因社交、职场形象改善,或因牙齿问题影响咀嚼功能、牙周健康,选择正畸的比例逐年上升,广州作为一线城市,口腔医疗资源丰富,正畸技术成熟,但成年人正畸与青少年存在显著差异,需结合口腔状况、生活习惯、治疗目标综合考量,本文将从特点、方式、流程、注意事项等维度展开分析。
成年人牙齿正畸的独特性
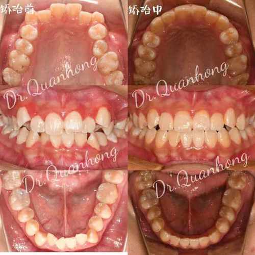
与青少年相比,成年人正畸的复杂性更高,主要体现在生理状态和需求差异上,成年人颌骨发育已完成,骨骼改建速度较慢,牙齿移动效率相对较低,治疗周期通常为1.5-3年,比青少年延长0.5-1年,成年人可能伴随口腔问题:约30%存在牙周炎、牙龈萎缩,需先控制牙周炎症再正畸;部分人有牙齿磨耗、颞下颌关节紊乱(TMD),需联合修复科、关节科制定方案;还有缺失牙、烤瓷冠、种植体等情况,需考虑支抗设计和矫正力分配,成年人对美观要求更高,倾向于选择隐形矫正、陶瓷托槽等“隐形”方式,且对治疗后的功能与美学效果有明确预期,需医生充分沟通方案细节。

广州成年人正畸的主要方式及选择
广州正畸机构提供的矫正方式多样,主流技术包括传统金属托槽、陶瓷托槽、自锁托槽、隐形矫正及舌侧矫正,每种方式在美观度、舒适度、价格上差异显著,需结合个人需求和预算选择,以下为具体对比:
| 矫正方式 | 原理 | 优点 | 缺点 | 参考价格(广州) | 适合人群 |
|---|---|---|---|---|---|
| 传统金属托槽 | 金属结扎丝固定托槽,施加持续矫治力 | 价格低廉,技术成熟,矫正力度大 | 美观度差,口腔异物感强,易刮伤黏膜 | 5万-3.5万 | 预算有限、牙齿复杂错位者 |
| 陶瓷托槽 | 透明陶瓷材质托槽,接近牙齿颜色 | 美观度提升,强度接近金属托槽 | 材质脆性大,易崩瓷,价格高于金属 | 5万-4.5万 | 对美观有要求、预算中等者 |
| 自锁托槽(金属/陶瓷) | 托槽自带闭锁结构,减少结扎丝摩擦 | 复诊间隔延长(6-8周),疼痛感轻,矫正效率高 | 价格较高,体积略大 | 3万-5万 | 时间紧张、对舒适度要求高者 |
| 隐形矫正(隐适美/时代天使) | 3D打印透明牙套,分阶段移动牙齿 | 完全隐形,可自行摘戴,方便清洁 | 依赖患者配合,价格高,复杂病例效果受限 | 4万-10万 | 职场人士、对美观要求极高、轻度错颌者 |
| 舌侧矫正 | 托槽粘贴于牙齿内侧,完全隐形 | 美观度最佳,个性化定制 | 价格极高(10万+),口腔异物感强,清洁难度大 | 12万-18万 | 高收入、追求极致隐形效果者 |
广州作为隐适美、时代天使等隐形品牌的重点推广城市,私立诊所和公立医院均可提供,但需注意:隐形矫正需每日佩戴20小时以上,且每副牙套移动量有限,适用于牙列拥挤、前突等简单病例;若存在骨性错颌(如地包天、龅牙伴颌骨问题),可能需配合正颌手术,此时传统托槽或自锁托槽更能精准控制牙齿移动。
广州成年人正畸的完整流程
在广州选择正畸,需经历“检查-设计-治疗-保持”四个阶段,正规机构流程规范,通常需3-6个月完成前期准备。
初诊与全面检查:首诊需携带既往病历,医生通过口内检查初步判断错颌类型(如牙列拥挤、深覆合、反颌等),随后拍摄全景片(观察牙根、颌骨)、头颅侧位片(分析骨骼与牙齿关系)、CBCT(评估骨量、牙周状况),取硅橡胶模型记录牙齿形态,若存在牙周炎,需先进行牙周治疗(洁治、刮治),待牙周指标(牙龈出血指数、牙周袋深度)恢复正常后才能开始正畸。

方案设计与沟通:医生结合检查数据,使用正畸设计软件(如Dolphin、OrthoCAD)模拟牙齿移动过程,制定个性化方案,方案内容包括是否拔牙(成年人拔牙比例约40%,通常拔除前磨牙为前牙腾出空间)、矫正方式选择、治疗周期、费用明细,患者需与医生充分沟通,明确预期效果(如改善“龅牙”、关闭牙缝等),确认后签署知情同意书。
矫治器粘接与治疗:传统托槽需分口粘接(先上颌后下颌),耗时1-2小时;隐形矫正则需根据方案定制3-5副牙套,首诊领取首副并指导佩戴,治疗期间需定期复诊:传统托槽每4-6周调整一次弓丝;隐形矫正每8-12周复诊,领取新牙套并检查佩戴情况,若出现托槽脱落、牙套断裂,需及时联系医生处理。
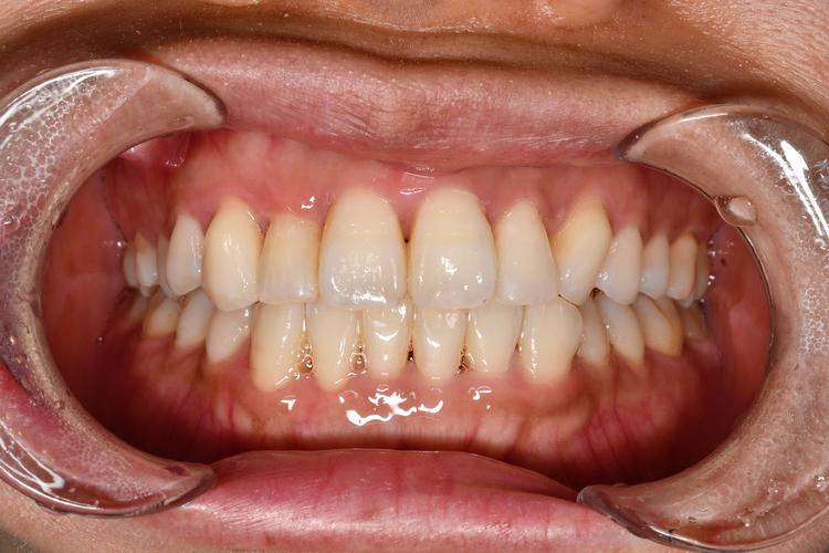
保持器佩戴:矫正结束后,牙齿需保持稳定位置,防止复发,成年人保持器佩戴时间至少2年,前6个月需全天佩戴(除进食、刷牙),之后改为夜间佩戴,保持器有哈雷保持器(金属丝+树脂基托,活动性强)和透明压膜保持器(隐形,但易老化),医生会根据牙齿稳定性选择。
广州成年人正畸的注意事项
口腔卫生维护:正畸期间食物易嵌塞,若清洁不当易引发龋齿、牙周炎,需使用正畸专用牙刷(如V形刷头)、牙缝刷、冲牙器,每日至少刷牙3次,每次3分钟,睡前使用含氟牙膏;避免食用过硬(坚果、骨头)、过黏(口香糖、年糕)食物,防止托槽脱落或损坏牙套。
饮食与生活习惯:佩戴隐形矫正时,饮用咖啡、茶、红酒需及时漱口,避免染色;吸烟会影响牙周血液循环,延长治疗周期,建议戒烟,治疗初期1-2周,牙齿受力后可能出现酸胀、疼痛,属正常现象,可遵医嘱服用布洛芬缓解,避免食用过硬食物。
机构与医生选择:广州正畸机构分为公立医院(如中山大学光华口腔医院、广东省口腔医院)和私立诊所(如瑞尔齿科、马泷齿科),公立医院医生经验丰富,但排队时间长(初诊预约需1-2个月);私立诊所服务细致,预约灵活,但需选择有正规资质的连锁机构,医生选择上,优先考虑中华口腔医学会正畸专业委员会(COS)认证的专科医生(查看医师执业证书上的“口腔正畸学”执业范围),并要求查看其过往案例,尤其是与自身情况相似的案例。
费用与支付方式:广州成年人正畸费用因方式差异较大,传统金属托槽约1.5万-3.5万,隐形矫正4万-10万,舌侧矫正12万-18万,部分机构支持分期付款(如12期免息),但需注意合同条款,避免隐藏收费(如保持器费用、复诊调整费是否包含)。
常见误区澄清
误区1:“成年人正龄会老掉牙”:正畸本身不会导致牙齿松动,若治疗后出现牙齿松动,多因牙周炎未控制或口腔卫生不佳,正畸前需全面检查牙周,治疗中定期维护牙周健康,牙齿可长期稳定。
误区2:“隐形矫正效果不如传统托槽”:隐形矫正通过计算机精准设计,对简单错颌(如牙列拥挤、前牙前突)效果显著,且美观度、舒适度更优;但对复杂病例(如骨性错颌、严重扭转),传统托槽的力度控制更精准,效果更稳定。
相关问答FAQs
Q1:成年人正畸的最佳年龄是多少?有没有上限?
A:成年人正畸没有绝对年龄上限,只要牙周健康、无严重骨性畸形,任何年龄均可矫正,但40岁以上人群因骨改建速度减慢,治疗周期可能延长,且需更关注牙周状况,建议在25-35岁之间矫正,此时牙周组织活力较好,恢复速度更快。
Q2:正畸期间影响正常社交和饮食吗?
A:传统托槽初期会有1-2周异物感,但不会影响正常说话和饮食(避免过硬食物);隐形矫正可自行摘戴,饮食和社交几乎无影响,但需确保每日佩戴时间足够,若因工作需要频繁社交,可选择陶瓷托槽或隐形矫正,兼顾美观与功能。
广州成年人牙齿正畸是一项“投资健康与形象”的过程,需结合自身情况选择正规机构和医生,耐心配合治疗与维护,最终收获整齐牙齿与自信笑容。
