拔牙后选择合适的时机进行种植牙修复,是保障口腔功能与长期健康的关键。“拔牙半年后种牙”是临床中较为常见的方案,这一时间设定并非随意,而是基于口腔组织自然愈合规律的科学安排,从拔牙创口的初步愈合到牙槽骨的稳定改建,再到种植体与骨组织的完美融合,每个阶段都需充足时间支撑,以下将从愈合机制、种牙流程、优势特点、注意事项等多方面,详细解析拔牙半年后种牙的全过程。
拔牙后半年:口腔组织的“黄金愈合期”
拔牙后,口腔内并非立即进入“可种植”状态,而是经历了一系列复杂的生理修复过程,拔牙创口首先形成血凝块,起到止血和保护创面的作用,术后1-2周内,牙龈上皮会从创缘向中心生长,完成软组织的初步愈合,此时肉眼可见的“伤口”已基本闭合,但深部的牙槽骨仍在持续改建。

牙槽骨的愈合是种植牙成功的基础,拔牙后3个月内,牙槽骨会发生快速的“废用性吸收”,尤其是牙槽嵴顶(牙槽骨最顶端的部分),垂直向吸收量可达3-4mm,水平向吸收1-2mm,这是由于失去牙齿的生理刺激,骨组织逐渐疏松所致,3个月后,骨吸收速度减缓,进入“改建期”:破骨细胞与成骨细胞活性趋于平衡,骨小梁逐渐排列致密,骨密度逐步恢复,至6个月左右,牙槽骨的形态和结构基本稳定,形成致密的皮质骨和富含骨髓的松质骨,为种植体提供足够的支撑力。
若在骨吸收高峰期(如拔牙后1-3个月)过早种植,可能导致种植体初期稳定性不足(骨组织未紧密包裹种植体),或因骨量不足需额外植骨,增加手术创伤和费用;而若等待时间过长(如超过1年),牙槽骨可能进一步吸收,导致种植区骨量严重缺损,同样需要复杂的骨增量手术,拔牙后半年,既避开了骨吸收的高峰期,又确保了骨组织的稳定性和充足性,成为种植牙的“黄金窗口期”。
半年后种牙:从术前检查到戴冠的完整流程
拔牙半年后,当牙槽骨条件符合种植要求时,便可正式启动种牙流程,整个过程可分为术前检查、种植体植入、基台安装、牙冠修复四个阶段,每个阶段均需严格把控细节,以确保种植效果。
术前检查:精准评估,制定方案
种植牙前需进行全面检查,明确口腔及全身健康状况:

- 口腔检查:通过视诊、触诊评估牙龈愈合情况,检查邻牙是否有龋坏、松动,以及咬合关系是否正常。
- 影像学检查:拍摄口腔锥形束CT(CBCT),三维重建牙槽骨形态,精确测量种植区骨高度、宽度、密度,以及神经管、上颌窦等重要结构的位置,避免术中损伤。
- 全身健康评估:排查高血压、糖尿病、心脏病等全身性疾病,若患者存在未控制的慢性病,需先稳定病情再行种植;长期吸烟者需评估吸烟对骨愈合的影响,建议术前戒烟2周以上。
根据检查结果,医生会制定个性化方案:若骨量充足,可直接种植;若骨量轻微不足,可同期植骨;若骨量严重缺损,则需先进行骨增量手术(如引导骨再生术、上颌窦提升术等),等待3-6个月骨结合后再种植。
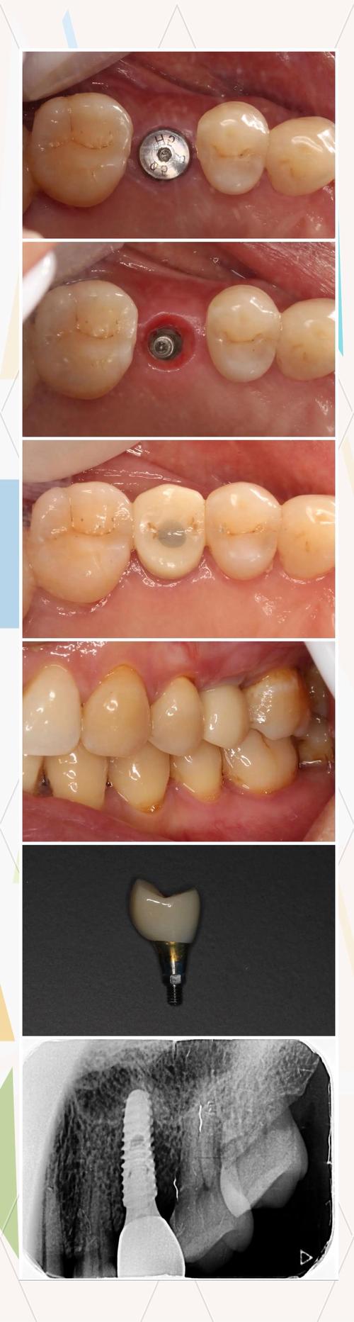
种植体植入:精准操作,确保初期稳定
种植体植入是手术的核心步骤,通常在局部麻醉下进行,过程约30-60分钟:
- 消毒与麻醉:口腔内常规消毒,局部浸润麻醉或阻滞麻醉,确保手术无痛。
- 切开与翻瓣:在牙龈上做切口,翻开黏骨膜瓣,暴露牙槽骨。
- 备洞与植入:根据种植体直径和长度,使用逐级备洞钻头在牙槽骨中制备种植窝,过程中不断用生理盐水降温,避免骨灼伤,随后将纯钛或钛合金种植体(生物相容性极佳,能与骨组织结合)旋入种植窝,确保初期稳定性(种植体无松动,扭力达到35-50N·cm以上)。
- 缝合与愈合:缝合牙龈切口,拍摄术后X线片确认种植体位置,术后无需住院,遵医嘱服用抗生素、止痛药,1周后拆线。
骨结合期:等待“种植体-骨”界面融合
种植体植入后,需经历3-6个月的“骨结合期”:种植体表面的钛与周围的骨细胞直接接触,形成“骨整合”,种植体逐渐被骨组织包裹,成为“人工牙根”,此阶段需避免种植体受力,不要用患侧咀嚼,戒烟限酒,控制血糖(糖尿病患者),定期复查(术后1个月、3个月),通过X线观察骨结合情况。
基台安装与牙冠修复:完成“仿生牙”搭建
骨结合完成后,进入二期修复:

- 基台安装:切开牙龈,暴露种植体顶部,将基台(连接种植体与牙冠的部件)旋入种植体,调整牙龈袖口形态,为牙冠提供支撑。
- 牙冠制作与佩戴:通过数字化印模或传统取模,将模型送加工厂制作牙冠(全瓷冠、烤瓷冠或金属冠),1-2周后试戴,调整咬合和颜色,确保舒适美观后粘固完成。
半年后种牙的优势:稳定、高效、远期效果好
相较于即刻种植(拔牙后立即种植)或延期种植(拔牙后3-6个月外),拔牙半年后种牙具有显著优势:
骨条件稳定,降低种植失败风险
半年后牙槽骨吸收基本停止,骨密度和骨量达到理想状态,种植体植入后初期稳定性更高,骨结合成功率可达95%以上,显著降低种植体松动、脱落的风险。
减少植骨需求,简化手术流程
若过早种植,牙槽骨尚未愈合,常需额外植骨(如自体骨、骨粉),增加手术创伤和费用;半年后种植骨量充足,多数患者可直接种植,避免复杂骨增量手术,缩短整体治疗周期。
牙龈形态自然,美观效果更佳
拔牙后半年牙龈已充分愈合,牙龈缘位置稳定,种植时能更好地塑造牙龈袖口,使牙冠与牙龈衔接自然,避免“黑三角”或牙龈萎缩,美观效果更接近天然牙。
长期预后好,使用寿命长
稳定的骨支持和健康的牙龈环境,能有效降低种植体周围炎(种植牙常见的并发症)的发生风险,保障种植牙的长期使用,多数种植牙使用寿命可达10-20年,甚至更久。
可能的挑战与应对:个体化差异的考量
尽管半年后种牙优势显著,但部分患者可能面临特殊挑战,需提前干预:
骨吸收严重者的骨增量处理
若患者为牙周病患者、拔牙创伤较大或长期缺牙未修复,牙槽骨可能吸收严重,半年后仍存在骨量不足问题,此时可通过引导骨再生术(GBR)——在种植区植入骨粉和生物膜,引导骨组织再生;或上颌窦内提升术(针对上颌后牙区骨量不足)——将上颌窦黏膜推起,在窦底植入骨粉,增加骨高度,骨增量后需等待3-6个月骨结合,再进行种植体植入,虽延长治疗时间,但可保障种植效果。
全身性疾病患者的风险控制
糖尿病患者若血糖控制不佳(空腹血糖>8mmol/L),会影响骨愈合和免疫抗感染能力,需先将血糖控制在理想范围;长期服用双膦酸盐类药物(如治疗骨质疏松)的患者,可能发生颌骨坏死,需与内科医生充分评估风险后再决定是否种植;吸烟者骨结合率降低10%-15%,建议术前戒烟,术后严格戒烟,并增加复查频率。
术后护理:种植牙“长寿”的关键
种植牙并非“一劳永逸”,术后护理直接影响其使用寿命:
- 口腔卫生维护:使用软毛牙刷、牙线、冲牙器每天清洁种植体周围,避免食物残渣堆积,预防种植体周围炎(表现为牙龈红肿、出血、种植体松动)。
- 饮食调整:术后1个月内避免用患侧咀嚼过硬、过黏食物(如坚果、口香糖),基台安装后避免咬硬物(如螃蟹壳、骨头),防止牙冠崩裂或种植体受力过大。
- 定期复查:戴冠后每6个月复查1次,检查种植体稳定性、牙龈健康状况及牙冠磨损情况,发现问题及时处理。
相关问答FAQs
Q1:拔牙后半年没种牙,牙槽骨会吸收多少?如何判断是否需要植骨?
A:拔牙后牙槽骨垂直吸收可达3-4mm,水平吸收1-2mm,吸收程度与个体体质、拔牙创伤、是否患有牙周病等相关,是否需要植骨需通过CBCT评估:若种植区骨高度≥10mm、宽度≥5mm,且骨密度适中,可直接种植;若骨高度<10mm或宽度<5mm,则需植骨,医生会根据CT结果和种植体直径(通常种植体直径需比骨宽度小1-2mm)综合判断,必要时可选择直径较小的种植体(如迷你种植体)或进行骨增量手术。
Q2:半年后种牙的骨结合期多久?期间能用种植牙吃东西吗?
A:骨结合期通常为3-6个月,具体时间受骨密度(骨质疏松者可能延长至6-8个月)、全身健康状况(糖尿病、吸烟者愈合较慢)等因素影响,骨结合期间,种植体与骨组织尚未完全融合,需避免受力,因此不能用种植牙咀嚼,需用邻牙或活动义齿过渡,期间若出现种植体周围疼痛、异常松动或牙龈流脓,需立即就医排查感染或骨结合不良情况。
