正畸治疗中,上颌平面导板(简称“平导”)是纠正深覆合的常用辅助装置,通过抬高后牙咬合、引导前牙打开咬合间隙,改善牙颌关系,部分患者会发现平导表面存在“洞眼”,这一设计并非制作缺陷,而是基于功能需求的专业考量,其作用、材质及护理需结合正畸原理详细解析。
正畸平导上“洞眼”的核心功能
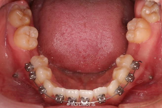
平导上的洞眼是医生根据患者口腔情况定制的关键结构,主要承担以下三方面功能:
固位与稳定:洞眼可与牙面上的托槽或附件配合,通过结扎丝或橡皮筋固定,防止平导在咬合时移位或脱落,确保力量精准传递至目标牙齿,对于深覆合患者,平导需稳定作用于后牙区,洞眼的设计能增强与牙列的贴合度,避免因咀嚼或说话导致装置偏斜。
辅助加力与牵引:部分病例需通过平导配合额外力量(如颌间牵引),洞眼可作为牵引钩的附着点,方便医生在治疗中调整牵引方向和力度,促进后牙压低或前牙伸长,加速咬合打开。
清洁与维护通道:洞眼的存在便于患者使用牙线、冲牙器或专用清洁刷伸入平导下方,清除食物残渣和菌斑,减少口腔异味、龋坏或牙龈炎风险,正畸期间口腔卫生管理尤为重要,洞眼的设计间接提升了清洁效率。

洞眼的位置、材质与个体化差异
平导的洞眼并非统一标准,其位置、数量和大小需根据患者牙弓形态、咬合深度及治疗目标定制:
- 位置分布:通常位于后牙区(如第一磨牙、前磨牙对应位置),避开咬合功能区,既保证受力均匀,又避免干扰咀嚼;部分复杂病例可能在前牙区增设辅助洞眼,用于精细调整牙齿移动方向。
- 材质特性:平导多采用医用树脂或生物相容性良好的塑料,洞眼在制作过程中通过模具精确成型,边缘光滑无锐角,避免刮伤口腔黏膜,部分患者因对材料敏感,医生会选择金属加强型平导,此时洞眼可能与金属支架整合,提升强度。
- 个体化差异:儿童与成人、不同错颌类型的患者,洞眼设计差异显著,青少年患者牙槽骨改建活跃,洞眼可能更密集以增强加力效率;成人病例则更注重舒适度,洞眼数量相对减少,直径更小。
以下为平导洞眼相关特性的对比说明:
| 特性维度 | 常见情况 | 特殊调整 |
|--------------------|-----------------------------------------------------------------------------|-----------------------------------------------------------------------------|
| 洞眼位置 | 以后牙区为主,对应托槽位置 | 前牙深覆合严重时,可能增加前牙区辅助洞眼 |
| 洞眼数量 | 一般2-4个,覆盖主要受力区域 | 复杂病例(如伴中线偏斜)可能增至5-6个,用于多向牵引 |
| 洞眼直径 | 1-2mm,便于清洁工具通过 | 对清洁困难者(如牙列拥挤),可能适当扩大至2.5mm,但需避免影响结构强度 |
| 材质兼容性 | 树脂平导(主流,轻便舒适) | 金属加强型(用于需长期加力或患者夜磨牙情况) |
佩戴平导时洞眼的护理要点
洞眼虽为功能性设计,但若护理不当可能引发问题,需重点关注以下事项:
每日深度清洁:除常规刷牙外,需使用正畸专用小头牙刷或冲牙器,对准洞眼内部轻柔刷洗,避免食物残渣堆积,可配合牙线牵引器,将牙线从洞眼穿入,清理平导与牙齿间的邻面区域。
饮食禁忌:避免过硬(如坚果、骨头)、黏性(如口香糖、年糕)食物,防止洞眼被堵塞或导致平导变形,建议食用温凉、易咀嚼的食物,减少对洞眼边缘的冲击。
定期复诊检查:医生会在复诊时检查洞眼是否磨损、堵塞或变形,若发现洞眼边缘破损(可能刮伤黏膜)或堵塞难以清洁,需及时调整或重制平导,确保治疗效果和佩戴安全。
相关问答FAQs
Q1:正畸平导上的洞眼会刮伤口腔黏膜吗?
A:正常情况下,洞眼边缘经过精细打磨,光滑无毛刺,不会刮伤黏膜,若佩戴后出现黏膜疼痛或溃疡,可能是洞眼局部磨损或个体适应问题,可先用正畸蜡覆盖洞眼边缘,并及时联系医生调整装置。

Q2:发现平导洞眼变大或脱落怎么办?
A:洞眼变大可能是材料老化或咬合压力导致,需尽快复诊评估是否影响治疗效果,必要时重制平导;若洞眼完全脱落,切勿自行修复,应保存好装置并携带至诊所检查,医生会根据脱落原因决定修补或重新制作。
