正畸治疗中拔牙是常见的调整方式,而“拔不对称的牙”则是个体化方案中的特殊设计,并非随意为之,这种拔牙方式需基于严格的口腔检查、面部对称性分析及咬合功能评估,目的是解决单侧牙齿拥挤、中线偏斜、牙弓不对称等问题,最终实现面部与口腔功能的平衡,以下从拔牙原因、设计原则、治疗流程及注意事项等方面展开详细说明。
为什么需要拔不对称的牙?
正畸拔牙的核心目标是“为牙齿移动创造空间,协调牙量与骨量”,而不对称拔牙则针对更复杂的口腔问题,常见原因包括:

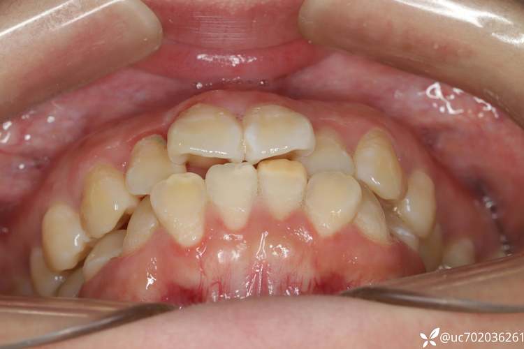
单侧牙齿严重拥挤
若患者一侧牙弓因骨量不足或牙量过大出现明显拥挤(如牙齿重叠、扭转),而另一侧相对整齐,仅通过磨牙或扩弓无法解决时,需在拥挤侧拔牙,为内收牙齿提供空间,左侧上下颌前磨牙区拥挤严重,右侧排列正常,可能选择拔除左上、左下第一前磨牙,利用拔牙间隙调整左侧牙弓形态,避免强行扩弓导致牙龈萎缩或面部凹陷。
中线偏斜与咬合紊乱
面部中线是美学与功能的重要参考,若患者因乳牙早失、不良习惯(如偏侧咀嚼)导致上下颌中线不一致(如下牙中线右偏,上牙中线左偏),需通过拔牙调整,右侧后牙早失导致右侧牙弓塌陷,左侧后牙过度萌出,可能拔除左侧上颌第二前磨牙,配合右侧修复或压低左侧牙齿,纠正中线偏斜。
单侧牙量不调
部分患者存在先天牙数异常(如一侧多生牙、先天缺失牙)或牙体严重病变(如一侧磨牙大面积龋坏无法保留),需拔除病变或多余牙,对侧保留健康牙,通过正畸移动恢复牙弓连续性,左侧上颌多生牙导致牙弓形态异常,右侧下颌第一磨牙无法保留,需拔除左侧多生牙及右侧下颌第一磨牙,利用间隙调整两侧牙齿位置。
面部不对称的代偿性调整
对于轻度骨骼性不对称(如下颌偏斜),可通过拔牙进行代偿治疗,下颌左偏导致左侧后牙反颌,右侧后牙覆盖过大,可能拔除右上颌第一前磨牙及左下颌第二前磨牙,通过移动牙齿改善咬合关系,代偿骨骼不对称对面部美观的影响。

不对称拔牙的设计原则
不对称拔牙需遵循“功能优先、兼顾美观、动态调整”的原则,避免因设计不当导致新的问题:
个体化评估,精准诊断
治疗前需通过头影测量(分析骨骼、牙齿、软组织位置)、模型分析(计算牙弓拥挤度、 Bolton指数)、面部对称性检查(观察眼耳平面、鼻唇沟对称性)等数据,明确拔牙数量、位置及间隙分配方案,若左侧拥挤量为5mm,右侧拥挤量为2mm,可能拔除左侧1颗牙(提供约7-8mm间隙),右侧不拔牙,通过少量邻面去釉调整。
拔牙位置的选择逻辑
通常优先拔除前磨牙(第一或第二前磨牙),因其位于牙弓中段,既能提供足够间隙,又避免影响磨牙功能,具体选择需考虑:
- 拥挤侧:拔除牙根较直、易于移动的前磨牙,便于内收排齐;
- 非拥挤侧:若需调整中线,可能拔除对侧同名牙,或拔除与拥挤位置对应的牙齿(如下颌中线偏斜,拔除上颌对侧前磨牙);
- 病变牙:优先拔除无法保留的残根、严重龋坏牙,避免影响治疗进程。
间隙分配与咬合平衡
拔牙后的间隙需合理分配:拥挤侧用于排齐牙齿,中线偏斜侧用于调整中线,咬合紊乱侧用于建立稳定咬合,拔除左上、左下第一前磨牙后,左侧间隙60%用于内收前牙纠正中线,40%用于调整后牙咬合高度,避免出现“深覆颌”或“开颌”。

支抗控制与牙齿移动
不对称拔牙需加强支抗设计(如种植支抗钉、腭杆),避免非拔牙侧牙齿前移导致拔牙间隙丢失,右侧不拔牙时,通过右上颌植入支抗钉,防止右侧后牙向左移动,确保左侧拔牙间隙用于排齐左侧牙齿。
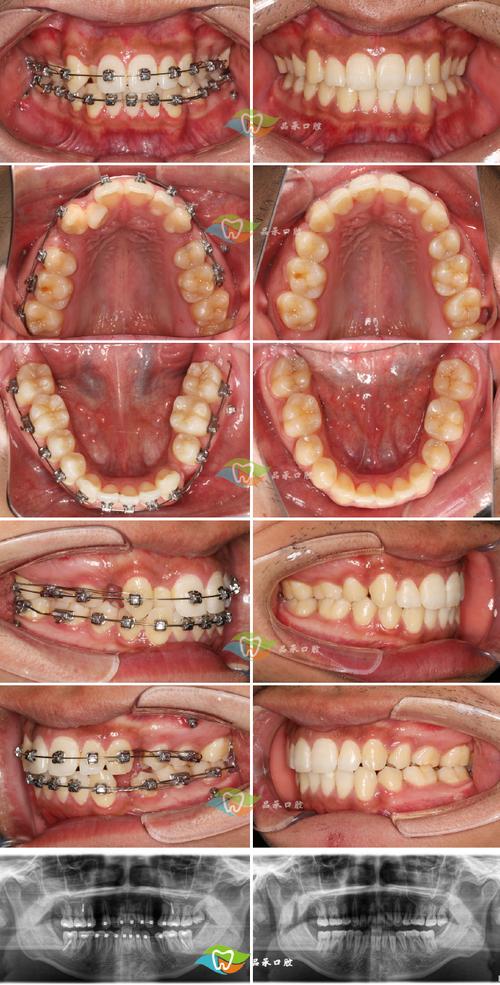
不对称拔牙的治疗流程与注意事项
治疗流程
- 术前准备:包括口腔卫生指导(治疗需无龋坏、无牙周炎)、拔牙前评估(拔牙难度、患者身体状况)、方案沟通(明确拔牙位置、治疗周期、预期效果)。
- 拔牙阶段:分次拔除设计好的牙齿(通常间隔1-2周),减轻患者不适感;拔牙后需止血、消炎,观察伤口愈合情况。
- 正畸治疗:拔牙后等待1-2个月(待牙槽骨初步愈合)开始戴矫治器,通过弓丝、橡皮筋等调整牙齿位置,定期复诊(4-6周/次)监控移动进度。
- 保持阶段:拆除矫治器后戴保持器(通常需2年以上),防止牙齿复发,尤其注意不对称拔牙后的中线稳定性和咬合关系维持。
注意事项
- 医生技术要求高:不对称拔牙需精确控制牙齿三维移动,建议选择有复杂病例经验的正畸医生;
- 患者配合度:需严格佩戴橡皮筋、保持口腔卫生,避免因牙菌斑堆积导致牙龈炎、牙周炎;
- 风险预防:可能出现牙齿移动速度不一致、中线偏移复发等问题,需通过头影测量及时调整方案;
- 美学与功能兼顾:治疗中需定期评估面部对称性,避免过度内收导致“凹面型”或磨牙升高导致关节不适。
对称拔牙与不对称拔牙的对比
为更直观理解两者的差异,可通过下表对比:
| 对比维度 | 对称拔牙 | 不对称拔牙 |
|---|---|---|
| 适用情况 | 牙弓双侧拥挤度一致、中线无偏斜 | 单侧拥挤、中线偏斜、牙量不调、面部不对称 |
| 拔牙数量 | 上下颌双侧各拔1-2颗(如4颗第一前磨牙) | 上下颌单侧或不同侧拔不同数量(如左侧拔2颗,右侧拔1颗) |
| 设计重点 | 均匀分配间隙,排齐牙弓、改善突度 | 调整中线、平衡牙弓、代偿面部不对称 |
| 支抗要求 | 常规支抗(如颌间牵引) | 需加强支抗(如种植钉),防止非拔牙侧移动 |
| 治疗难度 | 较低,方案标准化 | 较高,需个性化设计,动态调整 |
相关问答FAQs
Q1:正畸拔不对称的牙会导致脸歪吗?
A:不会,若方案设计合理,不对称拔牙反而能改善面部不对称,对于下颌偏斜导致的中线不齐,通过拔除偏斜侧的多余牙齿,利用正畸力量将牙齿移动至正确位置,可恢复面部中线对称性,但需注意,治疗中需定期监控面部软组织变化,避免过度移动导致软组织凹陷,若医生经验不足或方案偏差,可能出现两侧移动不协调,需及时复诊调整。
Q2:不对称拔牙后正畸治疗时间会比对称拔牙长吗?
A:可能稍长,但取决于具体情况,对称拔牙因两侧牙齿移动相对同步,治疗周期通常为1.5-2年;不对称拔牙需额外调整中线、平衡咬合,牙齿移动路径更复杂,可能延长3-6个月,但通过数字化技术(如3D打印导板、隐形矫治)可精确控制牙齿移动,缩短治疗时间,患者配合度(如按时戴橡皮筋、保持口腔卫生)也会影响周期,若积极配合,时间差异可缩小。
正畸拔不对称的牙是个体化治疗中的精细操作,需以科学诊断为基础,以功能与美学平衡为目标,患者在治疗前应充分沟通,了解方案细节,配合医生完成治疗,最终实现健康、和谐的口腔状态。
