球帽附着体种牙是目前针对牙齿缺失,尤其是多颗牙或全口牙缺失的一种常用修复方式,它结合了种植技术的稳定性和活动义齿的可摘性,通过种植体支持的球状结构与义齿内阴性的帽状结构形成卡抱固位,从而实现义齿的稳固和功能恢复,以下从原理、适用人群、优缺点、操作流程、与其他修复方式的对比及注意事项等方面进行详细说明。
球帽附着体种牙的基本原理
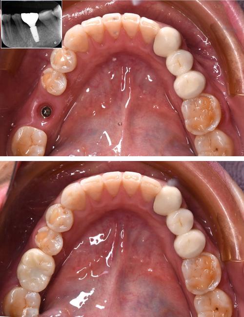
球帽附着体种牙的核心是“种植体+基台+球帽结构”的协同作用,首先通过外科手术将种植体植入缺牙区的牙槽骨内,种植体相当于“人工牙根”,与骨组织形成骨结合(通常需要3-6个月)后,在种植体上安装基台,基台顶部有一个球状突起(阳极);然后在义齿(活动假牙)的基托内对应位置安装一个帽状结构(阴极),戴入时球状突起插入帽状结构中,通过两者之间的摩擦力和卡抱力实现义齿的固位,这种设计允许义齿在受力时有一定的垂直向缓冲和轻微动度,既能减少对种植体的侧向冲击,又能提供足够的稳定性和咀嚼效率。

适用人群与禁忌症
适用人群:
- 多颗牙缺失:如半口牙缺失,传统活动义齿固位差、易松动,可通过2-4颗种植体支持球帽附着体义齿。
- 全口牙缺失:牙槽骨条件不足以支持全口固定种植牙(通常需要8颗以上种植体)时,可通过4-6颗种植体+球帽附着体实现覆盖义齿修复。
- 传统活动义齿佩戴不适者:如因基托过大导致恶心、压痛,或因余留牙松动导致固位不佳者。
- 对美观和咀嚼功能要求较高者:相比传统活动义齿,球帽附着体义齿基托面积更小,异物感轻,咀嚼效率更高。
- 颌骨条件有限者:牙槽骨宽度、高度不足,无法植入更多种植体时,可通过球帽附着体分散咬合力。
禁忌症:
- 严重骨量不足且不愿植骨者;
- 未控制的牙周炎、口腔黏膜疾病;
- 糖尿病、骨质疏松等系统性疾病未控制者;
- 严重夜磨牙或咬合习惯异常者;
- 对种植体材料或球帽附着体金属成分过敏者。
球帽附着体种牙的优势与局限性
优势:
- 固位力强:球帽结构提供的摩擦力远大于传统活动义齿的卡环,义齿不易脱落,尤其适合下颌全口义齿(传统下颌全口义齿易松动)。
- 保护余留牙:无需磨除健康邻牙( unlike 固定桥),避免对天然牙的损伤。
- 舒适度高:基托面积较传统活动义齿减小,覆盖范围小,异物感轻,发音影响小。
- 维护方便:球帽结构可拆卸,便于日常清洁,减少食物嵌塞和菌斑堆积。
- 适用范围广:可用于不同数量的缺牙,从单颗到全口,尤其适合牙槽骨条件一般的患者。
- 费用适中:相比全口固定种植牙(如All-on-4)或纯钛支架覆盖义齿,球帽附着体成本更低,性价比高。
局限性:
- 费用较高:比传统活动义齿贵,需承担种植体、基台、球帽附着体及义齿制作的费用。
- 技术敏感性:对医生操作要求高,种植体植入位置、基台角度需精确,否则可能导致球帽密合度不佳、义齿翘动。
- 需定期维护:球帽结构长期使用可能磨损,需定期复查调整固位力或更换部件;若口腔卫生不佳,易出现种植体周围炎。
- 对种植体数量有要求:半口至少需2颗种植体,全口至少需4颗,骨条件差时需增加种植体数量,否则可能影响长期稳定性。
球帽附着体种牙的操作流程
-
术前检查与设计:
- 口腔检查:评估缺牙情况、余留牙健康度、牙槽骨高度/宽度(通过CBCT)、口腔卫生状况。
- 全身评估:排除系统性疾病禁忌(如未控制的高血压、糖尿病)。
- 方案设计:确定种植体数量、位置、型号,选择球帽附着体品牌(如Nobel、Straumann等),制作手术导板提高精准度。
-
种植体植入:
- 局部麻醉下,在缺牙区牙槽骨上逐级备洞,将种植体植入预定位置,缝合创口(通常无需植骨,骨量不足者需先植骨)。
- 术后注意事项:避免手术区咀嚼,保持口腔卫生,服用抗生素预防感染,7-10天拆线。
-
骨结合期:
种植体植入后需等待3-6个月,与骨组织形成稳定结合(骨结合期间可佩戴临时活动义齿)。
(图片来源网络,侵删) -
基台与球帽附着体安装:
- 骨结合完成后,切开牙龈暴露种植体,安装愈合基台2周,使牙龈形成袖口形态。
- 拆除愈合基台,选择合适角度的基台(补偿种植体植入角度偏差),在基台上安装球状突起(阳极)。
-
义齿制作与试戴:
- 取模:通过口扫或传统硅橡胶取模,记录种植体位置及咬合关系。
- 义齿加工:在义齿基托内对应球状突起的位置加工帽状结构(阴极),试戴调整咬合、固位及舒适度,确保义齿戴入后无翘动、压痛。
-
戴牙与复查:
- 最终义齿戴入,指导患者清洁方法(如使用冲牙器、专用刷头清洁球帽结构)。
- 定期复查:戴牙后1个月、3个月、6个月复查,之后每年1-2次,检查球帽磨损、种植体稳定性及口腔卫生状况。
球帽附着体与其他修复方式的对比
为更直观了解球帽附着体的特点,以下与其他常见修复方式对比:

| 对比项目 | 球帽附着体种牙 | 传统活动义齿 | 固定桥 | 全口固定种植牙(All-on-4) |
|---|---|---|---|---|
| 固位力 | 强(摩擦力卡抱) | 弱(卡环+基托吸附) | 极强(粘结固位) | 极强(螺丝/粘结固位) |
| 舒适度 | 高(基托面积小) | 低(基托覆盖范围大) | 高(类似天然牙) | 高(无基托) |
| 咀嚼效率 | 80%-90% | 40%-60% | 90%-100% | 90%-100% |
| 费用(半口) | 3万-6万元 | 5万-2万元 | 单颗1万-2万元 | 8万-15万元 |
| 适用缺牙数量 | 多颗/半口/全口 | 任意数量 | 单颗/少数几颗 | 半口/全口(4颗以上种植体) |
| 维护难度 | 中等(需定期调整球帽) | 简单(日常清洁) | 简单(基牙清洁) | 较难(需专业维护) |
| 对余留牙影响 | 无 | 可能损伤余留牙(卡环) | 需磨除健康邻牙 | 无 |
注意事项
- 术后护理:种植术后24小时内避免刷牙,用漱口水漱口;饮食以温凉、软食为主,避免手术区咀嚼;拆线后使用软毛牙刷,重点清洁种植体周围。
- 义齿清洁:每天摘戴义齿,用义齿清洁剂浸泡,避免用热水烫洗(防止材料变形);使用冲牙器或专用刷头清洁球帽结构,避免食物残渣堆积。
- 饮食禁忌:避免咬硬物(如坚果、骨头)、黏性食物(如口香糖),防止球帽磨损或义齿折裂。
- 定期复查:球帽附着体长期使用可能出现磨损、固位力下降,需每6-12个月复查1次,必要时更换球帽或调整基台。
- 风险应对:若出现义齿松动、疼痛、出血或种植体周围红肿,需及时就医,可能涉及种植体周围炎、球帽结构损坏等问题。
相关问答FAQs
Q1:球帽附着体种牙能用多久?
A:球帽附着体种牙的使用寿命受多种因素影响,一般可维持10-20年,甚至更久,关键在于口腔卫生维护(避免种植体周围炎)、定期复查调整(球帽磨损及时更换)、咬合习惯(避免夜磨牙或咬硬物)以及种植体质量,若日常护理得当,种植体可长期稳定,球帽结构也可通过更换延长使用寿命。
Q2:球帽附着体和杆卡附着体怎么选?
A:两者均为种植覆盖义齿的常见附着体,选择需根据缺牙情况、骨条件和个人需求:
- 球帽附着体:结构简单,价格较低,清洁方便(球状结构不易藏污纳垢),适合半口或少数种植体支持;但固位力略低于杆卡,对种植体植入角度精度要求较高。
- 杆卡附着体:通过杆状连接体连接多个种植体,固位力更稳定,适合全口或对固位力要求高的患者;但价格更高,清洁需注意杆卡区域(需专用清洁工具),且对种植体平行度要求更严格。
医生会根据CBCT结果、牙槽骨条件及预算综合建议,一般半口缺牙优先推荐球帽,全口缺牙且骨条件好者可考虑杆卡。
