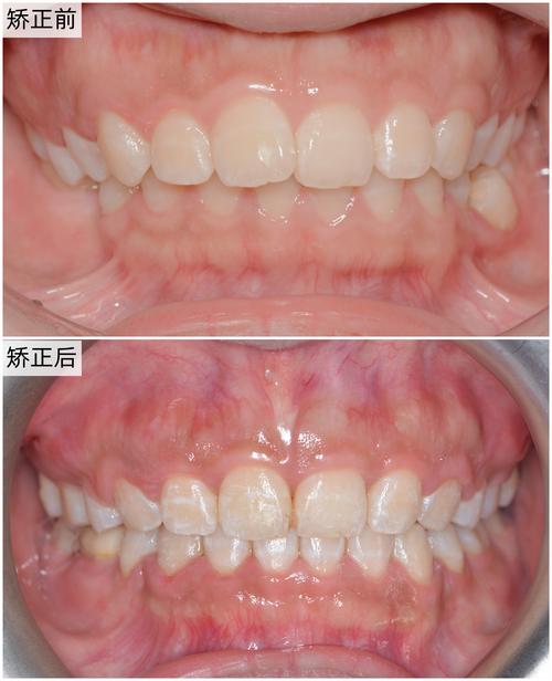
正畸第三期精细调整是整个矫正过程的最后关键阶段,在完成牙齿排齐、间隙关闭、咬关系初步建立后,通过更精细化的操作,实现牙齿位置、咬合功能与面部美观的最终协调,确保矫正效果的长期稳定,这一阶段直接关系到矫正效果的“精致度”,需要医生与患者的密切配合。
核心目标:从“整齐”到“完美”
精细调整的核心并非单纯追求牙齿排列整齐,而是聚焦于细节优化:包括牙齿近远中向位置的微调(如尖牙与双尖牙的协调)、唇颊舌向倾斜度的精确控制(避免个别牙倾斜导致咬创伤)、垂直向高度的平衡(如咬合打开量的微调)、以及邻接关系的紧密性(防止食物嵌塞),需兼顾面部软组织协调,如微笑时上切牙暴露量与唇部的关系、侧貌突度的自然改善,最终实现“功能与美学统一”的理想状态。

具体调整内容与维度
精细调整涉及多维度细节优化,以下是主要调整方向及具体内容:
| 调整维度 | |
|---|---|
| 牙齿位置微调 | 近远中向:如尖牙轻微唇倾/舌倾,与前后牙建立良好接触关系;唇颊舌向:调整个别牙轴倾斜度,避免深覆𬌗、深覆盖的残留;旋转:纠正微小扭转,确保牙冠形态对称;垂直向:通过咬合垫或弓丝精细弯曲,调整咬合打开/关闭量,避免后牙早接触。 |
| 咬合关系优化 | 尖牙保护𬌗建立:确保尖牙牙尖与下颌第一前磨牙窝稳定接触,引导非工作侧无干扰;后牙咬合接触:调整𬌗面接触点分布,实现多点均匀接触,避免咬合集中;前牙覆覆盖:将覆𬌗控制在2-3mm,覆盖覆盖不超过4mm,确保前牙切割功能。 |
| 面部软组织协调 | 微笑线设计:根据患者唇部曲线,调整上切牙切缘高度,使微笑弧度与面部比例自然;侧貌轮廓:通过前牙位置微调,改善唇部突度(如内收上下前牙改善双颌前突);颊部对称性:纠正后牙牙轴倾斜,避免颊部塌陷或过突。 |
| 细节处理 | 邻接点打磨:通过少量牙釉质磨除(需严格适应证),使邻接点紧密,防止食物嵌塞;牙冠高度协调:调整个别牙牙冠长度差异,使牙列中线与面部中线一致,视觉上更美观。 |
常用方法与技术
精细调整需结合不同矫治器特性选择技术:传统托槽矫治可采用0.018英寸或更细的镍钛弓丝进行轻力移动,配合垂直曲、小圈曲等辅助关闭微小间隙;隐形矫治器通过附件设计(如辅助附件、牵引钩)实现牙齿的精细控制,必要时进行“附件升级”或“颌位记录”;舌侧矫治则需借助个性化托槽及特殊钳子,完成牙齿舌侧面的细微调整,可能使用颌垫调整咬合干扰,或使用摇椅弓优化 Spee 曲线,确保咬合曲线平滑。
患者配合要点
精细调整阶段患者配合至关重要:需严格保持口腔卫生,避免托槽周围食物残留导致龋坏或牙龈炎;遵医嘱佩戴橡皮筋(如Ⅲ类牵引、垂直牵引等),确保牵引方向与力度准确;避免咀嚼过硬、黏性食物,防止托槽脱落或弓丝变形;复诊间隔通常为2-4周,医生会根据牙齿移动情况及时调整方案,若出现剧烈疼痛、托槽脱落等需及时复诊。
时间周期
精细调整时间因人而异,一般持续3-6个月,复杂病例(如伴有严重咬合创伤、面部不对称)可能延长至8个月,此阶段需耐心等待牙齿稳定移动,避免急于求成导致效果反弹。

相关问答FAQs
问题1:精细调整期间牙齿会酸痛吗?如何缓解?
解答:精细调整过程中,牙齿可能因轻微移动出现酸痛,尤其是加力后1-3天,通常程度较轻,属于正常现象,可通过温盐水漱口、食用软食、避免咀嚼硬物缓解;若疼痛剧烈或持续超过1周,需及时复诊检查是否存在咬合创伤或弓丝刺激。
问题2:精细调整后需要一直戴保持器吗?
解答:精细调整后需长期佩戴保持器以防止复发,初期(通常前6个月)需全天佩戴(进食刷牙除外),之后过渡到夜间佩戴,牙齿位置稳定后(一般1-2年),医生会根据个体情况(如牙齿拥挤程度、骨改建情况)调整佩戴频率,但建议长期夜间佩戴,尤其对于有复发倾向的患者(如牙周条件较差、原有深覆𬌗史),以维持矫正效果。

