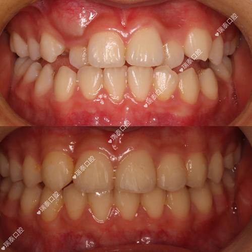
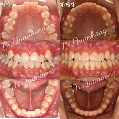
牙齿高度不一致在正畸临床中较为常见,指牙齿从牙槽嵴顶到咬合面的垂直距离存在差异,可能表现为单颗牙异常、多颗牙参差不齐,或牙弓内整体高度不协调,这种异常不仅影响美观,还可能导致咬合功能障碍、牙周组织损伤等问题,需通过正畸治疗进行干预。
牙齿高度不一致的常见原因
牙齿高度的发育和维持受多种因素影响,明确原因是对症治疗的前提。
先天发育因素:牙胚发育过程中,遗传或环境因素(如孕期营养不良、感染)可能导致牙冠形态异常,如过短(先天性小牙症)或过长(牙胚位置过高)。
后天获得性因素:

- 磨耗与缺损:长期夜磨牙、咬硬物或不良咬合习惯,会导致牙冠咬合面磨耗变短,或因外伤造成牙体缺损;
- 牙周支持丧失:牙周炎导致牙槽骨吸收,牙齿失去骨支持后伸长,出现“临床牙冠”变长;
- 咬合创伤:个别牙早接触、咬合干扰等,会使牙齿过度萌出或压迫性吸收,打破高度平衡;
- 正畸治疗不当:既往矫正中垂直向控制不足,如未处理伸长牙就强行排齐,可能导致矫正后高度不协调。
牙齿高度不一致的影响
牙齿高度差异看似是小问题,实则可能引发连锁反应:
咬合功能紊乱:高低牙会导致咬合力分布不均,颞下颌关节(TMJ)长期受力异常,引发关节弹响、疼痛,甚至张口受限;
牙周健康受损:伸长牙易形成“食物嵌塞”,刺激牙龈增生;磨耗严重的牙则可能因牙本质暴露引发敏感;
美观与心理影响:微笑时牙齿高低错落,影响“微笑线”美观,可能导致患者自卑、社交回避。
正畸治疗:如何纠正牙齿高度不一致
正畸治疗的核心是通过力学调控牙齿在垂直向的位置,恢复牙冠高度与咬合平衡,具体方案需结合病因、错畸类型及患者年龄制定,常见策略如下:
病因预处理
- 牙周问题:先进行牙周基础治疗(洁治、刮治),控制炎症,待牙周稳定后再开始正畸;
- 牙体缺损:磨耗严重的牙需先做牙冠修复恢复咬合面高度,再配合正畸调整位置;
- 咬合干扰:通过调颌去除早接触点,避免牙齿继续异常移动。
垂直向控制技术
- 压低伸长牙:对于牙周炎导致的伸长牙或对颌牙过度萌出,可采用种植钉支抗(微种植钉、支抗钉)施加持续轻力,将牙齿压低至理想位置;
- 升高过短牙:对先天牙冠过短或磨耗牙,可通过“伸长术”配合正畸,在牙槽骨允许范围内轻柔移动牙齿,改善冠高;
- 咬合板辅助:对于夜磨牙患者,可佩戴咬合板降低牙齿磨耗,同时为正畸创造稳定环境。
矫治器选择
- 固定矫治器:通过方丝弓、直丝弓矫治器,配合摇椅弓(整平牙弓)、垂直曲(精确控制牙齿移动)等,实现垂直向精细调整;
- 隐形矫治器:对于轻中度高度异常,可设计附件辅助牙齿压低或伸长,同时避免传统托槽对咬合的干扰;
- 功能矫治器:青少年患者若存在生长因素导致的咬合问题,可使用FRANKEL、Twin Block等功能矫治器,引导颌骨生长,协调牙齿高度。
不同原因导致的牙高度异常及正畸处理策略
| 常见原因 | 临床特点 | 正畸处理策略 |
|---|---|---|
| 牙周支持丧失 | 牙齿伸长,牙龈萎缩,牙间隙增大 | 先牙周治疗,再以种植钉压低伸长牙,必要时植骨修复骨缺损 |
| 后天性磨耗 | 牙冠变短,咬合面平坦,牙本质敏感 | 先树脂充填或牙冠修复恢复高度,再正畸调整咬合关系 |
| 先天性牙冠过短 | 牙冠短小,牙根正常,排列整齐 | 正畸微调牙轴,联合树脂美容修复或贴面改善冠高 |
| 对颌牙过度萌出 | 上下牙高度不匹配,深覆颌 | 压低上颌伸长牙或升高下颌磨牙,协调垂直向咬合 |
正畸治疗中的注意事项
- 定期复查:垂直向移动速度较慢,需每4-6周复查,调整加力大小,避免牙根吸收;
- 口腔卫生维护:矫正期间使用正畸专用牙刷、牙线,防止托槽周围龋坏;
- 保持器佩戴:矫正结束后需全天佩戴保持器1年,夜间长期佩戴,防止牙齿高度复发;
- 避免咬硬物:治疗期间避免啃骨头、坚果等,防止矫正器脱落或牙齿损伤。
相关问答FAQs
Q1:牙齿高度不一样正畸治疗周期一般多久?
A1:治疗周期取决于畸形程度和病因,单纯轻度高度异常(如1-2颗牙轻微伸长),通过种植钉压低可能需6-12个月;若合并牙周炎、牙体缺损等,需先进行1-3个月的基础治疗,正畸阶段约1.5-2年;复杂病例(如多颗牙高度不齐伴咬合紊乱)可能需要2-3年,具体时间需医生根据方案调整。
Q2:正畸后牙齿高度会反弹吗?如何预防?
A2:若治疗不彻底或保持不当,牙齿高度可能复发,常见原因包括:未解决根本病因(如未控制夜磨牙)、保持器佩戴不规范、牙周支持组织未完全恢复等,预防措施包括:治疗结束后严格佩戴保持器(至少1年夜间佩戴)、定期复查(每年1-2次)、避免咬硬物、积极治疗夜磨牙等,若发现牙齿轻微移位,及时复诊调整。


