北京口腔医院天坛院区正畸科作为国内口腔正畸领域的权威科室,依托北京口腔医院70余年的深厚积淀,集临床诊疗、科研教学于一体,致力于为各年龄段患者提供专业、个性化的正畸解决方案,科室汇聚了一批经验丰富的正畸专家,配备国际先进的数字化诊疗设备,在复杂错颌畸形矫正、隐形正畸、青少年早期干预等领域形成特色优势,年接诊量超万例,是众多患者信赖的正畸选择。
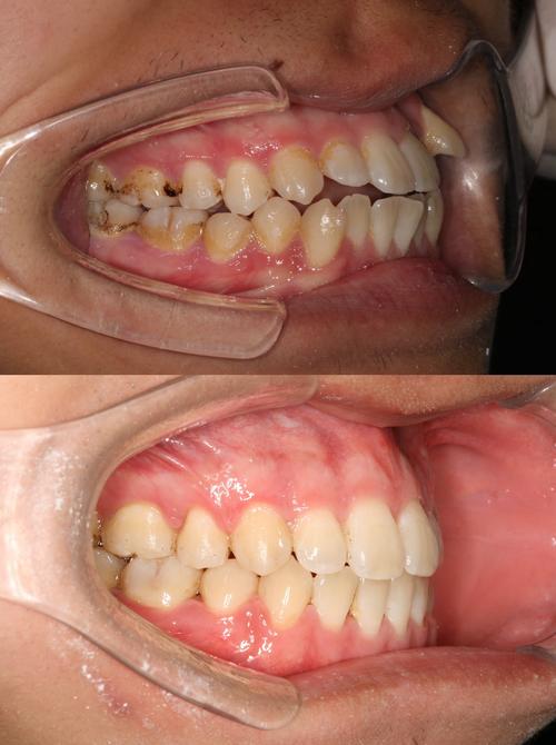
科室正畸技术全面覆盖传统金属托槽、陶瓷半隐形托槽、隐形矫正(如时代天使、隐适美)、舌侧矫正等多种方式,满足不同患者的美观与功能需求,数字化正畸技术为核心特色,通过口内扫描仪获取精准牙颌模型,结合3D打印技术制作个性化矫治器,大幅提升矫正效率与舒适度;针对骨性错颌畸形,科室联合正颌外科开展正畸-正颌联合治疗,实现面部美学与咬合功能的协同改善;青少年早期干预方面,通过功能性矫治器引导颌骨发育,降低复杂矫正风险,不同矫正技术对比如下:

| 矫正技术 | 技术特点 | 适用人群 | 参考价格(元) |
|---|---|---|---|
| 传统金属托槽 | 矫正力度强,性价比高,适用各类错颌 | 青少年及成人经济型需求者 | 8000-15000 |
| 陶瓷半隐形托槽 | 托槽透明美观,抗染色,兼顾美观与效果 | 对美观有要求的中青年 | 15000-25000 |
| 隐形矫正 | 全透明可摘戴,舒适便捷,方便清洁 | 成人及青少年对美观需求高者 | 30000-60000 |
| 舌侧矫正 | 完全隐藏于牙齿内侧,隐形效果最佳 | 对美观要求极高的成人 | 50000-80000 |
| 数字化早期干预 | 利用3D打印定制功能性矫治器,引导颌骨生长 | 替牙期存在颌骨发育异常的儿童 | 15000-30000 |
科室医生团队以高学历、临床经验丰富为特点,现有主任医师5名、副主任医师8名,其中80%拥有博士或硕士学位,多人曾赴美国、德国、日本等知名口腔机构进修,学科带头人XXX教授从事正畸临床工作30余年,擅长复杂骨性错颌的矫治与正颌联合治疗,在国内正畸领域享有盛誉;XXX副主任医师专注于隐形矫正技术,累计完成隐适美病例超2000例,擅长成人美学矫正与数字化方案设计,团队定期开展多学科会诊,针对伴有牙周病、颞下颌关节紊乱等复杂病例制定综合治疗方案。
科室服务项目覆盖全年龄段正畸需求:青少年阶段开展早期矫治(如反颌、深覆盖、牙列拥挤的早期干预),降低成年后矫正难度;成人阶段提供隐形矫正、舌侧矫正等美观性解决方案,同时兼顾牙周健康、咬合功能与面部美学;针对复杂病例,如唇腭裂术后正畸、外伤后牙颌畸形等,科室联合修复科、颌面外科等多学科协作,提供系统性治疗。
患者就诊需提前通过医院官网或微信公众号预约初诊,初诊时,医生会进行口腔检查、拍摄X光片(全景片、头颅侧位片)及取模,结合数字化口扫数据制定初步方案;复诊沟通环节,医生详细讲解治疗计划、时间周期及费用,患者确认后开始治疗,治疗期间每4-6周复诊一次,医生调整矫治器力度,监控牙齿移动进度;矫正结束后,需佩戴保持器2年以上,防止复发。
矫正期间需严格保持口腔卫生,使用正畸专用牙刷、牙线及冲牙器,避免托槽周围食物残留;饮食上避免过硬(如坚果、骨头)、过黏(如口香糖、年糕)食物,防止托槽脱落;若出现明显疼痛或托槽松动,需及时联系医生处理,切勿自行调整;青少年患者需家长监督佩戴时间及口腔清洁,确保治疗效果。

FAQs
-
北京口腔医院天坛正畸科需要提前预约吗?
答:是的,因就诊量大,初诊及复诊均需提前通过医院官方平台(官网、微信公众号或电话)预约,建议提前1-2周安排,尤其是专家号需更早预约。 -
矫正期间出现疼痛或托槽脱落怎么办?
答:矫正初期轻微疼痛属正常现象,一般3-5天可缓解;若疼痛加剧或托槽脱落,需及时联系医生预约复诊,期间避免使用患侧咀嚼,防止牙齿移位影响矫正进程。

