种植牙作为目前公认的缺牙修复最佳方式之一,近年来在福州市的普及率持续提升,越来越多因牙齿缺失影响生活质量的市民选择通过种植牙技术重获健康咀嚼功能,福州市作为福建省省会,医疗资源丰富,口腔医疗市场发展成熟,种植牙技术已形成从公立医院到私立连锁机构的多层次服务体系,市民在选择时可结合自身需求、预算及对技术、服务的要求进行综合考量。
福州市种植牙的市场现状与技术特点
福州市的种植牙服务主要由三类机构提供:公立三甲医院口腔科、大型连锁口腔医院及本土知名口腔诊所,公立医院如福建省立医院、福建医科大学附属协和医院等,依托强大的综合医疗背景,在复杂病例种植(如骨量不足、全口/半口种植)上具有优势,医生团队经验丰富,但存在预约周期长、服务相对流程化等问题,私立机构则凭借灵活的预约制度、舒适化的诊疗环境和多样化的服务套餐(如即刻种植、微创种植),更注重患者体验,部分高端连锁机构还引进了国际先进的数字化种植技术,如3D导板导航、动态导航种植系统,可精准控制种植位置、角度及深度,提升手术安全性与效率。

从技术层面看,福州市主流种植牙技术已与国际接轨,数字化种植是当前趋势,通过CBCT(锥形束CT)获取口腔三维数据,结合口内扫描仪生成数字化模型,医生可在术前模拟种植过程,制定个性化方案,针对牙槽骨条件不佳的患者,骨增量技术(如植骨、上颌窦提升)的应用也较为成熟,为种植体提供稳固的“地基”,即刻种植(拔牙后立即植入种植体)、All-on-4/6全口半口即刻负重等技术,可缩短治疗周期,部分患者可实现“当天种牙、当天戴冠”,快速恢复咀嚼功能。
种植牙的核心流程与关键环节
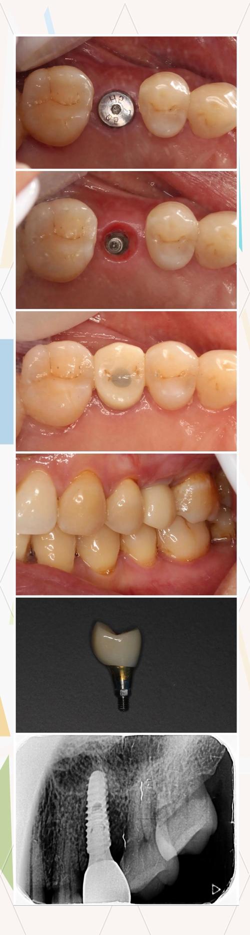
种植牙治疗并非一次性手术,而是一个系统的诊疗过程,通常包括术前检查、方案设计、种植体植入、基台安装、牙冠修复及术后维护六个阶段,整个周期约为3-6个月(具体视个人骨条件和修复方式而定)。
术前检查与评估
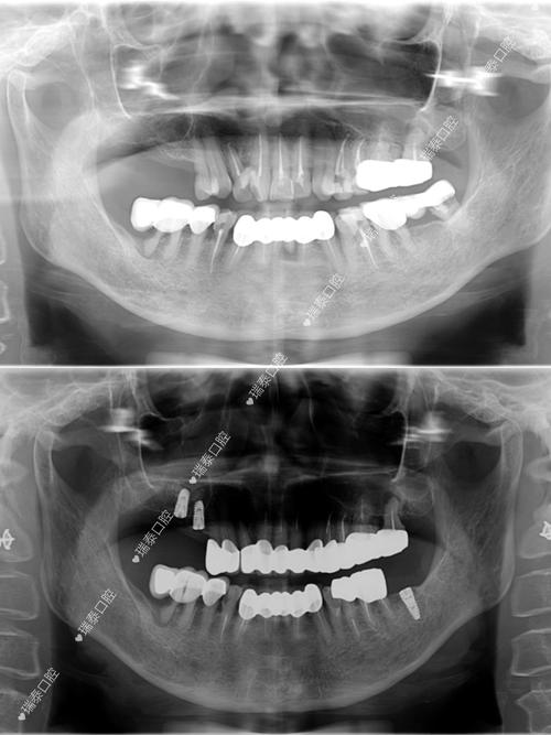
这是种植成功的基础,医生会通过口腔临床检查、CBCT影像、全景片等,评估患者的牙槽骨高度、宽度、密度,以及邻牙健康状况、全身性疾病(如糖尿病、高血压)控制情况,对于骨量不足者,可能需先进行植骨或上颌窦提升术,等待3-6个月骨结合后再进入下一步。
个性化方案设计
结合检查结果与患者需求(如美观、功能、预算),医生确定种植体品牌、型号及修复方式,前牙区更注重美观,可选择全瓷牙冠;后牙区需承受较大咬合力,种植体直径可能更大,数字化导板技术的应用,可让手术方案更精准,减少创伤。

种植体植入术
在局部麻醉下,医生切开牙龈,逐级备洞后将种植体(类似人工牙根)植入牙槽骨内,传统手术需切开翻瓣,而微创种植仅需3-4mm小切口,出血少、恢复快,手术时间约为30分钟-1小时/颗,复杂病例可能更长。
骨结合期
种植体植入后需与牙槽骨发生“骨结合”,通常需3-6个月,期间避免种植体受力,可佩戴临时义齿过渡,部分患者(如骨条件良好者)可选择即刻负重,缩短等待时间。
基台安装与牙冠修复
骨结合完成后,安装基台(连接种植体与牙冠的部分),然后取模制作牙冠,牙冠材料有全瓷、烤瓷、金属等,全瓷牙冠因美观、生物相容性好,成为主流选择,价格约2000-8000元/颗。
术后维护
种植牙虽“假”但需“真”护理,需定期复查(术后1个月、3个月、6个月,之后每年1次),注意口腔卫生,避免咬硬物,以延长使用寿命。

种植牙费用构成与影响因素
福州市种植牙费用差异较大,单颗种植牙总费用通常在8000-30000元不等,主要由三部分构成:种植体(40%-50%)、牙冠(20%-30%)、手术及检查费用(20%-30%)。
种植体品牌
种植体作为核心材料,品牌是影响价格的关键,进口品牌如瑞士Straumann(ITI)、瑞典Nobel Biocare(诺贝尔)属于高端系列,价格约15000-25000元/颗,技术成熟,临床成功率高(10年成功率超95%);中端进口品牌如德国Ankylos(安格斯)、美国Zimmer(捷迈)价格约10000-18000元/颗;国产品牌如威高、百康特等价格较低,约6000-12000元/颗,近年来技术进步明显,性价比高。
牙冠材料
全瓷牙冠(如爱尔创、威兰德)价格较高,约2000-8000元/颗,美观耐用;烤瓷牙冠内层为金属,外层为瓷,价格约1000-3000元/颗,但可能存在金属过敏或牙龈变色风险;金属冠(如钴铬合金)价格最低,约800-2000元/颗,但美观度较差,目前已较少用于前牙区。
机构与医生技术
公立医院种植体及手术费用通常比私立机构高10%-20%,但专家号源紧张;私立机构常推出套餐优惠,且服务更细致,医生经验同样影响费用,资深专家(如主任医师、种植学科带头人)的手术费用可能比普通医生高20%-30%,但复杂病例选择经验丰富的医生可降低风险。
以下为福州市种植牙主要费用构成参考表:
| 项目 | 费用范围(元/颗) | 说明 |
|---|---|---|
| 种植体(进口高端) | 15000-25000 | 如瑞士ITI、瑞典诺贝尔,适合骨条件差、复杂病例 |
| 种植体(进口中端) | 10000-18000 | 如德国Ankylos、美国Zimmer,性价比高,临床应用广泛 |
| 种植体(国产) | 6000-12000 | 如威高、百康特,价格亲民,技术逐渐成熟 |
| 全瓷牙冠 | 2000-8000 | 如爱尔创、威兰德,美观耐用,前牙区首选 |
| 烤瓷牙冠 | 1000-3000 | 内层金属+外层瓷,价格较低,但存在金属过敏风险 |
| 手术及检查费用 | 3000-8000 | 含麻醉、检查、术后药物等,复杂病例(如植骨)需额外收费 |
种植牙的优势与潜在风险
优势:
- 功能与真牙接近:种植体植入牙槽骨,可承受咬合力,咀嚼效率达90%以上,接近天然牙。
- 不损伤邻牙:无需像活动假牙一样磨削邻牙,也不像固定桥一样依赖邻牙支撑。
- 美观自然:牙冠形态、颜色可匹配真牙,无明显异物感。
- 长期稳定:维护得当的种植牙使用寿命可达15-20年以上,部分甚至终身使用。
潜在风险与应对:
- 感染:术后护理不当可能引发种植体周围炎,需严格遵医嘱服用抗生素,保持口腔卫生。
- 神经损伤:下颌种植时可能损伤下牙槽神经,导致下唇麻木,选择经验丰富的医生可降低风险(发生率<1%)。
- 种植体失败:与骨结合不良有关,多因患者有未控制的糖尿病、吸烟或手术感染导致,失败率约2%-5%,失败后可取出种植体,3个月后重新植入。
福州市市民选择种植牙的注意事项
- 机构资质:选择具备《医疗机构执业许可证》且设有口腔科的正规机构,可查询卫健委官网确认机构及医生资质。
- 医生经验:优先选择有种植牙专业培训背景、临床经验丰富的医生(如完成数百例种植手术),可要求查看案例。
- 透明收费:治疗前要求机构提供详细费用清单,明确是否包含种植体、牙冠、手术、检查、复查等费用,避免隐形消费。
- 术后保障:确认机构是否提供种植体质保服务(如质保5-10年),以及出现问题后的处理方案。
相关问答FAQs
Q1:福州市种植牙能用医保报销吗?
A:目前种植牙项目未被纳入福建省医保目录,属于自费项目,但部分机构推出的“普惠型种植牙”套餐可能包含政府补贴(如针对特定人群的惠民项目),具体可咨询当地医保局或机构,种植牙前的相关治疗(如拔牙、牙周治疗)若在医保范围内,可按规定报销。
Q2:种植牙后能正常吃东西吗?需要特别注意什么?
A:种植牙恢复后可正常咀嚼大部分食物,但初期(术后1-3个月)避免咬过硬、黏性食物(如坚果、口香糖),以免种植体受力过大,长期需注意口腔卫生,使用牙线、冲牙器清洁种植牙邻面,每天至少刷牙两次,并定期(每6-12个月)复查,检查种植体周围骨状况及牙冠磨损情况,发现问题及时处理。
