牙齿缺失后,常见的修复方式包括镶牙(活动假牙、固定桥)和种植牙,两者各有适应症和局限性,不少患者因早年选择镶牙,随着时间推移可能出现牙槽骨吸收、邻牙损伤或修复体损坏等问题,进而考虑转为种植牙,镶牙后是否还能种牙?这需要结合镶牙类型、口腔状况、牙槽骨条件等多方面因素综合判断,以下是具体分析。
镶牙后种牙的可行性:关键影响因素
镶牙后能否种牙,核心取决于“剩余牙槽骨条件”“邻牙健康状况”“原修复体类型”以及“口腔卫生维护情况”,不同类型的镶牙对种牙的影响存在差异,需逐一评估:

活动假牙(局部义齿)后种牙
活动假牙通过卡环或基托固位于剩余牙齿和牙槽黏膜上,其长期戴用可能对牙槽骨产生压迫,导致“废用性萎缩”——尤其是缺牙区牙槽骨,因缺乏咀嚼刺激逐渐变窄、变低,骨量不足会直接影响种植体植入。
可行性判断:若活动假牙戴用时间较短(如5年内),牙槽骨吸收不严重,可通过CBCT(锥形束CT)测量骨高度和宽度,若达到种植体植入要求(通常骨高度≥10mm,宽度≥5mm),可直接种牙;若骨量不足,需先进行“植骨术”(如自骨移植、骨粉填充),等待3-6个月骨结合后再种牙。
注意事项:长期戴用活动假牙的患者,可能存在黏膜压痛、基托下沉等问题,需拆除假牙后让黏膜休息1-2个月,再评估口腔健康状况。
固定桥(烤瓷牙/全瓷牙)后种牙
固定桥需磨小缺牙区两侧的邻牙,作为“基牙”支撑桥体,其依赖邻牙的稳固性,若邻牙因龋坏、牙周病或磨耗导致松动、龋坏,固定桥可能失效;固定桥下方易藏匿食物残渣,若清洁不当,可能引发基牙继发龋或牙周炎,影响后续种牙。
可行性判断:
- 基牙健康时:若固定桥的基牙(磨小的邻牙)无松动、无龋坏,牙周健康,可直接在缺牙区植入种植体,无需拆除固定桥,但需注意,种植体植入位置需避免与基牙牙根冲突,可通过CBCT精准设计种植路径。
- 基牙损坏时:若基牙因龋坏或牙周病无法保留,需先拆除固定桥,拔除患牙,待拔牙窝愈合(3-6个月)后再评估种牙,若拔牙后牙槽骨吸收严重,可能需植骨。
风险提示:固定桥的桥体下方无牙根支撑,长期受力可能导致基牙负担过重,增加松动风险,若计划种牙,建议在基牙出现问题前及时处理,避免影响邻牙健康。
镶牙后牙槽骨吸收的应对
无论哪种镶牙方式,长期缺牙后牙槽骨都会自然吸收,这是影响种牙的核心因素,牙槽骨吸收的程度可通过影像学检查判断:
- 轻度吸收(骨高度降低<30%):可通过选择“短种植体”(长度<8mm)或骨增量技术直接种牙;
- 中度吸收(骨高度降低30%-50%):需进行“引导骨再生术”(GBR),用骨膜、骨粉等材料重建骨量;
- 重度吸收(骨高度降低>50%):可能需“上颌窦提升术”(上颌后牙区)或“下牙槽神经管移位术”(下颌后牙区),甚至“牵张成骨术”(复杂病例),治疗周期较长(6-12个月)。
镶牙后种牙的完整流程
若评估后具备种牙条件,需遵循规范的诊疗流程,确保种植成功:

第一步:拆除旧修复体与口腔预处理
- 活动假牙:直接摘除,让黏膜恢复;
- 固定桥:若基牙健康,可保留;若基牙损坏,需拆除并拔除患牙,彻底清洁牙槽窝;
- 处理口腔问题:如治疗牙周炎、控制龋坏、拆除不良修复体边缘刺激等,确保口腔处于健康状态。
第二步:影像学评估与种植方案设计
拍摄CBCT,测量缺牙区骨高度、宽度、密度,以及邻牙、神经管、上颌窦等重要结构的位置;结合口腔模型、咬合关系,设计种植体植入位置、角度、深度,选择合适的种植体系统(如ITI、诺贝尔、奥齿泰等)。
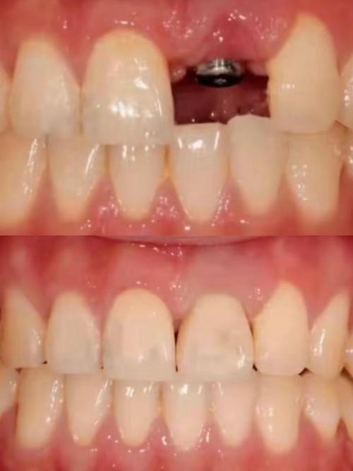
第三步:种植体植入手术
在局部麻醉下,切开牙龈,暴露牙槽骨,逐级备洞后植入种植体(纯钛或钛合金材质),缝合牙龈,手术时间约30分钟-1小时/颗,术后需服用抗生素、止痛药,避免术区咀嚼。
第四步:骨结合与修复
种植体植入后需与牙槽骨“骨结合”(通常3-6个月),期间定期复查确认结合情况;骨结合完成后,安装愈合基台,2-4周后取模,制作牙冠(全瓷、烤瓷或金属冠),最终戴牙并调整咬合。
不同镶牙类型对种牙的影响及处理建议
为更直观对比,以下表格总结常见镶牙类型对种牙的影响及处理要点:

| 镶牙类型 | 对种牙的主要影响 | 处理建议 |
|---|---|---|
| 活动假牙 | 长期压迫导致牙槽骨吸收,黏膜可能受损 | 摘除假牙休息黏膜,评估骨量;骨量不足先行植骨,再种牙 |
| 固定桥(基牙健康) | 桥体下方无骨刺激,缺牙区骨持续吸收 | 保留基牙,直接在缺牙区种牙,注意种植体与基牙牙根间距≥1.5mm |
| 固定桥(基牙损坏) | 需拔除基牙,拔牙窝骨吸收风险高 | 拆除固定桥,拔除患牙,待愈合后植骨(若需要),再种牙 |
| 镶牙后继发龋坏/牙周病 | 基牙或邻牙感染,破坏牙槽骨 | 先治疗牙周病/龋坏,控制感染,必要时拔除患牙,待炎症消退后再评估种牙 |
镶牙后种牙的风险与注意事项
尽管镶牙后种牙在技术上是可行的,但仍需注意以下风险:
- 感染:术前口腔卫生不佳或术中无菌操作不严格,可能导致种植体周围炎,需术前彻底洁牙、术后加强清洁;
- 骨量不足导致种植失败:若未充分评估骨量强行种牙,可能出现种植体松动、脱落,需严格遵循“骨量充足再种牙”原则;
- 邻牙损伤:固定桥磨小的邻牙若已薄弱,种牙过程中可能受刺激,需提前做根管治疗或全冠保护;
- 费用与时间成本:镶牙后种牙可能涉及植骨、上颌窦提升等附加治疗,总费用高于直接种牙(通常增加5000-20000元),治疗周期也可能延长至6-12个月。
相关问答FAQs
Q1:镶了10年的烤瓷牙桥,最近基牙有点疼,还能种牙吗?
A:基牙疼痛可能是继发龋坏或牙周炎的表现,需先拍CBCT和牙片检查,若龋坏较浅,可去除腐质后充填治疗;若龋坏深至牙髓或牙周炎严重,需先做根管治疗并控制炎症,观察3个月,若基牙无法保留,需拆除烤瓷牙桥并拔除基牙,待拔牙窝愈合(3个月)后,评估缺牙区骨量,若骨量充足可直接种牙,不足则先植骨,种牙时需注意种植体与拔牙窝的距离,避免损伤邻牙牙根。
Q2:戴活动假牙20年了,牙床变低变窄,种牙需要先植骨吗?
A:长期戴活动假牙可能导致牙槽骨严重吸收,是否植骨需通过CBCT测量骨高度和宽度,通常种植体植入需骨高度≥10mm、宽度≥5mm,若低于此标准,建议先进行“引导骨再生术”(GBR),用骨粉和骨膜重建骨量,等待3-6个月骨结合后再种牙,植骨后种牙的成功率可达90%以上,但治疗周期较长,需有心理准备。
镶牙后是否能种牙需“个体化评估”,并非绝对禁忌,建议患者到正规医院口腔种植科,通过临床检查和影像学检查明确口腔状况,与医生共同制定治疗方案,确保种植安全与效果。
