暨大穗华口腔作为依托暨南大学医学资源建设的现代化口腔医疗机构,在种植牙领域以“精准、微创、长效”为核心,整合国际前沿技术与资深专家团队,为缺牙患者提供从诊断到维护的一体化解决方案,其种植牙服务不仅覆盖单颗牙缺失、多颗牙缺失及全口无牙颌等多种情况,更通过数字化诊疗流程、个性化方案设计及严格的术后质保体系,成为华南地区种植牙领域的标杆选择之一。
技术优势:数字化引领精准种植
暨大穗华口腔的种植技术以“精准化、微创化、高效化”为特色,全面引入数字化诊疗设备,德国Sirona CBCT可三维立体呈现口腔颌骨结构,精准测量牙槽骨厚度、密度及神经血管位置,误差控制在0.1mm以内;3Shape口内扫描仪替代传统取模,5分钟获取精准牙模,提升患者舒适度;3D打印技术定制手术导板,实现种植体植入角度、深度的精准把控,避免损伤邻牙及神经,针对骨量不足患者,机构开展上颌窦内提升、外提升、骨劈开等植骨技术,结合PRP(富血小板血浆)技术加速骨组织再生,为复杂病例提供可靠解决方案,即刻种植、即刻负重技术的成熟应用,符合条件的患者可实现“当天种牙、当天用牙”,大幅缩短治疗周期。

种植体选择:国际品牌与本土优质方案并行
暨大穗华口腔与全球知名种植体品牌深度合作,提供多元化种植体选择,满足不同患者的需求与预算,以下为主流种植体品牌对比:
| 品牌 | 原产国 | 技术特点 | 适用人群 | 参考价格(元/颗) |
|---|---|---|---|---|
| Straumann(士卓曼) | 瑞士 | SLA表面处理,骨结合速度快,稳定性强 | 骨质良好、追求长期效果者 | 12000-20000 |
| Nobel Biocare(诺贝尔) | 瑞典 | 锥形设计,初期稳定性高,适用即刻种植 | 骨条件一般、需快速修复者 | 15000-25000 |
| Ankylos(安格斯) | 德国 | 内锥形连接,抗旋转,边缘骨吸收少 | 对长期使用稳定性要求高者 | 10000-18000 |
| 莱顿(Leadent) | 中国 | 钛合金材质,性价比高,适应本土口腔 | 预算有限、骨条件尚可者 | 8000-15000 |
除传统种植体外,机构还提供All-on-4/6半口/全口即刻负重技术,仅需植入4-6颗种植体即可支撑半口牙桥,减少手术创伤,实现当天恢复咀嚼功能,为全口无牙患者带来福音。
医生团队:资深专家护航安全种植
暨大穗华口腔种植团队由暨南大学口腔医学院教授、副教授领衔,成员均具备10年以上临床经验,多人拥有美国、德国、瑞士等知名口腔机构进修背景,团队核心医生如张XX教授(擅长复杂骨增量及全口种植)、李XX博士(专注微创即刻种植),累计完成种植案例超万例,针对糖尿病、骨质疏松等系统性疾病患者的种植治疗有丰富经验,术前采用多学科联合会诊(MDT)模式,结合口腔修复、牙周、影像等多领域专家意见,为患者制定个性化、安全化的种植方案,确保手术成功率与远期效果。
服务流程:全周期管理贯穿种牙全程
暨大穗华口腔建立标准化种植服务流程,从初诊到术后维护提供一站式服务,让患者全程安心无忧,具体流程如下:

| 步骤 | 内容说明 | 时长 | 注意事项 |
|---|---|---|---|
| 初诊咨询 | 医生了解患者缺牙情况、病史及需求,解答种植相关问题 | 30分钟 | 携带既往病历,明确自身期望与预算 |
| 口腔检查 | CBCT影像检查、口内扫描、血液检查,评估牙槽骨条件及全身健康状况 | 1-2小时 | 月经期、孕期女性需提前告知,高血压、糖尿病患者需控制病情稳定 |
| 方案设计 | 基于检查数据,3D模拟种植过程,确定种植体型号、数量及手术方案 | 1-2天 | 与医生充分沟通,确认方案细节(如是否植骨、是否选择即刻负重) |
| 术前准备 | 术前检查(血常规、凝血功能等),签署知情同意书,局麻药物准备 | 1小时 | 术前1周戒烟酒,避免服用抗凝药物 |
| 手术实施 | 局麻下植入种植体,数字化导板辅助精准定位,复杂病例联合植骨手术 | 1-2小时/颗 | 术后24小时内避免术区咀嚼,遵医嘱服用抗生素、止痛药 |
| 术后复查 | 1周拆线,3个月复查骨结合情况,确认达标后安装基台与牙冠 | 3-6个月 | 保持口腔卫生,避免术区碰撞硬物,定期复查 |
| 终身维护 | 建立电子档案,提供每年1次免费口腔检查及洁牙服务,跟踪种植牙使用情况 | 长期 | 正确使用牙线、牙缝刷,避免咬坚果、螃蟹壳等硬物 |
价格与保障:透明收费,长效质保
种植牙费用主要由种植体、基台、牙冠三部分构成,根据患者口腔状况(如是否需要植骨、上颌窦提升)、选择的种植体品牌及牙冠材质(全瓷、烤瓷)有所差异,单颗种植牙总费用通常在8000-25000元区间,其中进口种植体占比约70%,暨大穗华口腔严格执行透明收费制度,术前提供详细费用清单,无隐形消费;所有种植体提供5-10年质保,牙冠质保2年,若因材料质量问题或医生技术问题导致失败,免费重新种植;建立终身电子档案,提供术后维护及紧急情况处理服务,让患者“种得放心、用得安心”。
患者案例:真实见证种牙效果
单颗牙缺失修复
王先生,58岁,因下颌第一磨牙缺失导致邻牙倾斜、对颌牙伸长,咀嚼效率下降60%,经检查,牙槽骨骨量尚可,医生推荐Straumann种植体配合全瓷牙冠,手术采用微创技术,植入过程30分钟,术后3个月骨结合良好,完成牙冠修复,如今王先生咀嚼效率恢复90%以上,饮食无限制,直言“就像自己的真牙一样”。
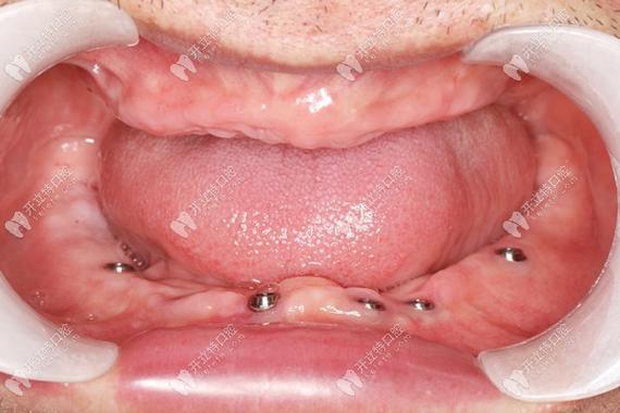
全口无牙颌即刻负重
李阿姨,72岁,全口牙缺失多年,戴活动义齿时常松动、疼痛,无法正常进食,检查发现牙槽骨严重吸收,医生采用All-on-4技术,植入4颗Nobel种植体支撑全口牙桥,当天佩戴临时义齿,3个月后更换永久氧化锆牙冠,李阿姨表示“现在能吃苹果、排骨,生活质量大大提高,整个人都年轻了”。
相关问答FAQs
Q1:暨大穗华口腔种牙需要多长时间?
A:种植牙周期因人而异,通常分为三个阶段:术前准备(1-2周,含检查、方案设计)、种植手术(1-2小时/颗,即刻负重可当天戴牙)、骨结合期(3-6个月,骨质好者可缩短至3个月),若需植骨或骨增量,骨结合期可能延长至6-9个月,数字化技术的应用可大幅缩短非治疗等待时间,部分复杂病例(如All-on-4)全程可在3个月内完成。
Q2:种牙后能用多久?日常需要注意什么?
A:种植牙的寿命与个人口腔维护、材料质量及医生技术密切相关,暨大穗华口腔使用的进口种植体临床10年成功率超95%,若做好日常护理(正确刷牙、使用牙线、定期洗牙),并遵医嘱复查(术后1/3/6个月及每年1次),使用寿命可达20年以上甚至终身,注意事项包括:避免咬硬物(如坚果、螃蟹壳)、控制吸烟(每日吸烟超10支可能影响骨结合)、定期复查,发现问题及时处理,以延长种植牙使用寿命。
