牙拔掉后种植牙是目前修复缺失牙的理想方式,它能恢复牙齿的咀嚼功能、维持面部美观,且不损伤邻牙,但种牙是一个系统性过程,需要严格把控每个环节,才能确保种植成功和长期使用效果,以下从种牙时机、术前准备、手术流程、术后护理、维护及注意事项等方面详细介绍牙拔掉后如何种牙。
拔牙后何时种牙?关键看牙槽骨条件
拔牙后,牙槽骨会经历自然的吸收和改建过程,通常需要3-6个月才能稳定,但具体种牙时间需根据牙槽骨条件决定,主要分为两种情况:

-
即刻种植:适用于拔牙窝无急性感染、骨量充足、牙龈条件良好的患者,拔牙后立即植入种植体,可缩短治疗周期(避免等待3-6个月),减少手术次数,且能最大限度保存牙槽骨,但需严格评估,若拔牙后骨量不足或存在感染,则需转为延期种植。
-
延期种植:若拔牙后牙槽骨严重吸收、存在炎症(如根尖周炎未愈)、或患者有全身性疾病(如未控制的糖尿病),需先控制炎症、待牙槽骨愈合稳定(通常3-6个月)后再种牙,骨量不足者还需先进行植骨手术,等待植骨区域与自体骨融合(约4-6个月)才能种植。
种牙前必须完成的术前准备
种植手术是精细的口腔外科操作,术前需全面评估,确保安全和效果:
-
口腔及全身健康检查:
(图片来源网络,侵删)- 口腔检查:通过口腔全景片、CBCT(锥形束CT)观察牙槽骨的厚度、高度、密度,以及邻牙、神经管、上颌窦的位置,判断是否具备种植条件,同时检查牙周健康状况,若有牙周炎需先治疗,控制炎症后再种牙,避免种植体周围炎。
- 全身检查:高血压、糖尿病患者需控制血压、血糖在安全范围内(血压<140/90mmHg,空腹血糖<8mmol/L);长期服用抗凝药物(如阿司匹林)者需与医生沟通是否调整用药;有严重心脏病、骨质疏松(尤其是长期使用双膦酸盐类药物)等患者,需评估手术风险。
-
口腔清洁与基础治疗:
种植前需进行全口洁牙(洗牙),清除牙菌斑和牙结石;若有龋齿、残根等,需先治疗或拔除;邻牙存在倾斜、移位等问题时,可能需先进行正畸治疗,为种植体预留足够空间。
-
经济与心理准备:
- 了解种植牙的费用(包括种植体、牙冠、手术费等,根据品牌和材料不同,单颗费用约8000-30000元),确认医保报销范围(通常种植体和牙冠不可报销,部分地区的检查费、手术费可部分报销)。
- 种植手术需多次复诊(通常3-6个月),患者需有足够的时间配合,并了解手术过程,消除紧张情绪。
种植牙手术的详细流程
种植手术分为多个阶段,具体步骤如下:

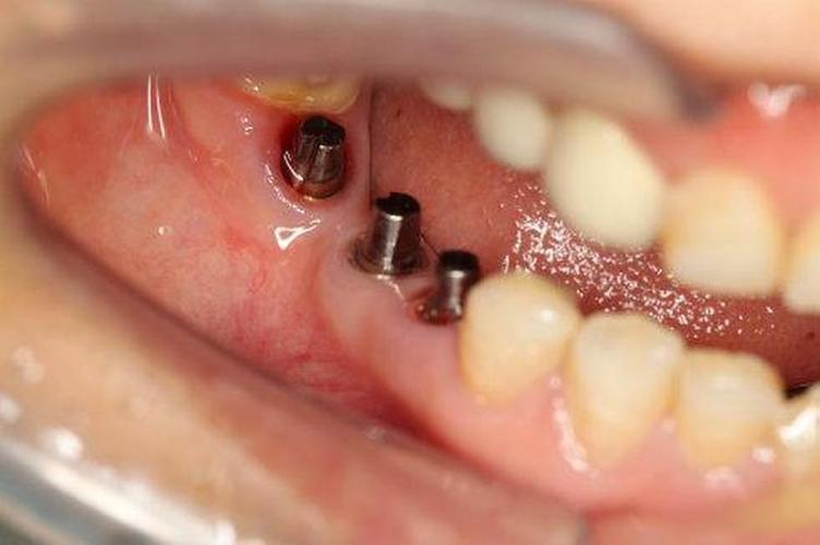
种植体植入(第一次手术)
- 麻醉:局部麻醉下进行,确保手术过程中无痛感。
- 切口与翻瓣:在缺牙区牙龈做小切口,翻开牙龈,暴露牙槽骨。
- 备洞与植入种植体:根据CBCT数据,使用专用钻针逐级扩大牙槽骨,制备适合种植体直径和深度的窝洞,然后将纯钛种植体(生物相容性良好)植入牙槽骨内,缝合牙龈。
- 术后处理:咬棉球压迫止血30分钟,术后24小时内避免刷牙、漱口,遵医嘱服用抗生素预防感染,饮食以温凉流食或半流食为主(如粥、酸奶、果泥)。
骨结合期(等待“长牢”)
种植体植入后,需与牙槽骨发生“骨结合”(骨细胞附着在种植体表面,形成牢固的骨性结合),这是种植成功的关键,骨结合时间因人而异:
- 下颌骨:骨质较致密,骨结合期约3个月;
- 上颌骨:骨质较疏松,骨结合期约4-6个月。
期间需避免种植体受力,不用患侧咀嚼,定期复查(术后1周、1个月、3个月),通过X光观察骨结合情况。
基台安装与牙冠修复(第二次手术及后续)
- 基台安装:骨结合完成后,再次切开牙龈,暴露种植体顶部,安装愈合基台(引导牙龈成形),等待1-2周牙龈愈合。
- 取模与牙冠制作:牙龈成形后,用专用取模材料获取口腔模型,送技工所制作牙冠(材料有全瓷、烤瓷、金属等,全瓷冠美观度高,烤瓷冠强度高,金属冠经济但美观度稍差)。
- 试戴与粘固:牙冠制作完成后,试戴调整形态、颜色和咬合,确认无误后用粘接剂固定在基台上,完成种植修复。
种植牙术后护理与长期维护
种植牙的“寿命”与术后护理密切相关,需注意以下几点:
-
术后短期护理(1-2周):
- 饮食:避免过热、过硬、辛辣食物,戒烟酒(吸烟会降低骨结合成功率,增加失败风险)。
- 口腔卫生:术后24小时后可轻轻刷牙,用漱口水(如氯己定漱口液)保持口腔清洁,术后1周内避免手术区牙刷刺激。
- 肿胀与疼痛:术后24小时内可冷敷面部(每次15分钟,间隔1小时),缓解肿胀;若疼痛明显,可遵医嘱服用止痛药。
-
长期维护:
- 口腔清洁:每天使用巴氏刷牙法刷牙,配合牙线、冲牙器清洁牙缝,种植体周围需用专用牙线(如牙缝刷)彻底清洁,避免食物嵌塞引发种植体周围炎。
- 定期复查:每6个月到1年复查一次,检查种植体周围骨吸收情况、牙龈健康及咬合状态,发现问题及时处理(如种植体周围炎需进行刮治等治疗)。
- 避免不良习惯:不要用种植牙咬硬物(如坚果、骨头),避免夜磨牙(若存在夜磨牙,需佩戴夜磨牙垫)。
种植牙的适应症与禁忌症
并非所有人都适合种牙,需满足以下条件:
- 适应症:单颗、多颗牙缺失;全口牙缺失(种植覆盖义齿或固定义齿);牙槽骨条件良好(或可通过植骨改善);无严重全身性疾病;口腔卫生良好,能配合维护。
- 禁忌症:严重未控制的全身性疾病(如心脏病、肾功能衰竭、凝血功能障碍);骨量严重不足且无法植骨;口腔内有急性炎症(如牙周炎、根尖周炎未愈);长期服用双膦酸盐类药物(如治疗骨质疏松,可能引发颌骨坏死,需谨慎评估);精神疾病或无法配合治疗者。
种植牙的风险与应对
虽然种植牙成功率较高(95%以上),但仍可能出现以下风险:
- 感染:术后护理不当或口腔卫生差引发,需服用抗生素,严重时需清创。
- 种植体松动或脱落:多因骨结合失败、咬合力过大或手术创伤过大,需取出种植体,3个月后重新评估种植。
- 神经损伤:下牙槽神经损伤可能导致下唇麻木,通常可自行恢复,严重时需手术修复。
- 种植体周围炎:类似牙周炎,表现为牙龈红肿、出血、骨吸收,需进行牙周基础治疗(刮治)或手术控制,否则可能导致种植失败。
术前检查项目及意义
| 检查项目 | 与意义 |
|---|---|
| CBCT | 观察牙槽骨厚度、高度、密度,明确神经管、上颌窦位置,避免术中损伤。 |
| 口腔全景片 | 了解全口牙列情况、牙槽骨整体吸收程度,评估邻牙状态。 |
| 血液检查 | 检测血糖、凝血功能、肝肾功能,排除全身性疾病禁忌症。 |
| 牙周检查 | 测量牙周袋深度、牙龈指数,确保牙周健康,避免种植体周围炎风险。 |
相关问答FAQs
Q1:拔牙后马上种牙可以吗?需要满足什么条件?
A1:拔牙后“即刻种植”需满足以下条件:拔牙窝无急性感染(如无脓液、无明显炎症);牙槽骨骨量充足(高度、宽度足够);牙龈形态良好;患者全身健康状况稳定(如无未控制的糖尿病、骨质疏松等),即刻种植的优势是缩短治疗周期(避免等待3-6个月),减少手术次数,且能减少牙槽骨吸收,但若拔牙后骨量不足或存在感染,则需先植骨或控制炎症,待3-6个月后再延期种植,以确保种植体稳定。
Q2:种植牙能用多久?会影响邻牙吗?
A2:种植牙的寿命与个人维护、材料质量、医生技术等因素相关,若维护得当(每天清洁、定期复查),种植牙可使用10-20年,甚至更长时间(有患者使用30年以上),与传统活动假牙或固定桥不同,种植牙是独立植入牙槽骨,不需要磨损邻牙,不会对邻牙造成负担,反而能通过咀嚼刺激牙槽骨,延缓骨吸收,保护邻牙健康,但需注意,若发生种植体周围炎或咬合创伤,可能导致种植体松动、脱落,需及时处理。
