没治疗牙周就种牙是一种违背口腔种植基本原则的做法,可能引发一系列严重后果,直接影响种植牙的成功率、使用寿命甚至口腔健康,牙周病是牙周组织(牙龈、牙周膜、牙槽骨等)的慢性炎症性疾病,若未得到有效控制就进行种植手术,相当于在“地基不稳”的情况下强行“盖房子”,最终可能导致种植失败、感染扩散、邻牙受损等问题。
未治疗牙周病直接种牙的核心风险
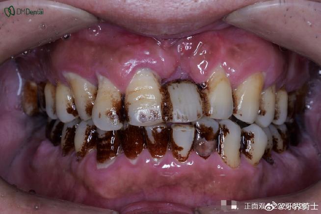
牙周病的核心问题是牙菌斑和牙结石长期堆积,导致牙龈炎症(牙龈炎)进展为深层牙周组织破坏(牙周炎),表现为牙龈出血、牙周袋形成、牙槽骨吸收、牙齿松动甚至脱落,口腔内存在大量致病细菌(如牙龈卟啉单胞菌、具核梭杆菌等),且牙槽骨因吸收而量不足、质量差,这些因素都会对种植牙造成致命威胁,具体风险包括:

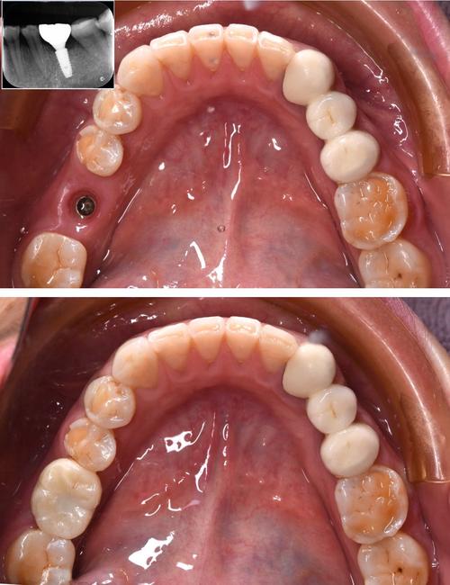
种植体周围炎:种植牙的“头号杀手”
种植体周围炎是种植术后最常见的并发症之一,指种植体周围支持组织发生的炎症,与天然牙的牙周炎病理过程相似,但危害更大,未治疗的牙周病患者口腔内本身存在大量致病菌,种植手术会进一步破坏局部黏膜屏障,细菌易侵入种植体与牙槽骨的界面(种植体-骨结合界面),引发炎症,临床表现为种植体周围牙龈红肿、出血、溢脓,牙周袋形成,X光片显示牙槽骨进行性吸收,最终导致种植体松动、脱落,研究显示,未接受牙周治疗的种植患者,种植体周围炎的发生率比牙周健康者高3-5倍,且病情进展更快,治疗难度更大。
种植初期稳定性不足:骨结合失败的直接原因
种植牙的成功依赖“骨结合”——即种植体与牙槽骨形成牢固的生物学连接,牙周病导致的牙槽骨吸收,尤其是垂直骨吸收或骨量严重不足时,种植体植入后缺乏足够的骨组织支撑,初期稳定性(种植体植入后即刻的机械稳定性)无法保证,初期稳定性是骨结合的前提,若稳定性不足,种植体在咀嚼力晃动下,会与骨组织之间产生微动,阻碍骨细胞附着,最终导致骨结合失败,种植体无法正常负载。
术后感染与创口愈合不良
牙周病患者牙龈组织处于充血、水肿状态,局部抵抗力低下,手术过程中细菌易进入血液或种植区域,引发术后急性感染(如种植术区蜂窝织炎、脓肿),炎症状态会影响微循环,导致创口供血不足,愈合延迟,甚至出现创口裂开、种植体暴露等问题,临床数据显示,未治疗牙周病的患者,术后感染发生率是牙周健康患者的2-4倍,且需要更长时间的抗生素治疗和局部护理。
邻牙继发损伤与口腔功能恶化
牙周病往往呈多颗牙发病,若未治疗就种植某颗缺失牙,邻牙可能已存在不同程度的牙周支持组织破坏,种植体植入时的手术创伤、术后咬合力改变,可能加重邻牙的牙周负担,导致邻牙松动度增加、牙周袋加深,甚至加速邻牙脱落,种植体周围炎的细菌可能通过牙周袋扩散至邻牙,引发继发性牙周炎,最终导致“种一颗牙,坏多颗牙”的严重后果。

二次手术与经济负担加重
因未治疗牙周导致种植失败或并发症后,患者往往需要更复杂的二次治疗:若骨量不足,需先进行植骨手术(如引导骨再生术、上颌窦提升术),等待3-6个月骨愈合后再重新种植;若出现种植体周围炎,需进行牙周刮治、植骨甚至取出种植体,这些治疗不仅延长了治疗周期(从常规的3-6个月延长至1年以上),也大幅增加了经济成本(植骨手术费用约为种植手术的1.5-2倍),且二次种植的成功率通常低于首次种植。
未治疗牙周病直接种牙的风险总结
为更直观展示风险,以下表格归纳主要风险类型、具体表现及后果:
| 风险类型 | 具体表现 | 可能后果 |
|---|---|---|
| 种植体周围炎 | 种植体周围牙龈红肿、出血、溢脓,牙周袋深度>5mm,X光片显示骨吸收 | 种植体松动、脱落,需取出种植体并植骨,可能无法保留种植牙 |
| 初期稳定性不足 | 种植体植入后晃动明显,术后早期(1-3个月)种植体周围透影宽度增加 | 骨结合失败,种植体无法承受咬合力,需手术取出 |
| 术后感染 | 术区持续疼痛、肿胀、溢脓,伴发热,白细胞计数升高 | 创口不愈合,种植体暴露,需抗生素治疗及清创,严重时需取出种植体 |
| 邻牙继发损伤 | 邻牙松动度增加,牙周袋加深,牙龈出血,X光片显示邻牙牙槽骨吸收加速 | 邻牙脱落,需额外治疗邻牙(如根管治疗、牙周刮治),增加治疗复杂度 |
| 二次手术负担 | 需进行植骨、上颌窦提升等附加手术,治疗周期延长至1年以上 | 费用增加(总费用可能比常规种植高50%-100%),患者痛苦及心理负担加重 |
种植牙前牙周治疗的正确流程
牙周病并非种植牙的绝对禁忌症,但必须经过系统治疗,将牙周炎症控制在稳定状态,才能保障种植安全,标准流程包括:
全面牙周检查与诊断
通过牙周探诊(测量牙龈出血指数、牙周袋深度、附着丧失水平)、X光片(曲面断层片、根尖片)或CBCT(评估牙槽骨量、密度)明确牙周病严重程度,判断是否存在全身危险因素(如糖尿病、吸烟等)。

牙周基础治疗
所有牙周病患者需先完成基础治疗,包括:①龈上洁治(洗牙):清除牙菌斑、牙结石;②龈下刮治与根面平整:清除牙周袋内的牙结石、菌斑及病变牙骨质,消除炎症刺激;③菌斑控制指导:正确刷牙(巴氏刷牙法)、使用牙线、牙缝刷等,维护口腔卫生,基础治疗后需复查,确认牙龈炎症消退(出血指数≤1,牙周袋深度≤3mm)。
牙周系统治疗
对于中重度牙周炎(牙周袋深度≥5mm,附着丧失≥4mm),基础治疗后可能需进一步系统治疗,如:①牙周手术:翻瓣术、牙龈切除术等,彻底清除深部病灶;②松动牙固定:对松动明显但可保留的牙齿进行牙周夹板固定;③全身因素控制:如糖尿病患者需控制血糖(空腹血糖≤7mmol/L),吸烟者需戒烟(吸烟是种植体周围炎的高危因素)。
牙周维护与种植时机评估
牙周治疗稳定后(通常需3-6个月的维护期,定期复查每3-4个月一次),再次评估牙槽骨量、牙周状况,若牙槽骨量充足(种植区骨高度≥10mm,厚度≥5mm),无活动性炎症,方可进行种植手术,若骨量不足,需先植骨,待骨愈合后再种植。
种植术后牙周维护
种植手术后,患者需坚持每日口腔卫生维护,并定期进行专业牙周维护(每3-6个月一次),包括种植体周围专业清洁、菌斑控制指导,预防种植体周围炎发生。
没治疗牙周就种牙是一种“本末倒置”的行为,牙周病是种植牙的“隐形杀手”,不仅会大幅降低种植成功率,还可能引发更严重的口腔问题,种植牙的成功并非仅依赖手术技术,更依赖于充分的术前准备,尤其是牙周健康状态的保障,患者需树立“先治牙周,再种牙”的正确观念,与口腔医生密切配合,完成系统牙周治疗后,才能获得长期稳定的种植效果,真正实现“种一颗牙,保一辈子牙”的目标。
相关问答FAQs
问题1:我之前有牙周炎,现在牙龈不出血了,可以直接种牙吗?
解答:牙龈不出血不代表牙周病已治愈,牙周炎的治愈标准不仅是牙龈无出血,还需牙周袋深度≤3mm、无附着丧失进展、牙槽骨稳定,建议先进行牙周检查(包括牙周探诊和X光片),若医生确认牙周处于稳定期(通常需维护3-6个月以上无复发),方可考虑种植,切勿仅凭主观症状判断,避免残留的慢性炎症影响种植效果。
问题2:牙周治疗到种牙一般要间隔多久?为什么不能马上种?
解答:牙周治疗后到种牙的间隔时间需根据牙周病严重程度而定:轻度牙周炎(仅牙龈炎,无牙周袋)基础治疗后1-2个月即可评估种植;中重度牙周炎(牙周袋深度≥5mm,有骨吸收)需先进行系统治疗(如刮治、手术),待牙周稳定后维护3-6个月,再评估骨量和炎症情况,间隔时间是为了让牙周组织充分愈合,消除炎症,降低种植后感染和种植体周围炎风险,同时观察牙槽骨是否稳定(避免骨吸收进展),若未间隔足够时间就种植,慢性炎症可能持续存在,导致种植失败。
