吉林大学口腔医院作为吉林省口腔医学领域的权威机构,在种植牙技术方面积累了数十年的临床经验,是众多缺牙患者信赖的选择,其种植牙中心汇聚了一支由教授、博士生导师领衔的专家团队,配备了国际先进的诊疗设备,如德国Sirona CBCT、3D打印数字化导板系统等,能够为患者提供从术前评估到术后维护的一站式种植服务。
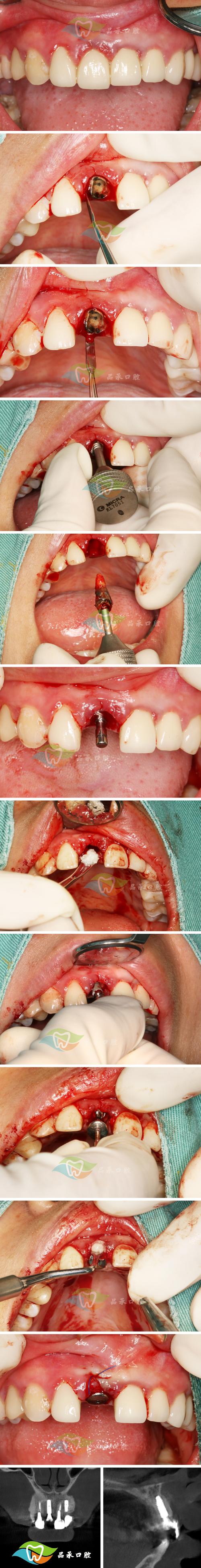
种植牙的核心在于精准与安全,吉大口腔严格遵循国际标准,采用“数字化精准种植”理念,术前,通过CBCT获取口腔三维数据,结合数字化导板技术,可精准规划种植体的植入位置、角度和深度,避开重要神经血管,最大限度降低手术风险,术中,采用微创技术,仅需3-4mm的小切口即可完成种植体植入,创伤小、出血少,术后恢复速度快,种植体材料均选用国际知名品牌,如瑞典Nobel、瑞士Straumann、韩国Osstem等,这些材料具有生物相容性好、稳定性高、使用寿命长等特点,能有效保障种植牙的长期使用效果。

针对不同患者的口腔条件,吉大口腔提供个性化种植方案,对于牙槽骨条件良好的患者,可采用常规种植技术,3-6个月完成骨结合后安装牙冠;对于牙槽骨萎缩的患者,可结合骨增量技术(如植骨、上颌窦提升等),为种植体提供足够骨支持;对于希望快速恢复咀嚼功能的患者,即刻种植技术可实现“即拔即种”,大大缩短治疗周期,针对全口无牙患者,还可开展All-on-4/6即刻负重技术,仅需植入4-6颗种植体即可支撑整排牙冠,实现当天种牙、当天戴牙的修复效果。
在价格方面,吉大口腔严格执行物价部门标准,收费透明合理,单颗种植牙价格根据种植体品牌、牙冠材料及个人口腔条件差异,大致在8000元-30000元不等,韩国种植体(如登腾、奥齿泰)性价比较高,单颗价格约8000-15000元;欧美高端种植体(如瑞典诺贝尔、瑞士Straumann)临床应用更广泛,单颗价格约20000-30000元,若需植骨或附加其他治疗,费用会相应增加,但所有项目均会提前告知明细,避免隐形消费。
术后维护是保障种植牙长期使用的关键,吉大口腔为每位患者建立终身档案,提供定期复查和口腔维护指导,建议患者术后3个月、6个月复查一次,之后每年复查一次,同时保持良好的口腔卫生习惯,正确使用牙线、冲牙器等工具,避免咀嚼过硬食物。
种植牙流程及时间参考
| 步骤 | 时长 | |
|---|---|---|
| 术前检查 | 口腔检查、CBCT拍摄、全身健康评估 | 1-2小时 |
| 方案设计 | 数字化导板设计、种植方案确定 | 3-7天 |
| 种植手术 | 局部麻醉、植入种植体、缝合 | 30分钟-2小时/颗 |
| 骨结合期 | 种植体与牙槽骨融合 | 3-6个月 |
| 戴牙冠 | 取模、制作牙冠、安装 | 1-2周 |
相关问答FAQs
Q1:种植牙能用多久?需要定期更换吗?
A:在吉大口腔,种植牙的使用寿命与患者的口腔维护、生活习惯及种植体质量密切相关,若术后保持良好口腔卫生,定期复查,种植体使用年限可达20年以上,甚至终身使用,牙冠部分若出现磨损或损坏,可根据情况单独更换,无需重新植入种植体。

Q2:种植牙手术会很疼吗?术后恢复期多久?
A:种植手术采用局部麻醉,术中基本无疼痛感,术后可能出现轻微肿胀、疼痛,类似拔牙后的反应,通常3-5天可缓解,可通过冰敷和止痛药物控制,恢复期因人而异,一般术后1周可恢复正常饮食,完全恢复咀嚼功能需1-3个月,具体时间取决于个人体质和手术复杂程度。

