口腔正畸病例范本是临床诊疗、教学及科研中规范化记录患者信息、诊断过程和治疗计划的重要工具,其核心在于系统化、全面化呈现患者的口腔状况及诊疗逻辑,为个体化治疗提供依据,以下从病例构成要素、各模块详细说明及示例表格等方面展开,力求为正畸从业者提供清晰的参考框架。
患者基本信息
患者基本信息是病例记录的起点,需准确、完整,便于后续追踪和资料归档,包括:姓名、性别、年龄(精确到岁月,如“12岁3个月”)、联系方式、就诊日期、病历号、主诉记录者(患者/家长/医生)。“患者张某,女,13岁5个月,因‘牙齿不齐2年’就诊,由母亲代述主诉,记录医生:李某,就诊日期:2025年10月15日。”

主诉
主诉是患者就诊的主要原因,需用简练语言概括核心问题,突出主要症状和持续时间,通常不超过20字,需体现“部位+问题+时长”。“上颌前牙前突,下牙拥挤1年”;“后牙反颌,咀嚼不适3年”,若患者存在多个问题,需按主次排序,如“牙列拥挤伴上颌前牙间隙2年,下颌后缩1年”。
现病史
现病史需详细描述疾病的发生、发展、诊疗过程及现状,包括:问题起始时间、诱因(如替牙障碍、不良习惯)、进展情况(是否加重)、曾接受的治疗(如是否戴过矫治器、是否拔牙)、治疗效果及当前主要症状(如疼痛、发音障碍、美观困扰等)。“患者替牙期(10岁)发现上颌前牙间隙,未重视,12岁时间隙自行关闭,但出现上颌前牙前突、下牙拥挤,无疼痛或咀嚼障碍,未接受过正畸治疗,现为改善美观就诊。”
既往史与全身病史
既往史
包括既往口腔疾病史(如龋齿、牙周炎、牙外伤史,需记录患牙位置、治疗情况)、正畸治疗史(如有,需说明矫治类型、时长、疗效及复发情况)、口腔修复史(如嵌体、冠桥等)。
全身病史
重点询问系统性疾病(如糖尿病、心脏病、出血性疾病)、过敏史(药物、材料)、遗传病史(如家族中是否有类似错颌畸形)、特殊用药史(如长期服用抗凝药物、激素类药物),这些可能影响正畸治疗方案的制定和安全性。“患者有轻度过敏性鼻炎,未长期用药;无家族遗传病史;对青霉素过敏。”

临床检查
(一)面部检查
通过视诊、触诊评估面部软组织对称性、比例及动态功能。
- 正面观:观察面部是否对称,颊部、下颌角是否丰满,中线是否与面部中线一致(如颏部、上颌切牙中线偏斜情况)。
- 侧面观:评估侧貌凸度(直面型、凸面型、凹面型),鼻唇颏关系(唇突度、颏部位置),面部1/3、中1/3、下1/3高度比例。
- 唇部功能:自然状态下上下唇闭合情况(有无露龈笑、唇外翻),微笑时上唇暴露量(理想为上切牙2/3-3/4)。
(二)口腔内检查
牙齿数目与形态
- 数目:记录恒牙列(28-32颗)或混合牙列(乳牙、恒牙共存)情况,有无先天缺牙(如上颌侧切牙缺失)、多生牙(如正中多生牙)、阻生牙(如智齿阻生)。
- 形态:观察牙齿有无畸形(如锥形牙、融合牙)、釉质发育不全、龋坏(记录龋齿部位、程度)、氟斑牙、四环素牙等。
牙齿排列与咬合
- 排列:牙列拥挤度(按“轻度(I°,拥挤度<4mm)、中度(II°,4-8mm)、重度(III°,>8mm)”分级)、牙齿扭转(如上颌中切牙扭转)、间隙(如散在间隙、集中间隙)。
- 咬合:
- 覆颌:上前牙切缘覆盖下前牙唇面的垂直距离(正常为浅覆颌,上前牙覆盖下前牙牙冠长度1/3以内;深覆颌分为I°-III°)。
- 覆盖:上前牙切缘至下前牙唇面的水平距离(正常为浅覆盖,3mm以内;深覆盖分为I°-III°)。
- 磨牙关系:按安氏分类记录(安氏I类:上下颌第一磨牙中性关系;安氏II类:上颌第一磨牙近中咬合于下颌第一磨牙近中颊尖;安氏III类:上颌第一磨牙远中咬合于下颌第一磨牙近中颊尖)。
- 中线:上下颌牙弓中线是否一致,与面部中线的关系(偏斜方向及距离)。
牙周组织
检查牙龈色泽(粉红、无红肿)、牙周探诊深度(正常≤3mm)、有无附着丧失、牙松动度(I°-III°),评估牙周健康状况(如是否有青少年牙周炎等禁忌正畸的情况)。
口腔黏膜与功能
观察唇、颊、腭、舌黏膜有无异常(如溃疡、白斑、增生),颞下颌关节区有无压痛、弹响、张口受限(记录张口度:正常3.7-4.5cm)。
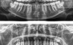
(三)影像学检查
X线片
- 全景片(曲面断层片):观察全口牙根形态、位置,有无根吸收、囊肿、多生牙、阻生牙,牙槽骨高度(判断牙周支持情况)。
- 头颅侧位片:用于头影测量分析(详见表1),评估骨性错颌类型(如骨性I/II/III类)、牙齿倾斜度、软组织侧貌。
- 根尖片:用于个别牙的牙根及牙槽骨评估(如怀疑根吸收时)。
其他检查
如CBCT(用于复杂病例,如骨性畸形手术前评估、埋伏牙定位)、口腔扫描(获取数字化模型,用于方案设计及效果预测)。

(四)模型分析
记存模型是正畸治疗的重要参考,需记录:
- 牙弓长度:上下颌牙弓总长度(从第一磨牙到对侧第一磨牙的距离)。
- 牙弓宽度:尖牙间宽度、第一磨牙间宽度。
- 拥挤度计算:现有牙弓长度-必需牙弓长度(正值代表拥挤,负值代表间隙)。
- Spee曲线深度:下颌Spee曲线最低点至下颌下缘的垂直距离(正常1-2mm,过深则需打开咬合)。
表1 常用头影测量项目及正常值
| 项目 | 测量内容 | 正常值范围 |
|---------------------|-----------------------------------|------------------|
| SNA(上颌骨-前颅底角)| 上颌基骨与颅骨的前后位置关系 | 82°±3° |
| SNB(下颌骨-前颅底角)| 下颌基骨与颅骨的前后位置关系 | 80°±3° |
| ANB(上颌-下颌角) | 上下颌骨的相对位置关系 | 2°±2° |
| U1-NA(上中切牙-NA角)| 上中切牙倾斜度 | 22°±2° |
| L1-NB(下中切牙-NB角)| 下中切牙倾斜度 | 25°±2° |
| U1-L1(上下中切牙角)| 上下中切牙之间的交角 | 125°±8° |
诊断
诊断需基于临床检查、影像学及模型分析,明确“问题列表”,包括:
- 牙性诊断:如“牙列拥挤(中度)”、“深覆颌(II°)”、“深覆盖(III°)”。
- 骨性诊断:如“骨性I类”、“骨性II类1分类(上颌前突,下颌后缩)”。
- 功能性诊断:如“功能性下颌后缩”、“口呼吸习惯”。
- 软组织诊断:如“上唇前突(鼻唇角<90°)”、“颏部后缩”。
示例诊断:“1. 安氏II类1分类错颌;2. 骨性II类(ANB 5°),下颌后缩;3. 牙列拥挤(上颌II°,下颌I°);4. 深覆盖(8mm),深覆颌(II°);5. 软组织侧貌凸(鼻唇角85°)。”
治疗计划
治疗计划需结合诊断、患者年龄、生长发育阶段、美观及功能需求制定,明确:
- 治疗目标:如“排齐牙列,解除拥挤;调整磨牙关系至中性;改善深覆盖、深覆颌;协调软组织侧貌”。
- 治疗设计:
- 是否拔牙:如“拔除上下颌第一前磨牙(14、24、34、44),为排齐牙列及内收前牙提供间隙”。
- 矫治器选择:如“传统金属托槽矫治器”、“自锁托槽”、“隐形矫治器”、“功能矫治器(如Twin-block)”。
- 辅助治疗:如“扩弓(上颌螺旋扩弓器)、种植支抗、唇挡纠正口呼吸习惯”。
- 治疗流程:分阶段说明,如“第一阶段(排齐整平,0-6个月):0.014镍钛丝;第二阶段(关闭拔牙间隙,6-18个月):0.019×0.025不锈钢丝滑动法关闭间隙;第三阶段(精细调整,18-24个月):更换细丝调整咬合”。
- 疗程与复诊:预计总疗程(如24个月),复诊间隔(如4-6周/次)。
- 风险与告知:如“可能出现牙根吸收(发生率约5%)、复发(需长期保持)、疼痛等,治疗前已充分告知”。
治疗过程与疗效评价
(一)治疗过程
按时间节点记录每次复诊的操作(如更换弓丝、调整牵引力)、患者反应(如疼痛、溃疡)、影像学及模型变化,“治疗6个月:上下颌0.019×0.025镍钛丝,牙列基本排齐,Spee曲线整平;治疗12个月:滑动法关闭拔牙间隙,上颌尖牙达中性关系;治疗18个月:精细调整,上下颌牙尖交错位稳定,覆覆盖正常”。
(二)疗效评价
- 临床检查:牙齿排列整齐,无拥挤、扭转;咬合关系正常(磨牙中性,覆覆盖正常);牙周健康,探诊深度≤3mm。
- 影像学检查:全景片示牙根平行,无根吸收;头颅侧位片示ANB角改善至3°,上下中切牙倾斜度正常。
- 患者满意度:患者及家长对美观及功能改善满意。
保持
正畸治疗后需保持,防止复发,包括:
- 保持器类型:如“Hawley保持器(活动)”、“透明压膜保持器(活动)”、“固定舌侧保持丝”。
- 佩戴时间:“前6个月全天佩戴,之后夜间长期佩戴(至少2年)”。
相关问答FAQs
问题1:正畸治疗中必须拔牙吗?拔牙会影响脸型吗?
解答:是否拔牙需根据患者具体情况(如拥挤度、骨型、侧貌)综合判断,并非必须拔牙,当存在严重牙列拥挤(拥挤度>8mm)、前突明显(深覆盖>8mm)、骨性不调需代偿性矫正等情况时,拔牙可为牙齿移动提供间隙,改善咬合及侧貌,拔牙通常选择第一前磨牙(对功能及美观影响较小),拔牙后通过内收前牙,可改善“凸面型”,脸型不会变“瘪”,反而可能因肌肉张力更协调而更美观,若患者骨性正常、拥挤度轻,可通过扩弓、邻面去釉等非拔牙方式解决,需医生评估后选择。
问题2:隐形矫治和传统托槽矫治有什么区别?如何选择?
解答:隐形矫治采用透明高分子材料制作可摘戴矫治器,通过计算机模拟牙齿移动过程,美观度高、舒适(无托槽刺激)、方便清洁(可自行摘戴),但需患者高度配合(每天佩戴20-22小时),适用于轻度至中度错颌(如拥挤、简单深覆盖),传统托槽矫治(金属/陶瓷托槽)通过弓丝和结扎丝施力,适用范围广(包括复杂病例、骨性畸形需强支抗者),复诊间隔短(4-6周),但美观度较低、口腔异物感较强,选择时需结合错颌类型、患者年龄、美观需求、配合度及经济条件,青少年复杂骨性畸形可能更适合传统托槽+支钉,而成人轻度拥挤且注重美观者可优先考虑隐形矫治。
