正畸关闭间隙矫正是口腔正畸治疗中的常见技术,主要针对牙齿间出现的异常缝隙(如先天缺牙、牙周病导致的牙齿移位、拔牙后的间隙等),通过施加持续、轻柔的生物力,引导牙齿向牙槽骨内缓慢移动,最终实现间隙关闭、排列整齐及咬合功能恢复,以下通过一个具体实例,详细阐述其治疗流程与技术要点。
实例背景
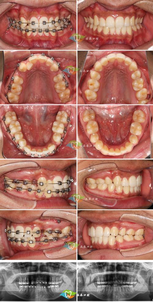
患者为28岁女性,主诉“上颌前牙牙缝过大,影响美观”,临床检查发现:上颌中切牙与侧切牙间各存在3mm间隙,尖牙与第一前磨牙间2mm间隙,下牙列排列整齐,磨牙关系中性,全口曲面断层片示:上颌侧切牙牙根形态正常,无先天缺失;牙周探诊深度2-3mm,无附着丧失;头影测量显示上颌前牙牙槽骨厚度充足,诊断:安氏I类错牙合,上颌前牙散在间隙(牙周健康型)。

治疗流程与技术应用
初诊设计与准备
治疗前需完成详细检查:制取研究模型、拍摄头颅侧位片及曲面断层片、拍摄口内及面部照片,分析后明确:关闭间隙需解决“牙齿近中移动”与“支抗控制”两大核心问题,方案设计:
- 支抗设计:选择“微种植体支抗+传统托槽”联合模式,在上颌颧牙槽嵴区植入直径1.6mm、长度8mm的微种植体(作为绝对支抗),避免后牙前移;
- 矫治器选择:上颌使用0.022英寸×0.028英寸槽沟的金属托槽,下颌保留观察(因下牙列无间隙);
- 关闭间隙方式:采用“滑动法”,即通过弓丝与托槽的滑动摩擦,将前牙整体向近中移动。
排齐与整平阶段(1-2个月)
先放置0.014英寸镍钛圆丝,解除牙齿扭转与轻度拥挤;更换0.016英寸镍钛方丝,将牙弓整平至Spee曲线平坦,此阶段需重点监控牙龈健康,避免托槽边缘刺激牙龈引发炎症。
关闭间隙阶段(6-8个月)
待牙弓完全整平后,换入0.019×0.025英寸不锈钢方丝,将微种植体与侧切牙托槽间用结扎丝“垂直关闭曲”或“镍钛螺旋弹簧”连接(施加100-150g持续力),每月复诊1次,通过测量牙缝变化调整加力力度:
- 第1-2个月:牙缝缩小1.5mm/侧,牙齿无明显倾斜;
- 第3-4个月:牙缝剩余1mm/侧,需精细控制牙根平行;
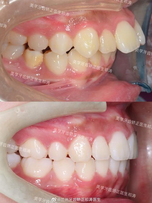
- 第5-6个月:间隙完全关闭,拍摄根尖片确认牙根无吸收,牙槽骨改建正常。
精细调整与保持阶段(2-3个月)
关闭间隙后,更换0.019×0.025英寸钛镍方丝进行“三向调整”(转矩、轴倾、垂直向),确保前牙覆牙合覆盖正常、中线对齐,拆除矫治器后,制作透明压膜保持器(上下颌),要求24小时佩戴(进食除外),6个月后改为夜间佩戴,持续1-2年。

常见关闭间隙技术比较
| 技术类型 | 适用情况 | 优点 | 缺点 | 平均关闭时间 |
|---|---|---|---|---|
| 滑动法 | 单/多间隙,需整体移动 | 操作简便,复诊间隔灵活 | 对支抗要求高,易出现牙齿倾斜 | 6-10个月 |
| 关闭曲法 | 单个间隙,需精细控制 | 力值稳定,牙根平行度好 | 复诊频繁(需每月调整曲度) | 4-8个月 |
| 微种植体支抗 | 复杂病例(如拔牙后间隙) | 支抗绝对,可独立控制牙齿移动 | 需植入手术,存在种植体松动风险 | 5-9个月 |
注意事项
- 口腔卫生维护:托槽周围易堆积食物残渣,需使用正畸专用牙刷、牙线棒,避免牙龈炎或釉质脱矿;
- 饮食禁忌:避免啃硬物(坚果、骨头)、黏性食物(口香糖),防止托槽脱落影响疗程;
- 定期复诊:未按时复诊可能导致牙齿移动停滞或异常,延长治疗时间;
- 保持器重要性:牙齿移动后牙槽骨改建需6-12个月,不戴保持器极易复发。
相关问答FAQs
Q1:正畸关闭间隙一定会导致“黑三角”吗?
A1:不一定。“黑三角”多因牙龈萎缩、牙冠形态异常(如牙齿呈锥形)或牙槽骨吸收导致,治疗前通过牙周检查评估牙龈状况,治疗中控制牙齿移动速度(避免过快引发牙槽骨改建不足),可降低风险,若已出现,可通过修复(树脂贴面、全瓷冠)改善美观。
Q2:关闭间隙后牙齿会反弹吗?如何预防?
A2:可能反弹,牙齿移动后,牙周纤维与牙槽骨需时间重建稳定性,若治疗中牙龈组织未完全恢复、或保持器佩戴不当,易复发,预防措施:① 保持器严格按医嘱佩戴;② 治疗结束后定期复查(每3-6个月1次);③ 维护口腔卫生,避免牙周炎导致牙齿移位。

