上海同济医院作为同济大学附属的综合性三级甲等医院,其口腔科在牙齿正畸领域积累了数十年的临床经验,依托医院强大的医疗资源和科研实力,已形成集诊断、设计、治疗、随访于一体的正畸诊疗体系,每年为数千名各类牙齿错颌畸形患者提供专业服务,科室以“功能与美学并重”为理念,结合数字化技术与个性化方案,致力于帮助患者实现牙齿健康与面部美观的双重改善。
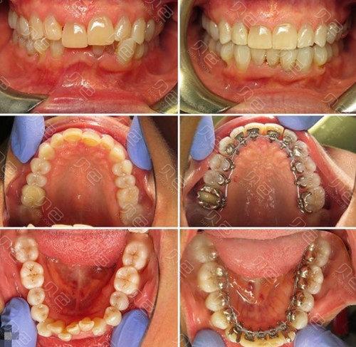
在技术层面,同济医院口腔科紧跟国际前沿,全面开展数字化正畸技术,科室配备德国Sirona CBCT、美国3Shape口内扫描仪等先进设备,可实现牙齿、颌骨的三维精准成像,通过计算机辅助设计(CAD/CAM)制定个性化方案,针对不同需求,提供金属自锁托槽矫正、陶瓷半隐形矫正、隐形无托槽矫正(如时代天使、隐适美等多种品牌)以及舌侧矫正等技术,覆盖青少年及成人各类错颌畸形的矫正需求,专家团队方面,科室拥有正畸专业主任医师3名、副主任医师5名,其中80%以上医生具有博士学位或海外留学经历,核心成员担任中华口腔医学会正畸专委会委员、上海市口腔医学会正畸专委会常委等学术职务,确保诊疗方案的科学性与权威性。

个性化方案制定是同济医院正畸的核心优势,医生会结合患者的年龄、牙齿畸形类型、面部美学比例、牙周健康状况及个人需求,综合运用头影测量分析、模型分析、面部三维扫描等多维度数据,制定“一人一策”的治疗计划,对于青少年患者,会重点关注生长发育潜力,采用生长改良联合固定矫正技术,引导颌骨正常发育;对于成人患者,则更注重咬合功能与面部美学的协调,结合牙周治疗实现健康与美观的双重目标。
服务流程上,医院推行“首诊负责制”与“全程管理”模式,患者初诊时,医生会进行全面的口腔检查(包括口腔卫生、牙周状况、颞下颌关节等),拍摄X线片(根尖片、曲面断层片,必要时加拍CBCT),取研究模型,并记录面部及口内照片,随后通过多学科会诊(如涉及正颌外科、修复科等复杂病例),确定最终治疗方案并详细沟通治疗周期、费用及预期效果,治疗过程中,患者需定期复诊(一般4-6周一次),医生会根据牙齿移动情况调整矫治力,全程监控牙齿移动速度与颌骨变化,矫正结束后,进入保持阶段,医生会根据患者情况制作保持器(如Hawley保持器、透明压膜保持器等),并指导佩戴方法及随访计划,防止复发。
牙齿正畸的适应症广泛,主要包括:牙列拥挤(牙齿过多导致排列不齐)、牙列稀疏(牙弓内存在间隙)、龅牙(上颌前突,俗称“凸嘴”)、地包天(反颌,下前牙咬在上前牙外侧)、深覆颌(上前牙覆盖下前牙过多)、深覆盖(上前牙突出下前牙较远)、开颌(上下前牙无法咬合,存在垂直间隙)、中线偏斜(上下牙列中线不一致)以及因牙齿问题导致的发音障碍、咀嚼功能下降等,部分正畸患者还可能需要与正颌外科联合治疗,严重骨性畸形患者需通过手术矫正颌骨位置,再进行正畸精细调整。
治疗期间的注意事项直接关系到矫正效果,首先是口腔卫生,佩戴固定矫治器时,需使用正畸专用牙刷、牙间刷、冲牙器等工具,每天至少刷牙三次,每次三分钟,避免食物残渣堆积导致龋齿或牙周炎;隐形矫正需每日佩戴20-22小时,进食、刷牙时取下,避免用热水清洗牙套,防止变形,其次是饮食禁忌,固定矫正期间应避免过硬(如坚果、骨头)、过黏(如口香糖、年糕)的食物,防止托槽脱落;隐形矫正虽可摘戴,但仍需避免饮用含糖饮料(以免引发龋齿)和有色饮料(以免牙套染色),复诊时间需严格遵守,若因特殊情况无法按时复诊,应提前与医生联系,调整复诊计划,以免延长治疗周期,若出现托槽脱落、弓丝刺嘴等紧急情况,可使用正畸蜡临时保护,并及时就医处理。

费用方面,牙齿正畸的价格因技术类型、病例复杂程度及治疗周期而异,以下是常见矫正方式的参考价格(单位:元):
| 矫正方式 | 简单病例(轻度拥挤/间隙) | 复杂病例(骨性畸形/严重拥挤) |
|----------------|--------------------------|--------------------------|
| 金属自锁托槽 | 15000-25000 | 25000-35000 |
| 陶瓷半隐形 | 20000-30000 | 30000-40000 |
| 隐形矫正(国产)| 25000-40000 | 40000-55000 |
| 隐形矫正(进口)| 35000-50000 | 50000-65000 |
| 舌侧矫正 | 50000-80000 | 80000-100000 |
注:以上费用包含矫治器费用、医生诊疗费、复诊费及保持器费用,不包含拔牙、牙周治疗等额外费用,具体以医院面诊报价为准。
FAQs
-
成年人正畸和青少年正畸有什么区别?
答:成年人正畸与青少年正畸的主要区别在于颌骨条件与治疗目标,青少年处于生长发育期,颌骨仍有一定的生长潜力,部分骨性畸形可通过生长改良治疗引导颌骨正常发育;而成年人颌骨已停止发育,骨性畸形通常需结合正颌手术矫正,成年人可能存在牙周炎、牙齿缺失、修复体等问题,需先进行牙周治疗或修复设计,再开始正畸,治疗目标上,青少年更注重牙齿排列与颌骨发育的协调,成年人则更侧重咬合功能、面部美学及长期稳定性。 -
正畸过程中牙齿疼痛是正常的吗?如何缓解?
答:正畸初期及每次复诊加力后,牙齿出现轻微酸胀、疼痛是正常现象,这是因为牙齿在矫治力作用下发生移动,牙周组织出现生理性反应,这种疼痛通常持续3-5天,逐渐缓解,缓解方法包括:避免咀嚼过硬食物,选择温凉、软质饮食(如粥、面条、酸奶等);可遵医嘱服用非甾体抗炎药(如布洛芬)止痛;也可用冰袋轻敷面部肿胀部位(每次15-20分钟,间隔1-2小时),若疼痛剧烈或持续超过一周,需及时复诊检查是否有矫治器压迫或牙齿移动异常。
(图片来源网络,侵删)
