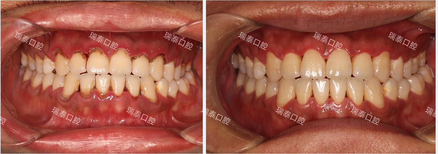
牙周病是一组累及牙龈、牙周膜、牙槽骨及牙骨质的慢性炎症性疾病,其主要病因是牙菌斑和牙结石堆积,若未及时控制,可导致牙龈退缩、牙槽骨吸收、牙齿移位甚至脱落,正畸治疗通过施加生物力,引导牙齿在牙槽骨内移动,改善排列和咬合功能,但传统正畸对牙周组织存在一定刺激,牙周病的正畸综合治疗需以“牙周健康为基础,正畸治疗为核心,长期维护为保障”,通过多学科协作实现牙齿功能与美观的恢复。
治疗前的全面评估:精准判断治疗可行性
牙周病患者接受正畸治疗前,需进行系统性评估,确保牙周环境稳定,避免治疗加重牙周损伤。

牙周状况检查
- 临床指标:记录菌斑指数(PLI)、牙龈指数(GI)、牙周袋深度(PD)、附着丧失(AL)、牙齿松动度(MD),理想状态下,正畸治疗前需满足PD≤3mm、AL≤2mm、无牙龈出血或溢脓,牙齿松动度≤Ⅰ度。
- 影像学检查:通过曲面断层片、根尖片及CBCT评估牙槽骨吸收程度和类型,水平吸收型(牙槽骨均匀降低)患者正畸预后较好,而垂直吸收型(骨下袋形成)需先通过牙周手术改善骨条件。
全身健康评估
牙周病与全身疾病相互影响,需排查糖尿病(血糖控制不佳者易感染)、心血管疾病、骨质疏松等系统性疾病,确保患者全身状况耐受治疗。
口腔习惯与咬合分析
评估患者是否存在夜磨牙、紧咬牙等不良习惯,以及咬合创伤(如早接触、干扰),必要时需制作咬合板或调颌,为正畸创造稳定的咬合环境。
牙周基础治疗:正畸成功的“前提”
牙周基础治疗是控制炎症、消除致病因素的核心步骤,需在正畸开始前完成,待牙周指标稳定(通常3-6个月)后再启动正畸。
牙周基础治疗内容与方法
| 治疗项目 | 目的 | 常用方法 | 注意事项 |
|---|---|---|---|
| 龈上洁治与龈下刮治 | 清除牙菌斑、牙结石,消除牙龈炎症 | 超声波洁治器(龈上)、Gracey刮治器(龈下) | 分次完成,避免过度敏感;龈下刮治需麻醉,确保彻底清除根面牙石 |
| 牙周手术治疗 | 深部清洁根面,消除骨下袋,促进牙周组织再生 | 翻瓣术(直视下刮治)、引导组织再生术(GTR,膜引导骨再生)、植骨术(填充骨缺损) | 术后1周内避免刷牙,使用漱口水;GTR需选择生物相容性膜,防止牙龈长入骨缺损区 |
| 菌斑控制指导 | 提升患者自我口腔清洁能力,减少复发风险 | 巴氏刷牙法示范、牙线/冲牙器使用指导、牙菌斑显示剂辅助清洁 | 定期复查菌斑指数,要求患者PLI≤25% |
| 全身性治疗 | 控制影响牙周愈合的全身因素 | 糖尿病患者调整降糖药、感染者使用抗生素(如甲硝唑) | 抗生素需联合牙周局部用药,避免耐药性;全身病控制达标后再进行正畸 |
正畸治疗的策略与实施:“轻柔移动,精准控制”
牙周病患者的正畸治疗需遵循“最小创伤、最轻力量、最慢速度”原则,避免加重牙槽骨吸收。

矫治器选择:优先减少刺激
- 自锁托槽矫治器:与传统托槽相比,自锁托槽摩擦力低(可降低50%以上),牙齿移动更轻柔,利于牙周组织血液循环,减少牙龈退缩风险。
- 隐形矫治器:可摘戴便于清洁,避免食物嵌塞堆积引发牙周炎症,尤其适合成人牙周病患者;但需严格控制矫治力,每副牙套佩戴时间不超过14天,避免过快移动。
- 避免使用传统弓丝结扎:细丝结扎易刺激牙龈,可采用弹性结扎圈或自锁托槽的弹簧夹固定。
牙齿移动原则:轻力与控根并重
- 力量控制:每颗牙齿施加的力应≤1.2N(约120g),避免“倾斜移动”,采用整体移动或控根移动,减少牙根尖处的压力集中,防止牙根吸收或骨开裂。
- 移动速度:每月移动量控制在1mm以内,牙槽骨改建需时间,过快移动会导致透明性吸收(牙槽骨暂时性脱钙),甚至骨粘连。
- 支抗设计:优先选择微种植体支抗(如钛钉),其植入位置灵活(避开牙根区),提供稳定支抗,避免依赖邻牙作为支抗加重牙周负担。
正畸过程中的牙周维护:动态监测与干预
- 定期复查:每4-6周复查1次,检查牙周袋深度、牙龈出血指数,拍摄根尖片观察牙槽骨变化;若PD增加>2mm或牙龈反复出血,需暂停正畸,强化牙周治疗。
- 口腔卫生强化:每次复诊时进行专业洁治,清除矫治器周围的菌斑;指导患者使用正畸专用牙刷(如“V”形刷头)、水牙线,清洁托槽周围及邻面。
- 咬合调整:避免正畸过程中出现咬合创伤,每3个月检查咬合关系,必要时调颌或佩戴咬合板。
治疗后长期维护:防止复发,巩固疗效
正畸结束后,牙周病的复发风险仍较高,需通过长期维护保持治疗效果。
保持器选择:兼顾稳定与牙周健康
- 透明压膜保持器:覆盖全部牙面,防止牙齿移位,同时便于清洁牙龈,适合牙周炎患者;但需避免过紧压迫牙龈,每日佩戴时间≥22小时,进食时摘除。
- Hawley保持器:兼具固位和牙周按摩作用,但金属丝可能刺激牙龈,需调整丝的位置避免压迫。
牙周维护计划:终身“监测-干预”循环
- 短期(1年内):每3个月复查1次,包括牙周检查、洁治、菌斑染色指导;
- 长期(1年后):每6个月复查1次,每年拍摄1次曲面断层片,监测牙槽骨变化;
- 特殊情况:若出现牙龈出血、牙周袋加深,需立即就诊,可能需要再次龈下刮治或牙周手术。
适应症与禁忌症:严格筛选,确保安全
并非所有牙周病患者都适合正畸治疗,需严格把控适应症与禁忌症。
适应症
- 中度慢性牙周炎稳定期(PD≤5mm,AL≤3mm,牙槽骨吸收≤根长1/2);
- 牙周病导致的继发性咬合紊乱,如牙齿扇形移位、前牙深覆合/深覆盖;
- 正畸联合牙周再生治疗,如通过正畸牵引关闭牙间隙,促进骨再生。
禁忌症
- 牙周炎活动期(PD>6mm,牙龈反复肿痛,牙槽骨快速吸收);
- 未控制的全身疾病(如糖尿病HbA1c>8%,严重心血管病);
- 牙槽骨吸收>根长2/3或牙齿Ⅲ度松动;
- 患者依从性差,无法坚持口腔卫生维护或定期复查。
相关问答FAQs
Q1:牙周病患者正畸治疗会让牙齿更松吗?
A1:不会,前提是牙周炎症得到有效控制且正畸治疗规范,正畸通过轻力缓慢移动牙齿,移动过程中牙槽骨会发生“吸收-重建”的生理性改建,移动完成后牙槽骨会重新稳定,若治疗前牙周炎症未控制(如牙周袋深、牙龈出血),或正畸力量过大、速度过快,确实可能加重牙槽骨吸收,导致牙齿松动,严格遵循“牙周基础治疗-正畸治疗-长期维护”的流程是避免牙齿松动的关键。
Q2:正畸治疗期间牙龈出血、肿痛怎么办?
A2:正畸期间牙龈出血、肿痛多与菌斑堆积或矫治器刺激有关,需分情况处理:①若因清洁不到位(如托槽周围有食物残渣),应加强口腔卫生,使用正畸专用牙刷、牙线、冲牙器彻底清洁,必要时使用0.12%氯己定漱口水(连续使用不超过2周);②若因矫治器边缘压迫牙龈(如托槽脱落、弓丝末端刺激),需及时复诊调整或打磨矫治器;③若出血持续且牙周袋加深(PD>4mm),需暂停正畸,进行龈下刮治等牙周治疗,待炎症消退后再继续,日常可使用含氟牙膏(如舒适达)减轻牙龈敏感,避免刺激性食物。

