成都华美牙科作为西南地区口腔医疗领域的标杆机构,在牙齿正畸领域深耕多年,凭借专业的医疗团队、前沿的技术设备与个性化的诊疗方案,为不同年龄段的患者提供从美学矫正到功能重建的全方位服务,牙齿正畸不仅是“排齐牙齿”的简单过程,更是通过调整牙齿、颌骨及面部肌肉的协调关系,改善咬合功能、提升口腔健康,同时塑造自然和谐的面部轮廓,其重要性远超单一的美学需求。
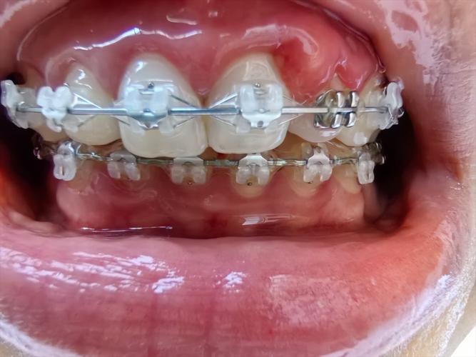
在技术层面,成都华美牙科紧跟国际正畸发展趋势,引入多种主流矫治技术,满足不同患者的个性化需求,传统金属托槽矫治器凭借其稳定的矫治力与经济性,成为青少年错颌畸形的首选;陶瓷托槽则通过半透明材质兼顾美观与强度,适合对“钢牙”有顾虑的年轻患者;自锁托槽技术通过减少托槽与弓丝的摩擦力,延长复诊间隔、缩短治疗周期,同时降低不适感;而隐形矫治器如时代天使、隐适美等,凭借其透明可摘戴、不影响社交与饮食的特点,成为成年正畸人群的热门选择,华美牙科还结合数字化口扫技术,实现牙齿数据的精准采集,通过3D模拟演示牙齿移动过程,让患者在治疗前即可预见矫正效果,提升治疗体验与依从性。

正畸并非“一劳永逸”,其成功与否需严格遵循科学流程,成都华美牙科的正畸诊疗体系包含五大核心环节:初诊检查阶段,医生通过全景片、头颅侧位片、CBCT及面部美学分析,全面评估患者的牙齿排列、颌骨发育、牙周状况及面部比例;方案设计阶段,结合患者年龄、畸形类型及美学需求,制定包括拔牙与否、矫治器选择、治疗周期在内的个性化方案;矫治实施阶段,精准粘接托槽或佩戴隐形牙套,医生通过精细调整每一步移动计划,确保牙齿按预定方向移动;复诊监控阶段,每4-6周复诊一次,通过临床检查与影像学分析,动态调整矫治力,处理突发问题;保持阶段,拆除矫治器后,根据牙齿稳定性定制保持器(如透明压膜保持器、 Hawley保持器),要求患者全天或夜间佩戴至少2年,防止复发。
针对不同错颌畸形类型,华美牙科团队积累了丰富的临床经验,对于牙列拥挤患者,通过扩弓、减数(拔牙)等方式为牙齿提供足够空间;对于“龅牙”患者,通过内收前牙、改善牙轴倾斜度,实现侧貌轮廓的柔和化;对于“地包天”(反颌)患者,早期干预可引导颌骨正常发育,成年患者则可能结合正畸-正颌联合治疗;对于牙缝过大患者,通过关闭间隙或修复美学修复,恢复牙齿连续性与饱满度,值得一提的是,华美牙科注重“功能与美学并重”,在排齐牙齿的同时,确保咬合关系稳定、颞下颌关节健康,避免为追求“网红牙”而牺牲长期功能。
价格方面,成都华美牙科的正畸费用因技术难度、矫治器类型及治疗周期而异,传统金属托槽矫治价格约1.2万-2.5万元,陶瓷托槽约2万-3.5万元,自锁托槽约2.5万-4万元,隐形矫治器根据品牌(如国产时代天使、美国隐适美)价格约3万-6万元,费用包含检查费、方案设计费、矫治器费用、复诊调整费及保持器费用,部分机构还提供分期付款服务,降低患者经济压力。
正畸期间的口腔维护是治疗成功的关键,患者需使用正畸专用牙刷(如U型牙刷、正畸小头牙刷)清洁托槽周围,配合牙线棒、冲牙器清除食物残渣,避免托槽周围龋坏;饮食上避免过硬(如坚果、骨头)、黏性(如口香糖、年糕)食物,防止托槽脱落;若出现托槽松动、钢丝刺嘴等情况,需及时复诊处理,切勿自行调整,青少年患者需家长监督口腔卫生与佩戴依从性,成年患者则需保持良好生活习惯,如戒烟限酒,减少牙周炎风险。

成都华美牙科始终以“患者为中心”,通过定期开展正畸医生培训、引进国际先进技术,持续提升诊疗水平,其正畸团队由经验丰富的主任医师、副主任医师组成,平均临床经验10年以上,累计完成正畸病例超万例,无论是复杂的骨性畸形病例,还是简单的美学矫正需求,都能提供专业、高效的解决方案,许多患者反馈,在华美牙科的正畸过程不仅是牙齿的“蜕变”,更是自信心的重建,从“不敢笑”到“自信露齿”,生活品质得到显著提升。
相关问答FAQs
Q1:成年人正畸年龄有限制吗?会不会有风险?
A1:成年人正畸无绝对年龄上限,只要牙周健康、无严重骨性畸形均可进行,成年人的牙槽骨改建速度较青少年慢,矫治周期可能延长(通常2-3年),且需更关注牙周状况,治疗中需定期进行牙周维护,确保安全,华美牙科会对成年患者进行全面口腔检查,排除如未控制的牙周炎、颞下颌关节紊乱等禁忌症,制定安全可行的治疗方案。
Q2:正畸过程中会疼吗?如何缓解不适?
A2:正畸初期(戴牙后1周内)及每次复诊调整后3-5天,可能出现轻微酸胀疼痛,属于正常现象,可通过温盐水漱口、食用软食、服用非处方止痛药(如布洛芬)缓解;疼痛剧烈或持续超过1周需及时复诊,排查托槽刺激或牙齿移动异常情况,隐形矫治器因材质光滑,疼痛感通常较轻,适应期约为2-3天。

