“半口牙没了”通常指的是上颌或下颌的所有牙齿都缺失了(全口无牙颌),这种情况确实可以通过种植牙来恢复咀嚼功能和美观,但比单颗或少数几颗牙缺失要复杂得多,需要更全面的评估和更复杂的治疗方案。
以下是针对“半口牙没了”进行种植牙修复的主要步骤和考虑因素:

🧩 核心步骤与流程
-
全面口腔检查与评估(这是最关键的第一步!)
- 口腔检查: 检查剩余的牙龈、牙槽骨状况、口腔软组织健康度(有无炎症、溃疡等)。
- 影像学检查:
- CBCT(锥形束CT): 这是必须的!它能提供三维立体图像,精确测量牙槽骨的高度、宽度、密度,判断骨量是否足够支撑种植体,神经管、上颌窦等重要结构的位置,为制定手术方案提供精确依据。
- 全口曲面断层片:作为CBCT的补充,了解整体情况。
- 全身健康状况评估: 询问病史(糖尿病、心脏病、骨质疏松、吸烟史、凝血功能、免疫系统疾病、服药情况等),评估是否适合手术及术后恢复,某些全身疾病可能需要先控制或调整治疗方案。
- 口腔卫生评估与教育: 种植牙成功与否,患者良好的口腔卫生习惯至关重要,医生会评估你的清洁能力,并教授专门的种植牙清洁方法(如牙线、冲牙器、专用刷头等)。
- 咬合关系与功能评估: 分析你的咬合习惯、面下1/3高度、微笑线等,为最终修复体的设计提供参考。
-
制定个性化治疗方案
- 根据检查结果,医生会与你详细讨论:
- 骨量是否足够?
- 足够: 可以直接进行种植手术。
- 不足: 需要骨增量手术,这包括:
- 引导骨再生术: 在骨缺损处放置骨粉/骨膜,引导自身骨组织生长。
- 上颌窦提升术: 上颌后牙区牙槽骨高度不足时,将上颌窦底粘膜(上颌窦粘膜)抬起,在下方填入骨粉增加骨高度。
- 骨劈开术/骨挤压术: 在宽度不足的牙槽嵴上创造空间植入种植体。
- 自体骨移植: 从身体其他部位(如下颌骨、髋骨)取骨,移植到缺损处,效果最好但创伤较大。
- 骨移植可能需要额外手术时间和费用,并延长整体治疗周期。
- 选择种植系统: 根据你的骨条件、经济预算、医生经验等选择合适的种植体品牌和型号。
- 选择修复方案: 这是半口种植的核心选择之一,见下文详细说明。
- 治疗时间表: 包括手术次数、骨愈合时间、戴牙时间等。
- 费用预算: 详细列出各项费用(种植体、基台、牙冠、手术费、骨移植费、检查费等),并讨论支付方式。
- 骨量是否足够?
- 根据检查结果,医生会与你详细讨论:
-
术前准备
- 进行必要的全身检查(如血常规、凝血功能、传染病筛查等)。
- 治疗口腔内其他问题(如牙周炎、根尖周炎、残根残冠拔除等)。
- 可能需要洁牙。
- 与医生确认手术当天的注意事项(如是否需要空腹、停用某些药物等)。
-
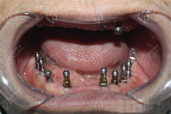
种植手术
(图片来源网络,侵删)- 在局部麻醉下进行。
- 根据方案,在牙槽骨中精确植入预定数量(通常4-6颗)的种植体。
- 如果需要骨增量,会同时或分阶段进行。
- 手术切口可能需要缝合。
- 微创技术: 现代技术(如数字化导板导航)可以减少手术创伤和出血,提高精准度。
-
骨结合期(愈合期)
- 种植体植入后,需要时间(通常3-6个月,上颌可能更长)与牙槽骨牢固地长在一起(骨结合),期间避免种植体承受过大力量。
- 如果进行了复杂的骨增量,愈合时间可能更长。
- 此期间可能会戴一个临时义齿(活动假牙),但需注意避免压迫手术区域。
-
二期手术(如需要)
如果种植体在骨结合期被牙龈组织完全覆盖,需要做一个小的切口,暴露种植体上方的连接基台的部分(称为“愈合基台”),为后续取模做准备,很多系统的一期手术会直接安装愈合基台,省略此步骤。
-
取模与修复体制作
(图片来源网络,侵删)- 当种植体稳定愈合后,医生会安装取模基台,取牙齿的精确模型(或使用口内扫描仪数字化获取模型)。
- 技工室根据模型制作最终的固定修复体(牙桥)。
- 医生会制作一个临时修复体,在最终修复体制作期间使用。
-
戴牙(最终修复体安装)
- 试戴最终修复体,检查形态、颜色、咬合关系是否合适,是否舒适。
- 确认无误后,用螺丝或粘接剂将修复体固定在种植体基台上。
- 拍X光片确认修复体就位准确。
-
定期复查与维护
- 种植牙并非一劳永逸!需要像真牙一样进行严格的口腔卫生维护(每天清洁种植体周围区域)。
- 按医嘱定期(通常每3-6个月)复查,医生会检查种植体周围组织健康度、咬合情况、修复体状况等,及时发现并处理问题(如种植体周围炎)。
🦷 针对“半口牙”的特别考虑:修复方案选择
这是半口种植区别于单颗种植的核心,主要影响种植体数量、修复方式、费用和即刻负重能力:
-
All-on-4 / All-on-6 技术(即刻负重/负重修复)
- 原理: 利用倾斜植入的后方种植体(避开骨量不足区域和神经管)以及垂直植入的前方种植体,总共植入4颗或6颗种植体,来支撑一整排固定牙桥(通常12-14颗牙)。
- 优点:
- 种植体数量少: 显著降低费用。
- 避免/减少骨移植: 通过倾斜种植体利用现有骨量,尤其适用于后牙区骨量严重不足的情况。
- 即刻负重/快速负重: 这是最大的优势! 在种植手术当天或几天内(通常术后24-48小时),就能安装临时的固定牙桥,当天恢复基本咀嚼功能和美观!大大缩短治疗周期和缺牙期,临时桥在骨结合期间使用,待完全愈合后(通常3-6个月)再更换为最终永久修复体。
- 固定修复: 像真牙一样稳固舒适,没有活动假牙的基托和卡环,异物感小,发音影响小。
- 缺点:
- 对医生技术要求极高,需要精确的术前规划和手术操作。
- 修复体是整体桥,一颗种植体出现问题可能影响整个桥。
- 即刻负重的临时桥在骨结合期间承受的咬合力需严格控制,避免失败。
- 长期效果(10年以上)仍在持续观察中,但短期效果良好。
- 适用人群: 骨量条件相对较好(或可通过倾斜植入规避不足),希望快速恢复功能和美观,经济预算相对有限(相比更多种植体方案)的患者。
-
多颗独立种植 + 单冠/桥修复
- 原理: 在牙槽骨条件允许的位置,植入尽可能多的种植体(通常8-12颗),每颗种植体上方连接一个基台,再在基台上安装单个牙冠或小桥(如3颗牙连在一起)。
- 优点:
- 生物力学优势: 分散咬合力,每颗牙相对独立,稳定性好,长期成功率可能更高(尤其对于有严重磨牙习惯或骨条件一般的患者)。
- 修复灵活性高: 单颗牙出现问题,只需修复或更换该颗牙,不影响其他牙齿。
- 更接近天然牙的感觉: 每颗牙独立动度更小。
- 缺点:
- 种植体数量多: 费用显著高于All-on-4/6。
- 通常需要骨移植: 因为需要植入更多种植体,对骨量的要求更高,骨量不足时必须进行骨增量手术,增加创伤、时间和费用。
- 治疗周期长: 通常需要分阶段手术,骨结合期长,无法实现即刻负重(除非骨条件极好且植入足够多种植体)。
- 手术复杂度高: 植入的种植体数量多,手术时间相对较长。
- 适用人群: 骨量条件非常好,追求最高生物力学稳定性和长期成功率,经济预算充足,不介意较长的治疗周期。
-
种植覆盖义齿( Locator / 杆卡式)
- 原理: 植入2-4颗种植体(通常2-4颗),种植体上方连接特殊的附件(如球帽、杆卡),活动义齿通过这些附件“扣”在种植体上,获得比传统活动义齿更强的固位力和稳定性。
- 优点:
- 费用较低: 比固定桥方案便宜。
- 骨量要求相对较低: 即使骨量有一定萎缩,也能植入2-4颗种植体改善固位。
- 清洁相对方便: 可以摘下义齿清洁。
- 修复体可摘: 方便修理和调整。
- 缺点:
- 仍然是活动义齿: 有基托覆盖上颚或下颌内侧,异物感比固定桥大,可能影响发音和味觉。
- 固位力稳定性不如固定桥: 虽然比传统活动义齿好,但仍有活动度,咀嚼效率不如固定桥。
- 附件和义齿基托可能磨损、需要更换: 长期使用后,附件或义齿基托可能磨损,需要定期更换。
- 种植体周围软组织易发炎: 附件周围是清洁难点,容易堆积食物残渣,导致种植体周围炎风险增加。
- 适用人群: 骨量严重不足,无法进行骨增量或不愿意接受骨增量手术;经济预算有限;对活动义齿的异物感有一定耐受度;主要目标是改善活动义齿的固位,而非追求完全固定。
📌 总结与建议
- 专业评估是前提: “半口牙没了”必须找经验丰富的种植专科医生进行全面评估(尤其是CBCT检查),没有骨量评估和医生面谈,无法给出具体方案。
- 没有唯一“最好”方案: 最佳方案取决于你的具体骨条件、全身健康状况、经济预算、个人期望(功能、美观、舒适度、治疗时间),医生会根据评估结果和你共同决策。
- All-on-4/6是主流选择: 因其骨量要求相对宽松、避免/减少骨移植、可实现即刻负重快速恢复,已成为半口无牙颌种植修复的主流和首选方案之一,尤其适合希望快速恢复功能和美观的患者。
- 骨移植是常见步骤: 很多半口种植患者,尤其是后牙区缺牙时间长者,都需要进行骨增量手术,这会增加治疗时间、费用和创伤,但往往是成功种植的必要条件。
- 费用不菲: 半口种植牙(尤其是All-on-4/6或多颗独立种植)是一项重大的口腔投资,费用通常数万到十几万甚至更高,具体取决于方案、种植体品牌、骨移植需求、地区差异等,务必提前了解清楚费用构成。
- 长期维护至关重要: 种植牙成功的关键不仅在于手术,更在于患者终身的、严格的口腔卫生维护和定期专业复查,忽视维护会导致种植体周围炎,最终导致种植失败。
强烈建议: 尽快预约专业的口腔种植医生进行详细咨询和检查,获取针对你个人情况的、具体的治疗方案和费用预算,不要被网络信息或非专业人士的建议所误导,你的口腔健康值得专业的对待!💪🏻
