关于正畸(牙齿矫正)是否会导致牙齿提早脱落,这是一个非常重要且常见的问题。在专业医生操作、患者良好配合和口腔卫生维护得当的情况下,正畸本身并不会导致牙齿提早脱落。 但如果不注意某些关键因素,确实存在增加牙齿松动甚至脱落风险的可能性。
以下是详细分析:

🦷 一、正畸本身不会导致牙齿提早脱落(理想情况下)
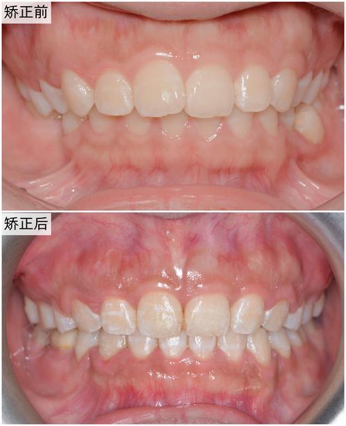
- 生理性松动是正常过程: 牙齿矫正的核心原理是利用持续、轻柔的生物力,引导牙齿在牙槽骨内缓慢移动,这个移动过程中,牙齿在牙槽骨内会有轻微的生理性松动(就像树木在风中轻微摇摆一样),这是牙槽骨改建(一侧吸收,另一侧重建)的正常现象。这种松动是暂时的、可控的,是牙齿移动所必需的。
- 牙槽骨改建: 正畸力会刺激牙槽骨发生改建,压力侧的牙槽骨吸收,张力侧的牙槽骨增生,只要这个过程健康进行,牙齿移动到位后,新的牙槽骨会稳定地包裹住牙根,牙齿会重新变得稳固。
- 专业医生的操作: 有资质的正畸医生会根据患者的具体情况(年龄、牙周状况、牙齿移动需求等)制定个性化的治疗方案,并精确控制矫治力的大小、方向和时间,确保牙齿在安全、健康的范围内移动,避免过度加力导致不必要的牙根吸收或骨损伤。
⚠️ 二、哪些因素可能增加牙齿脱落的风险?
虽然正畸本身不会直接导致脱落,但以下情况可能增加风险:
-
口腔卫生维护不善(最关键的风险因素):
- 原因: 戴上矫治器(托槽、弓丝等)后,清洁牙齿的难度大大增加,如果患者刷牙不彻底、不用牙线或冲牙器清洁托槽周围和牙缝,食物残渣和牙菌斑容易堆积。
- 后果: 牙菌斑堆积会导致牙龈炎(牙龈红肿、出血) 和牙周炎(牙龈退缩、牙槽骨吸收)。牙周炎是导致牙齿松动的最主要原因,也是正畸过程中牙齿脱落的最主要风险因素。 牙槽骨一旦吸收,是不可逆的,会严重削弱牙齿的稳固性,即使矫正结束,牙齿也可能因为牙周支持组织不足而松动、脱落。
- 重要性: 保持良好的口腔卫生是正畸成功、避免牙齿脱落的基石! 患者必须付出比平时更多的努力来清洁牙齿。
-
矫正前存在的牙周问题未得到治疗:
- 原因: 如果患者在矫正前就已经有未经治疗的牙周炎(如牙龈萎缩、牙槽骨吸收),在矫正过程中,牙齿移动可能会加重炎症,加速牙槽骨的吸收。
- 对策: 正畸前的全面口腔检查至关重要! 医生必须评估患者的牙周健康状况,如果存在牙周炎,必须先进行系统的牙周治疗(如洗牙、刮治、根面平整等),待牙周炎症得到控制、病情稳定后,才能开始正畸治疗。 在矫正过程中及结束后,也需要更频繁的牙周维护。
-
个体差异与牙根吸收:
(图片来源网络,侵删)- 原因: 少数人(个体差异)在牙齿移动过程中,牙根尖端可能会发生轻微的吸收(牙根变短),这种吸收通常是轻微的,不影响牙齿的稳固性和使用寿命,但在极少数情况下,如果吸收比较严重,可能会降低牙齿的长期稳固性。
- 对策: 医生会在矫正前拍摄X光片评估牙根情况,并在矫正过程中及结束后定期复查,如果发现严重吸收,会相应调整方案或密切观察。
-
医生操作不当或方案设计不合理:
- 原因: 虽然少见,但如果医生经验不足、矫治力过大、移动方向错误或方案设计不合理,可能对牙周组织造成不必要的损伤,如过度压迫导致牙槽骨坏死、牙根严重吸收等。
- 对策: 选择有资质、经验丰富的正畸医生进行咨询和治疗至关重要。
-
牙齿本身的问题:
- 原因: 如果某些牙齿本身就有严重的隐裂、龋坏(蛀牙)未治疗、或根尖周炎等,在矫正过程中可能因为受力而出现问题。
- 对策: 矫正前需要全面检查并治疗口腔内所有存在的牙齿疾病。
-
不良习惯:
- 原因: 如咬笔、咬指甲、用牙齿开瓶盖等不良习惯,在矫正过程中可能对正在移动的牙齿产生额外的、不利的力,影响移动效果甚至损伤牙周组织。
- 对策: 矫正期间应戒除不良习惯。
-
年龄因素:
(图片来源网络,侵删)- 原因: 成年人通常比青少年更容易存在牙周问题(牙龈退缩、牙槽骨吸收),如果牙周状况不佳,风险相对较高,青少年牙周组织健康、修复能力强,风险相对较低。
- 对策: 成年人正畸前更需严格评估牙周健康状况。
📌 总结与建议
- 正畸本身不会导致牙齿提早脱落。 它是一个利用生理机制安全移动牙齿的过程。
- 最大的风险来自牙周炎,而牙周炎的主要诱因是口腔卫生维护不当。 患者在矫正期间必须极其重视口腔卫生,做到有效刷牙、使用牙线/冲牙器、定期洁牙。
- 正畸前的全面检查和牙周治疗(如有需要)是保证安全的前提。
- 选择专业、有资质的正畸医生进行规范治疗至关重要。
- 遵循医嘱,定期复诊,及时反馈任何不适。
- 矫正结束后,必须严格佩戴保持器,保持牙齿位置稳定。
只要在专业医生指导下,患者积极配合,尤其是保持良好的口腔卫生,正畸治疗是安全的,不会导致牙齿提早脱落,相反,通过矫正排齐牙齿、改善咬合,长期来看有助于维护牙周健康,预防因咬合创伤导致的牙齿问题。正畸是改善口腔健康和美观的有效手段,关键在于医患双方的共同努力和配合。 😊
