什么是舌侧固定保持器?
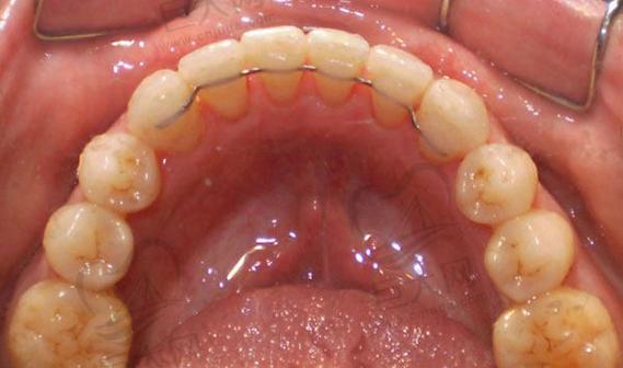
舌侧固定保持器(也常被称为“舌侧丝”、“舌侧固定丝”、“舌侧粘接式保持器”)是一种永久性或半永久性的牙齿保持装置,它通过粘接的方式,固定在牙齿的舌侧(内侧),通常用于下颌前牙区域(下门牙),有时也用于上颌前牙。
- 结构: 通常由一根细小的、光滑的金属丝(多为不锈钢或贵金属合金) 弯制成与牙齿舌侧面贴合的弧形,并通过特殊的粘接材料固定在每颗前牙的舌侧面靠近牙龈的位置(通常是牙齿的邻接点下方)。
- 位置: 完全位于牙齿内侧,从外面完全看不到。
- 目的: 在正畸治疗结束后,维持牙齿在治疗后的理想位置,防止它们因为各种力量(如舌头压力、咬合力量、牙周组织的自然改建趋势等)而移位复发。
舌侧固定保持器的主要优点
- 极佳的美观性: 这是它最大的优势,完全隐藏在牙齿内侧,从外面完全看不见,对于极度在意美观、不希望有任何装置暴露在外的患者来说,是理想选择。
- 无需摘戴: 固定在牙齿上,不像哈雷保持器那样需要每天摘下来清洗和佩戴,对于自律性较差、容易忘记佩戴 removable retainers 这是一个很大的便利。
- 持续保持作用: 24小时不间断地发挥作用,理论上能更有效地对抗导致牙齿复发的力量。
- 舒适度高(初期适应后): 一旦适应了舌头接触金属丝的感觉,大多数患者会觉得它比 removable retainers 更舒适,没有异物感干扰发音或吞咽(虽然初期可能需要短暂适应)。
- 不易丢失: 固定在牙齿上,不会像 removable retainers 那样容易丢失。
舌侧固定保持器的主要缺点和风险
- 口腔卫生维护极其困难: 这是它最核心的缺点,金属丝和粘接点周围容易堆积牙菌斑、食物残渣,清洁不到位会导致:
- 龋齿(蛀牙): 尤其是在粘接点边缘和金属丝下方,是蛀牙的高发区域。
- 牙龈炎/牙周炎: 牙菌斑刺激牙龈,导致红肿、出血、发炎,长期发展可能损害牙周支持组织。
- 口臭: 食物残渣和细菌分解产生异味。
- 清洁工具要求高: 需要使用专门的工具进行清洁,包括:
- 牙线: 需要使用牙线穿引器或水牙线(冲牙器) 配合特殊的牙线小头或牙缝刷,才能有效清洁金属丝下方和牙齿邻接点。
- 牙缝刷: 选择合适大小的小头牙缝刷,清洁金属丝与牙齿之间的缝隙。
- 正畸牙刷/小头牙刷: 更精细地清洁粘接点和牙齿表面。
- 冲牙器: 非常有效,能冲走食物残渣和部分牙菌斑。
- 牙菌斑显示剂: 定期使用,帮助检查清洁效果。
- 费用较高: 制作和粘接通常比 removable retainers(如哈雷保持器)更贵。
- 可能断裂或脱落: 金属丝可能在咬硬物时变形或断裂;粘接点可能因咬合力、材料老化或清洁不当而脱落。脱落或断裂后必须尽快复诊处理,否则牙齿会开始移动。
- 可能影响咬合或发音(短期): 初期佩戴时,舌头接触金属丝可能会感到异物感,轻微影响发音(如“s”、“th”音),但大多数人会在几天到几周内适应。
- 对口腔健康要求高: 并非人人适合。有牙周疾病史、口腔卫生习惯差、牙齿排列不齐(邻接点过紧或过松)的患者,使用舌侧固定保持器风险更高,清洁更困难,更容易出现问题,医生会严格评估。
- 需要终身维护: 它不是“一劳永逸”的,即使牙齿稳定了,金属丝和粘接材料也会老化、磨损,脱落风险随时间增加,通常建议每6个月到1年复查一次,检查装置的完整性和牙齿位置,同时进行专业洁牙。
适用人群
- 对美观要求极高,无法接受任何可见的保持器。
- 自律性差,无法保证每天佩戴 removable retainers 足够时间(通常要求全天佩戴,除吃饭刷牙外)。
- 已经成功完成正畸治疗,牙齿排列稳定,牙周健康。
- 口腔卫生习惯良好,愿意并能够投入时间和精力学习并坚持使用专门的清洁工具。
- 医生评估认为下前牙复发风险较高(如之前有严重拥挤、拔牙病例等)。
不适用人群
- 口腔卫生习惯差,难以坚持有效清洁。
- 有活动性牙周炎或牙龈炎未控制者。
- 牙齿邻接点过紧或过松,清洁工具难以进入。
- 有夜磨牙或紧咬牙习惯(可能增加装置损坏和脱落风险)。
- 无法定期复查者。
舌侧固定保持器是一种美观、便捷、持续有效的牙齿保持方式,特别适合对美观要求极高且自律性强、口腔卫生良好的患者,它最大的挑战在于极其严格的口腔卫生维护要求,如果清洁不到位,它反而会成为蛀牙和牙周病的温床,最终导致牙齿健康受损甚至正畸效果前功尽弃。

重要建议:
- 务必与你的正畸医生充分沟通: 详细讨论舌侧固定保持器的优缺点、清洁要求、潜在风险以及它是否适合你的个人情况(牙齿排列、牙周状况、口腔卫生习惯、生活方式等),医生会根据你的具体情况给出最专业的建议。
- 如果选择舌侧固定保持器,清洁是重中之重: 必须严格遵从医生的指导,学习并坚持使用牙线穿引器/水牙线、牙缝刷、小头牙刷等工具进行日常清洁,定期使用牙菌斑显示剂自查。
- 定期复查: 严格按照医生要求的时间间隔(通常每6-12个月)回诊复查,检查装置状态、牙齿位置,并进行专业洁牙。
- 关注异常: 如果感觉装置松动、脱落、断裂,或者牙齿有移动感、牙龈红肿出血疼痛,务必立即联系你的正畸医生,不要拖延。
舌侧固定保持器效果很好,但它更像一个“责任”装置,需要患者付出持续的努力去维护口腔健康才能发挥其最大价值并避免风险,选择它之前,请务必权衡利弊,并做好长期维护的心理和行动准备。

