种牙失败(种植体失败)是指植入牙槽骨内的种植体(人工牙根)未能成功与周围骨组织形成牢固的骨结合(Osseointegration),或者虽然初期结合了,但在后续使用中出现问题,导致种植体无法发挥正常功能、需要被取出或最终失败的情况。
种牙失败的表现因失败发生的时间点、失败的具体原因和严重程度而异,但通常可以从以下几个方面来识别:

种植体植入后未能成功结合(早期失败)
这是最常见的失败类型,通常发生在植入后的3-6个月内(骨结合的关键期),种植体在骨内没有稳定下来,或者松动、脱落。
-
种植体松动或脱落:
- 感觉: 种植体在咀嚼时感觉异常松动,甚至可以用手晃动。
- 表现: 种植体周围牙龈可能肿胀、疼痛,甚至能看到种植体部分或完全暴露在口腔内。
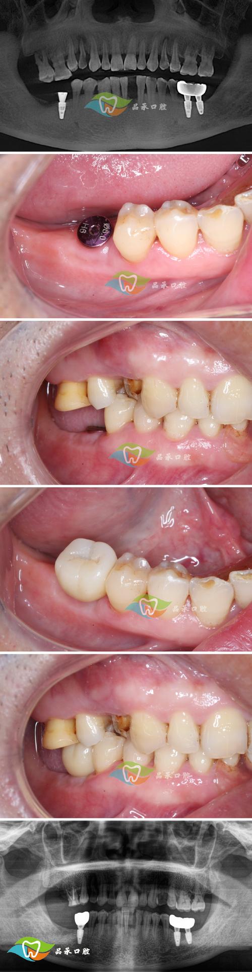
- X光检查: X光片显示种植体周围没有骨形成,或者骨与种植体之间有明显的透射影(暗区),表示没有骨结合。
-
持续或加重的疼痛:
- 感觉: 种植区域在术后恢复期后,疼痛不仅没有减轻,反而持续存在,甚至越来越严重,疼痛可能是钝痛、跳痛或咬合痛。
- 表现: 疼痛可能放射到耳朵、太阳穴或头部,服用止痛药效果不佳。
-
异常肿胀和溢脓:
(图片来源网络,侵删)- 感觉: 种植体周围的牙龈持续肿胀,按压时疼痛,并可能流出脓液(黄色或白色分泌物)。
- 表现: 口腔异味明显,甚至有腐臭味,这是感染的重要标志。
-
牙龈异常表现:
- 感觉: 种植体周围的牙龈颜色异常(发红、发暗),质地变软、变脆,容易出血。
- 表现: 牙龈可能萎缩,导致种植体颈部暴露,或者形成“瘘管”(小脓包),反复流脓。
-
愈合不良:
- 感觉: 种植手术切口长时间不愈合,或者愈合后反复裂开。
- 表现: 伤口处有组织坏死迹象,颜色发白、发灰。
种植体初期结合成功,但后期出现问题(晚期失败)
种植体在初期看起来结合良好,但在戴牙后或使用一段时间后(几个月到几年甚至更久)出现问题。
-
种植体周围炎:
- 这是晚期失败最主要的原因! 类似于天然牙的牙周炎,但发生在种植体周围。
- 感觉:
- 牙龈出血: 刷牙或吃硬物时,种植体周围牙龈容易出血。
- 牙龈肿胀、发红: 牙龈颜色异常,质地松软。
- 牙周袋形成: 探诊时,种植体周围牙龈与种植体之间形成深的缝隙(牙周袋),深度超过3mm。
- 溢脓: 牙周袋内可能有脓液溢出。
- 口臭: 由于细菌感染,产生异味。
- 种植体松动: 随着炎症进展,支持骨被吸收,种植体逐渐松动。
- X光检查: X光片显示种植体周围骨组织吸收,骨高度降低,骨与种植体之间出现透射影。
-
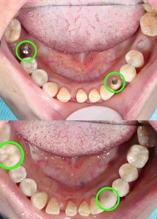
种植体机械并发症:
- 基台/螺丝松动或折断: 连接种植体和上部牙冠的部件(基台)或固定螺丝松动、脱落或折断,可能导致牙冠松动、脱落或咬合异常。
- 上部牙冠损坏: 瓷牙冠崩瓷、开裂或折断。
- 种植体本身折断: 相对少见,但可能发生,尤其在承受过大咬合力或种植体本身有缺陷时。
-
种植体持续或复发性疼痛:
- 感觉: 即使没有明显的松动或感染,种植体在咀嚼或咬合时也可能出现持续性的疼痛、不适或异物感,疼痛可能来自咬合创伤、神经损伤、根尖周炎(如果下方有残留牙根)或不明原因。
- 表现: 影响咀嚼功能,导致不敢用该侧咀嚼。
-
美学问题:
- 感觉: 种植牙看起来不自然,颜色、形态、大小与邻牙不协调。
- 表现: 牙龈萎缩导致种植体金属颈部暴露(“黑三角”),牙龈形态不对称,或牙冠过长/过短,这虽然不一定是功能失败,但也是患者不满意的原因,有时需要修复。
-
咬合问题:
- 感觉: 种植牙过高或过低,导致咬合干扰。
- 表现: 咬东西时感觉不适、酸痛,甚至可能引起颞下颌关节(TMJ)问题(如关节弹响、疼痛、张口受限)。
其他可能的失败表现(相对少见或特定情况)
- 神经损伤: 植入时损伤了下牙槽神经或颏神经,导致下唇、下巴或舌头区域出现麻木、刺痛、烧灼感或感觉异常,通常是暂时性的,但少数情况下可能持续存在。
- 上颌窦穿孔/感染: 种植体穿入上颌窦,可能导致鼻塞、流脓涕、面部疼痛,甚至形成上颌窦炎。
- 邻牙损伤: 种植手术过程中可能损伤邻牙的牙根或牙周组织。
- 种植体周围骨裂: 种植体周围骨组织出现裂纹或骨折。
重要提示
- 并非所有不适都是失败: 种植术后几天内的轻微肿胀、疼痛、淤青是正常的恢复过程,关键看症状是否持续不缓解、进行性加重或出现异常表现(如剧烈疼痛、流脓、明显松动)。
- 及时就医是关键: 一旦出现上述任何可疑症状(尤其是持续疼痛、明显松动、流脓、牙龈异常肿胀出血),务必立即联系你的种植牙医生! 早期发现和处理(如感染控制、调整咬合、必要时取出种植体)是挽救种植牙或为下一步治疗(如重新种植)做准备的关键。
- 专业诊断: 种植牙失败需要医生结合临床检查(视诊、探诊、松动度检查)、X光片(CBCT更佳) 等综合判断,自我判断可能不准确。
- 失败不等于绝望: 即使种植体失败,通常也可以通过取出失败的种植体、控制感染、待骨条件恢复后,重新尝试种植,或者选择其他修复方式(如固定桥、活动义齿)。
种牙失败的表现多样,核心在于种植体未能长期稳定地存在于骨组织中并发挥功能,常伴随疼痛、松动、感染、牙龈异常、咬合问题或美观缺陷,密切关注术后恢复情况,出现异常及时复诊,是避免或处理失败的关键。
