种植牙的愈合效果是种植牙成功的关键,它指的是种植体(人工牙根)与牙槽骨之间形成牢固、稳定的生物结合(骨结合)的过程,以及周围软组织(牙龈)的恢复,良好的愈合效果是种植牙长期使用的基础。
以下是关于种植牙种植体愈合效果的详细说明:

🦷 一、愈合过程的主要阶段
-
手术初期(术后1-2周):
- 软组织愈合: 这是最先开始的阶段,手术切口处的牙龈组织开始愈合,形成血凝块,然后逐渐被肉芽组织替代,最终形成纤维结缔组织包裹住种植体颈部,通常在术后1-2周内,牙龈表面会基本愈合,拆线后外观上看起来“长好了”。
- 骨反应启动: 在种植体植入后,血液中的细胞会迅速在种植体表面聚集,开始形成血凝块,这是骨愈合的起点。
-
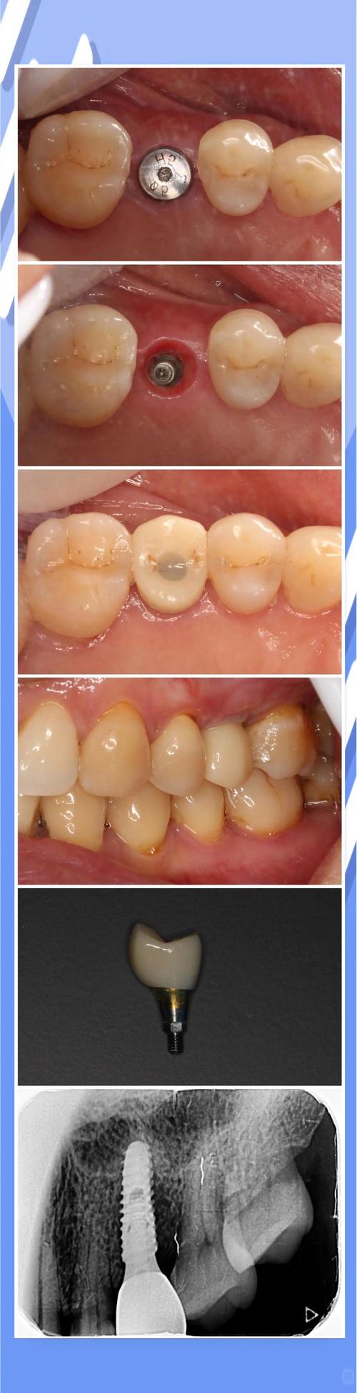
骨结合期(关键阶段,通常需要3-6个月,甚至更长):
- 骨结合形成: 这是种植牙成功的核心,种植体表面的特殊处理(如喷砂酸蚀、羟基磷灰石涂层等)会引导骨细胞附着、增殖,最终形成新的骨组织直接与种植体表面紧密结合,没有软组织隔在中间,这个过程称为“骨结合”。
- 时间因素: 骨结合所需时间受多种因素影响(见下文),对于下颌骨,通常需要3-4个月;上颌骨由于骨质相对疏松、血供较差,通常需要4-6个月或更长时间,在骨结合完成前,种植体是“悬浮”在骨头里的,不能承受咀嚼力。
- 愈合帽: 在这个阶段,种植体上方通常会安装一个愈合帽,引导牙龈愈合形成良好的袖口形态,为后续修复做准备。
-
负重与功能适应期(骨结合完成后):
- 基台连接与牙冠修复: 确认骨结合牢固后,医生会进行二期手术(如果需要,有些系统是微创的),安装基台(连接种植体和牙冠的部分),然后取模制作并安装最终的牙冠。
- 功能磨合: 新安装的牙冠开始承受咀嚼力,种植体-骨结合界面会经历微小的应力刺激,骨组织会进行细微的改建以适应功能性负荷,这个过程是持续进行的,但通常在修复后几个月内就能达到稳定状态。
🧩 二、影响愈合效果的关键因素
-
患者自身因素:
(图片来源网络,侵删)- 骨质条件: 骨密度、骨量是决定骨结合速度和质量的最重要因素,骨量充足、骨密度高的患者愈合更快、效果更稳定,骨量不足可能需要植骨手术,延长愈合时间。
- 全身健康状况: 严重的系统性疾病(如未控制的糖尿病、免疫缺陷疾病、严重的心脑血管疾病、骨质疏松症、长期服用抗凝药物或免疫抑制剂等)会显著影响骨愈合能力,增加失败风险。
- 口腔卫生状况: 术前术后良好的口腔卫生是预防感染、保证无菌环境的基础,感染是种植失败的主要原因之一。
- 不良习惯: 吸烟是种植牙的“头号杀手”,尼古丁会严重影响血液循环和骨细胞活性,显著增加失败风险,延长愈合时间。夜磨牙/紧咬牙会产生过大的非功能性负荷,干扰骨结合甚至导致种植体松动。
- 年龄: 虽然年龄本身不是绝对禁忌,但老年人可能伴随更多系统性疾病和骨质问题,可能影响愈合。
-
手术技术与材料因素:
- 医生经验与技术: 精准的手术计划(如CBCT评估)、微创操作、避免损伤重要结构(神经、血管)、良好的无菌技术、对种植体植入位置、角度、深度的精确控制,对成功愈合至关重要。
- 种植体系统与设计: 不同品牌、不同设计的种植体(表面处理、形状、材质等)其骨结合性能和长期成功率有差异,选择经过长期临床验证的优质种植体系统很重要。
- 骨增量技术: 对于骨量不足的患者,植骨(如自体骨、异体骨、人工骨)是必要的,植骨材料的种类、手术技术的优劣直接影响骨愈合的质量和速度。
-
术后护理与维护:
- 遵医嘱用药: 按时按量服用抗生素、止痛药、漱口水等。
- 饮食管理: 术后初期(尤其是骨结合期)避免用患侧咀嚼,避免过硬、过黏、过烫的食物,防止种植体受力过大或损伤术区。
- 口腔卫生: 术后保持口腔清洁至关重要,但要轻柔,避免刷术区,使用医生推荐的漱口水,并逐渐恢复正常的刷牙和使用牙线(避开术区)。
- 定期复诊: 严格按照医生要求的时间复诊,让医生检查愈合情况、拆线、更换愈合帽等,骨结合完成后也要定期复查(通常半年到一年一次)。
- 避免外力干扰: 术后短期内避免剧烈运动、游泳、桑拿等可能影响血液循环或导致伤口裂开的活动。
📈 三、愈合效果良好的表现
- 无疼痛或不适: 术后几天内轻微疼痛和肿胀是正常的,但如果疼痛持续加重、或出现跳痛、放射痛,则需警惕感染或并发症。
- 伤口愈合良好: 牙龈切口愈合平整,无红肿、流脓、裂开或异常分泌物。
- 种植体稳定无松动: 医生在复诊时检查种植体,应感觉稳固无任何动度。
- 骨结合形成: X光片检查显示种植体周围骨组织致密,种植体与骨之间没有透射影(暗线),骨小梁逐渐靠近种植体表面。
- 牙龈袖口健康: 围绕种植体颈部的牙龈组织健康、粉红、有弹性,形成良好的袖口形态,没有红肿、退缩或增生。
- 功能恢复良好: 修复后,种植牙能够正常咀嚼,无疼痛、不适,发音正常,美观效果满意。
⚠ 四、愈合不佳或失败的表现
- 持续疼痛、肿胀、流脓: 提示感染。
- 种植体松动: 早期松动可能意味着骨结合失败或受到过大外力。
- 牙龈退缩或增生: 可能影响美观和清洁,也可能暴露种植体表面。
- X光片显示骨吸收: 种植体周围出现透射影(暗线),骨量减少。
- 种植体周围炎: 类似于天然牙的牙周病,是种植体周围软硬组织的炎症性破坏,是导致种植体长期失败的主要原因之一,表现为牙龈红肿、出血、溢脓、牙周袋形成、骨吸收。
种植牙的愈合效果是一个复杂且多因素影响的生物过程。骨结合的形成是成功的核心标志,通常需要3-6个月的时间,良好的愈合效果依赖于:
- 患者良好的骨质、全身健康和口腔卫生,以及戒除不良习惯(尤其是吸烟)。
- 经验丰富的医生进行精准的手术操作。
- 选择优质的种植体系统。
- 患者严格遵循术后医嘱,做好护理和定期复查。
耐心是关键! 骨结合需要时间,急于求成或忽视术后护理都可能影响最终效果,与你的口腔种植医生保持密切沟通,遵循他们的专业建议,是确保种植牙获得最佳愈合效果和长期成功使用的最佳途径。💪🏻

