这是一个非常常见的问题,但答案并不是简单的“哪个好”,而是哪个更适合你当前的具体口腔问题,口腔修复和正畸是口腔医学中两个不同但又可能相互关联的专业领域,它们解决的问题、治疗目标和方式都不同。
- 口腔修复: 主要关注修复缺损、缺失的牙齿,恢复其形态、功能和美观,可以理解为“修补”和“重建”。
- 口腔正畸: 主要关注矫正牙齿和颌骨的位置关系,改善咬合功能和面部美观,可以理解为“排齐”和“调整”。
🔍 让我们更详细地比较一下
| 特点 | 口腔修复 | 口腔正畸 |
|---|---|---|
| 核心目标 | 修复缺损、缺失牙齿;恢复咀嚼、发音功能;改善美观 | 矫正牙齿排列;改善咬合关系;改善面部轮廓;改善美观 |
| 主要解决的问题 | • 牙齿大面积龋坏(蛀牙)无法保留 • 牙齿缺失(镶牙、种牙) • 牙齿磨损、磨耗严重 • 牙齿缺损(贴面、嵌体、冠) • 牙齿形态、颜色不佳(贴面、冠) • 牙列缺损(可摘/固定义齿) |
• 牙齿拥挤不齐 • 牙齿稀疏(有缝隙) • 龅牙(上颌前突) • 地包天(反颌,下前牙在上前牙外面) • 开颌(上下前牙咬不上) • 深覆颌(上牙盖下牙过多) • 错颌畸形(影响功能和美观的咬合问题) |
| 治疗对象 | 单颗或少数颗牙齿的缺损、缺失或形态问题;整个牙列的缺损(部分或全口义齿) | 整个牙弓(上颌或下颌)的牙齿排列和咬合关系问题 |
| 常用方法 | • 补牙(树脂充填) • 嵌体/高嵌体 • 牙冠(全冠) • 牙贴面 • 固定桥(镶牙) • 种植牙 • 可摘局部义齿 • 全口义齿 |
• 传统金属托槽矫正 • 陶瓷托槽矫正 • 自锁托槽矫正 • 舌侧矫正 • 无托槽隐形矫正(如隐适美、时代天使) • 功能性矫治器(青少年早期干预) |
| 治疗周期 | 相对较短:补牙可能一次完成;冠、贴面通常1-2周;种植牙可能3-6个月甚至更长。 | 相对较长:通常需要1.5 - 3年,甚至更长时间(尤其是复杂病例或需要配合拔牙的)。 |
| 美观影响 | 主要针对修复的牙齿本身,目标是达到与邻牙协调。 | 整个牙列和面部轮廓的改善,效果更全面。 |
| 功能恢复 | 主要目标是恢复该牙齿的咀嚼功能(尤其是后牙)。 | 主要目标是建立稳定、健康的咬合关系,改善整体咀嚼效率,保护牙周组织。 |
| 是否需要拔牙 | 一般不需要拔牙(除非是智齿或极度松动的无保留价值牙)。 | 根据病例需要,可能需要拔除某些牙齿(通常是前磨牙)为排齐牙齿创造空间。 |
📌 到底哪个“好”?关键在于你的问题是什么
-
如果你的问题是:
(图片来源网络,侵删)- “我有一颗大牙蛀得很厉害,剩下一点牙根了,怎么办?” → 口腔修复(根管治疗后做冠,或拔牙后种植/镶牙)。
- “我缺了一颗牙,旁边两颗牙是好的,怎么补?” → 口腔修复(做固定桥或种植牙)。
- “我的门牙磕掉了一块,颜色也不好看。” → 口腔修复(做牙贴面或冠)。
- “我戴活动假牙,总是不舒服,咬东西没力。” → 口腔修复(评估是否适合种植牙支持,或调整义齿)。
- → 选择口腔修复。
-
如果你的问题是:
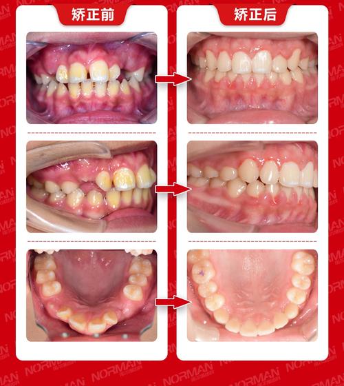
- “我的牙齿乱七八糟,特别不整齐,笑都不敢露齿。” → 口腔正畸。
- “我上面牙齿包着下面牙齿很多,感觉不好看,吃东西也不方便。” → 口腔正畸(可能需要解决深覆颌或龅牙)。
- “我下面牙齿包着上面牙齿,就是俗称的‘地包天’。” → 口腔正畸。
- “我牙齿缝隙很大,吃东西容易塞牙。” → 口腔正畸。
- “我咬东西的时候,牙齿感觉不是对在一起的,容易酸软。” → 口腔正畸(可能存在咬合干扰)。
- → 选择口腔正畸。
🔄 两者结合的情况也很常见
很多时候,正畸和修复需要联合治疗才能达到最佳效果:
- 正畸后修复: 这是最常见的联合模式。
- 牙齿拥挤不齐,但有些牙齿本身有缺损或颜色不好。先通过正畸排齐牙齿,为后续的修复(如贴面、冠)创造更好的空间和条件,使修复体更美观、更贴合。
- 牙齿缺失,邻牙倾斜。先通过正畸将倾斜的牙齿直立,为种植牙或固定桥提供更好的位置和空间。
- 修复后正畸: 相对少见。
因外伤或疾病导致牙齿严重缺失或移位,需要先通过修复(如种植体、临时义齿)建立初步的支撑和咬合关系,再进行正畸调整。
- 正畸中修复:
- 在正畸过程中,个别牙齿因托槽粘贴等原因发生小范围龋坏,需要及时进行树脂充填修复。
- 在正畸过程中,为了美观或保护牙齿,可以在特定阶段使用临时贴面或冠。
📣 总结与建议
- 没有绝对的“哪个好”,只有“哪个更适合你”。 治疗的选择完全取决于你的具体口腔问题。
- 首先明确你的主要诉求是什么? 是牙齿坏了/掉了需要修补?还是牙齿长得不整齐需要排齐?
- 寻求专业诊断是关键! 这是最重要的一步。务必去正规医院的口腔科或口腔诊所,让专业的口腔医生(全科医生或专科医生)进行全面检查,包括:
- 口腔检查
- X光片(全景片、根尖片、头颅侧位片等)
- 取模型
- 拍面部和牙齿照片
- 必要时进行牙周检查
- 医生会根据你的具体情况、口腔状况、全身健康状况、年龄、美观要求、经济预算等因素,为你制定个性化的治疗方案。 方案可能只涉及修复、只涉及正畸,或者两者结合。
- 不要自行判断或听信非专业人士的建议。 每个人的口腔情况都是独特的,治疗方案需要个体化设计。
牙齿坏了/缺了找修复师,牙齿长歪了找正畸医生,但最终,让专业的口腔医生帮你判断和决定才是最靠谱的选择。 🦷💡


